Suppr超能文献

BACH2驱动2型固有淋巴细胞的发育和功能。

BACH2 drives the development and function of group 2 innate lymphoid cells.

作者信息

Liu Gaoyu, Wang Ying, Yi Xianfu, Wang Jianye, Zhang Jun, Feng Xixi, Wang Haitao, Chen Chun, Liu Qiang, Wang Jun, Zhou Jie

机构信息

Department of Oncology, Laboratory of Immunity, Inflammation & Cancer, The First Affiliated Hospital of Chongqing Medical University, Chongqing, China.

Tianjin Institute of Immunology, Department of Immunology, School of Basic Medical Sciences, Tianjin Medical University, Tianjin, China.

出版信息

Sci Adv. 2025 Aug;11(31):eads4323. doi: 10.1126/sciadv.ads4323. Epub 2025 Aug 1.

Abstract

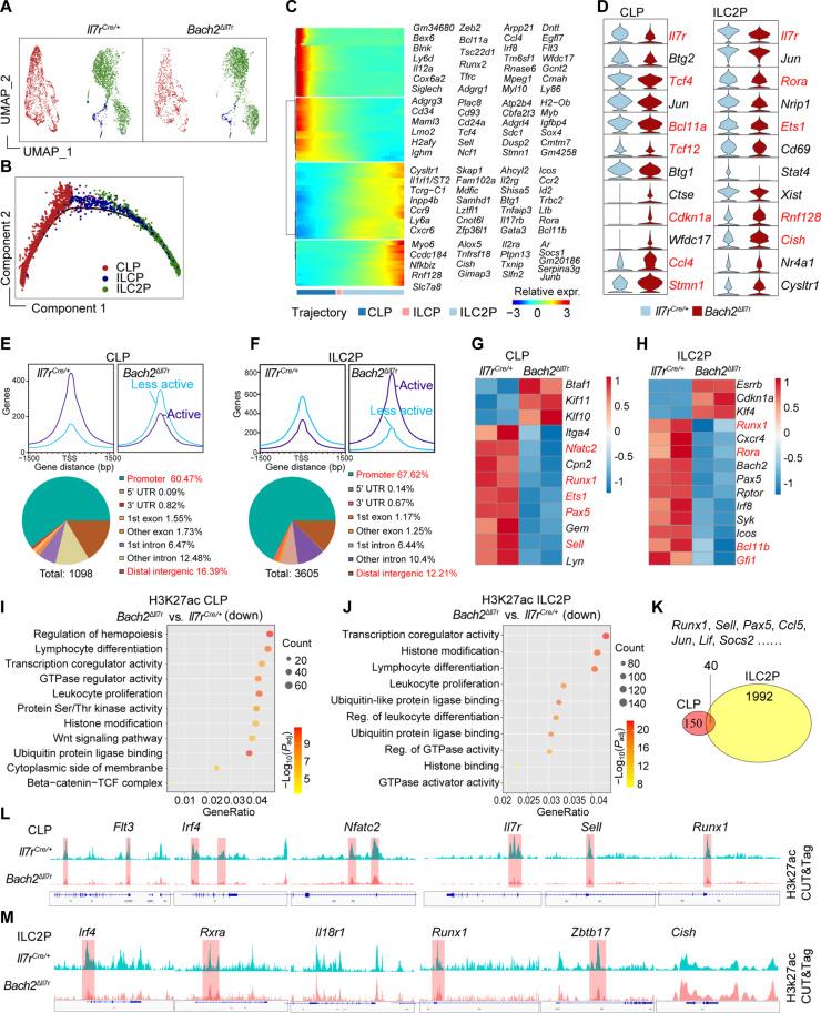
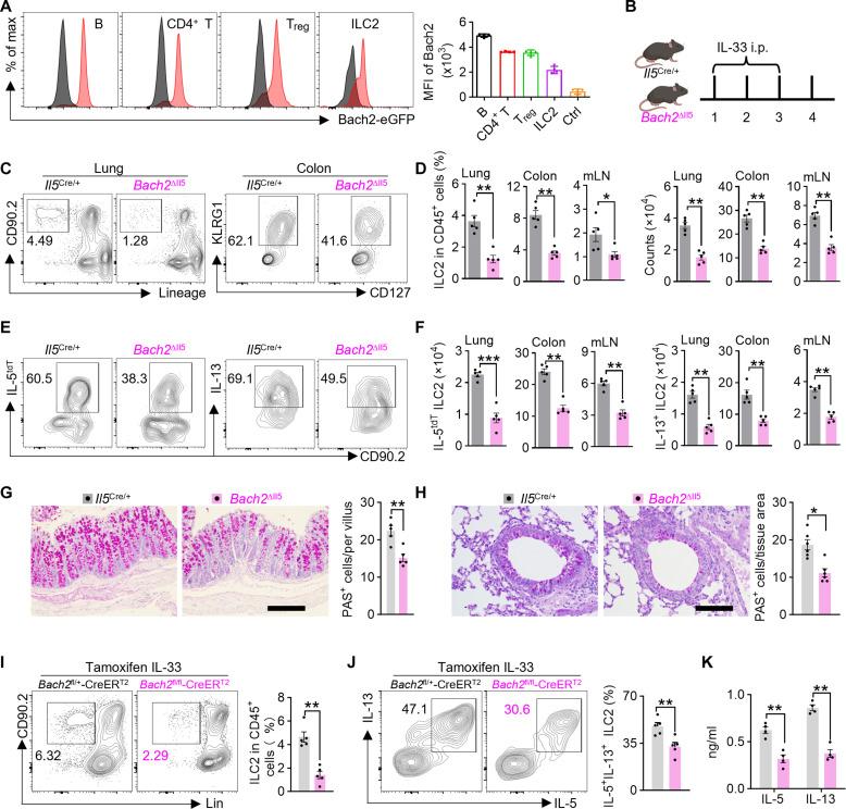
Group 2 innate lymphoid cells (ILC2s) represent one of the major drivers of allergic inflammation; however, the precise mechanisms governing the development and function of ILC2s remain unknown. Here, we show that the transcription factor BACH2 was abundantly expressed and epigenetically activated in ILC2s and their progenitors. Conditional ablation of BACH2 diminished the ability of ILC2 progenitors to differentiate into ILC2s. Integration of the scRNA-seq, ATAC-seq, and CUT&Tag-seq techniques revealed that BACH2 modulated the transcriptional profiles and epigenetic landscapes of ILC2 progenitors. Furthermore, BACH2 ablation compromised the functionality of ILC2s, resulting in a resolution of allergic airway inflammation. Notably, the different binding sites of BACH2 in ILC2s and T2 cells suggested that BACH2 binds to IRF4 to control the function of ILC2, underscoring its context-specific effects on allergic airway inflammation. These findings shed promising light on the importance of BACH2 in type 2 immunity and its multifaceted role in asthma.

