Suppr超能文献

慢性肺组织胞浆菌病的放射学特征:易误诊为肺结核。

Radiological features of chronic pulmonary histoplasmosis: Easily mistaken for tuberculosis.

作者信息

Denning David W, Onikan Adebimpe, Chaves Magri Marcello Mihailenko, Jiaranaikulwanich Atisak, de Oliveira Vitor Falcao

机构信息

Manchester Fungal Infection Group, Faculty of Biology, Medicine and Health, The University of Manchester, Manchester Academic Health Science Centre, Manchester, United Kingdom.

School of Medicine, The University of Manchester, Manchester, United Kingdom.

出版信息

PLoS Negl Trop Dis. 2025 Aug 8;19(8):e0013219. doi: 10.1371/journal.pntd.0013219. eCollection 2025 Aug.

Abstract

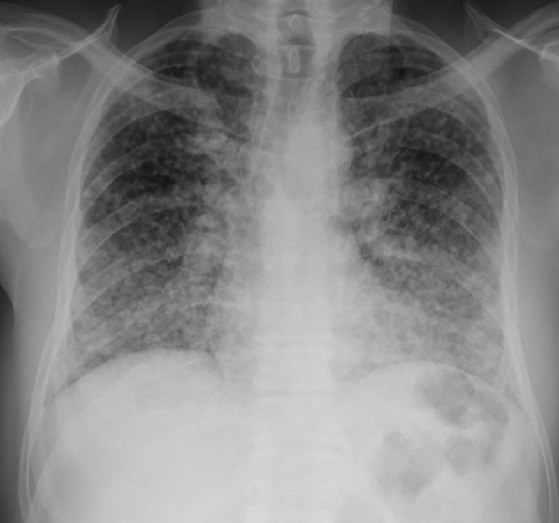
Histoplasma capsulatum var capsulatum is an endemic respiratory pathogen presenting in various forms including miliary histoplasmosis, acute and chronic pulmonary histoplasmosis, and acute or subacute disseminated disease. The differential diagnosis of chronic pulmonary histoplasmosis (CPH) is broad, encompassing bacterial, fungal and malignant aetiologies. PubMed was searched for relevant articles on the radiological characteristics of CPH and the most common differential diagnoses of tuberculosis and chronic pulmonary aspergillosis. The Fleischner Society Glossary of Terms for Thoracic Imaging was used to analyze the features. The contribution of culture, antibody and antigen and PCR to the diagnosis of CPH is summarized. Cavitation and pulmonary nodules are the most common features of CPH. Pleural effusion, pleural thickening, intrathoracic lymphadenopathy and bronchiectasis are not characteristic of CPH; uncommonly CPH can be complicated by an aspergilloma. Data on the radiologic features of CPH are derived primarily from the USA, Brazil, and China. CPH can be diagnosed by respiratory fungal culture (using extended culture times) or Histoplasma PCR (although data are scarce) and serum Histoplasma antigen and antibody. Data on bronchoscopy sampling for antigen are lacking. In patients with pulmonary cavitation without a confirmed diagnosis of tuberculosis or aspergillosis should be evaluated for CPH.

摘要

荚膜组织胞浆菌荚膜变种是一种地方性呼吸道病原体,可呈现多种形式,包括粟粒性组织胞浆菌病、急性和慢性肺组织胞浆菌病以及急性或亚急性播散性疾病。慢性肺组织胞浆菌病(CPH)的鉴别诊断范围广泛,包括细菌、真菌和恶性病因。检索了PubMed上有关CPH放射学特征以及结核病和慢性肺曲霉病最常见鉴别诊断的相关文章。使用弗莱施纳学会胸部影像学术语词汇表分析其特征。总结了培养、抗体、抗原及PCR在CPH诊断中的作用。空洞和肺结节是CPH最常见的特征。胸腔积液、胸膜增厚、胸内淋巴结肿大和支气管扩张并非CPH的特征;CPH罕见情况下可并发曲菌球。有关CPH放射学特征的数据主要来自美国、巴西和中国。CPH可通过呼吸道真菌培养(延长培养时间)或组织胞浆菌PCR(尽管数据稀少)以及血清组织胞浆菌抗原和抗体进行诊断。缺乏支气管镜采样检测抗原的数据。对于肺部有空洞且未确诊为结核病或曲霉病的患者,应评估是否为CPH。

https://cdn.ncbi.nlm.nih.gov/pmc/blobs/9285/12334033/0b25205b9dde/pntd.0013219.g001.jpg

文献AI研究员

20分钟写一篇综述,助力文献阅读效率提升50倍。

立即体验

用中文搜PubMed

大模型驱动的PubMed中文搜索引擎

马上搜索

文档翻译

学术文献翻译模型,支持多种主流文档格式。

立即体验