摘要

第2组固有淋巴细胞(ILC2s)是过敏性炎症的主要驱动因素之一;然而,调控ILC2s发育和功能的精确机制仍不清楚。在此,我们表明转录因子BACH2在ILC2s及其祖细胞中大量表达并发生表观遗传激活。条件性敲除BACH2会降低ILC2祖细胞分化为ILC2s的能力。单细胞RNA测序(scRNA-seq)、染色质转座酶可及性测序(ATAC-seq)和靶向切割及标签测序(CUT&Tag-seq)技术的整合显示,BACH2调节ILC2祖细胞的转录谱和表观遗传格局。此外,敲除BACH2会损害ILC2s的功能,导致过敏性气道炎症消退。值得注意的是,BACH2在ILC2s和2型细胞(T2细胞)中的不同结合位点表明,BACH2与干扰素调节因子4(IRF4)结合以控制ILC2的功能,突显了其对过敏性气道炎症的背景特异性影响。这些发现为BACH2在2型免疫中的重要性及其在哮喘中的多方面作用带来了希望之光。

https://cdn.ncbi.nlm.nih.gov/pmc/blobs/e6f2/12315961/eceaab0000a0/sciadv.ads4323-f1.jpg

文献AI研究员

20分钟写一篇综述,助力文献阅读效率提升50倍。

立即体验

用中文搜PubMed

大模型驱动的PubMed中文搜索引擎

马上搜索

文档翻译

学术文献翻译模型,支持多种主流文档格式。

立即体验