Suppr超能文献

SPINT1-AS1通过miR-656-3p/PLCXD3轴促进胃癌细胞的氧化损伤和凋亡。

SPINT1-AS1 promotes oxidative damage and apoptosis of gastric cancer cells via the miR-656-3p/PLCXD3 axis.

作者信息

Xu Duo, Wu Tong, Zhao Xin, Li ShaoHai, Wei XiaoHui

机构信息

Weinan Vocational and Technical College, Weinan City, 714026, Shaanxi Province, China.

Department of Gastroenterology, The Second People's Hospital of Jiulongpo District, Chongqing City, 400050, China.

出版信息

Discov Oncol. 2025 Aug 9;16(1):1515. doi: 10.1007/s12672-025-03195-7.

Abstract

BACKGROUND AND OBJECTIVES

In the study of gastric cancer (GC), long non-coding RNAs (lncRNAs) have been identified and their functions have been partly characterized; however, the specific function of SPINT1 antisense RNA 1 (SPINT1-AS1) in GC remains unclear. This study aimed to investigate the role of SPINT1-AS1 in GC cells and elucidate its downstream molecular mechanisms.

METHODS

SPINT1-AS1, microRNA-656-3p (miR-656-3p), and phospholipase C, X domain containing 3 (PLCXD3) levels were modulated in GC cells through transfection experiments. Quantitative reverse transcription polymerase chain reaction and Western blot analyses were performed to assess SPINT1-AS1, miR-656-3p, and PLCXD3 levels. The proliferative capacity, apoptosis, invasion, migration, and oxidative stress levels of GC cells were evaluated using 5-ethynyl-2'-deoxyuridine assay, colony formation assay, flow cytometry, Transwell assays, and commercial kits, respectively. Dual-luciferase reporter assay and RNA immunoprecipitation assay were conducted to assess the targeting relationships among SPINT1-AS1, miR-656-3p, and PLCXD3. The impact of SPINT1-AS1 on GC tumor growth was examined in xenograft tumor models.

RESULTS

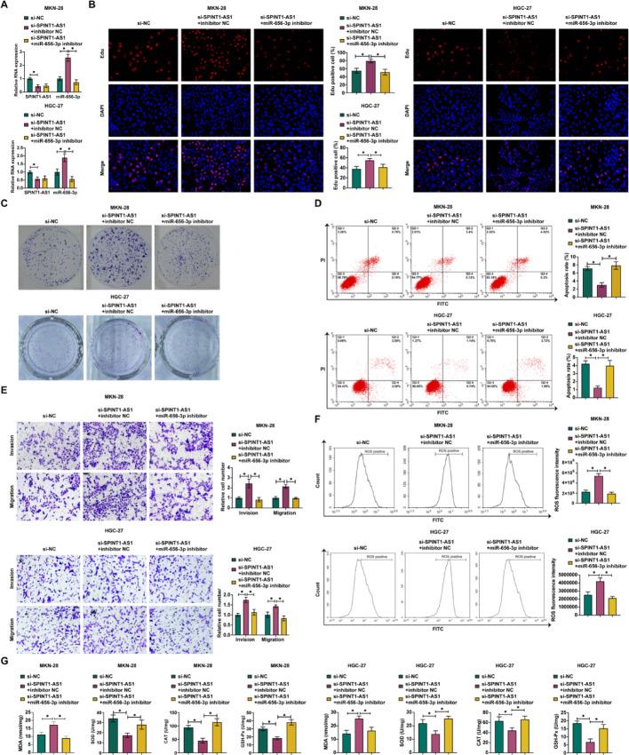
SPINT1-AS1 and PLCXD3 were found to be downregulated in GC, whereas miR-656-3p was upregulated. SPINT1-AS1 elevation inhibited GC cell proliferation, invasion, migration, and oxidative stress, and promoted apoptosis. SPINT1-AS1 knockdown had opposite effects. The pro-tumor effects induced by SPINT1-AS1 knockdown were reversed by concomitant knockdown of miR-656-3p. Similarly, the inhibitory effects of SPINT1-AS1 elevation on GC malignancy were abrogated by PLCXD3 knockdown. SPINT1-AS1 knockdown suppressed GC tumor growth in mice. SPINT1-AS1 competitively bound to miR-656-3p to mediate PLCXD3 expression.

CONCLUSIONS

SPINT1-AS1 suppresses GC malignancy through the regulation of the miR-656-3p/PLCXD3 axis. These findings provide robust data supporting the biological functions of lncRNAs in GC and offer potential targets for therapeutic intervention.

摘要

背景与目的

在胃癌(GC)研究中,长链非编码RNA(lncRNA)已被鉴定,其功能也部分得到表征;然而,SPINT1反义RNA 1(SPINT1-AS1)在GC中的具体功能仍不清楚。本研究旨在探讨SPINT1-AS1在GC细胞中的作用,并阐明其下游分子机制。

方法

通过转染实验在GC细胞中调节SPINT1-AS1、微小RNA-656-3p(miR-656-3p)和含X结构域的磷脂酶C 3(PLCXD3)的水平。进行定量逆转录聚合酶链反应和蛋白质免疫印迹分析以评估SPINT1-AS1、miR-656-3p和PLCXD3的水平。分别使用5-乙炔基-2'-脱氧尿苷测定法、集落形成测定法、流式细胞术、Transwell测定法和商业试剂盒评估GC细胞的增殖能力、凋亡、侵袭、迁移和氧化应激水平。进行双荧光素酶报告基因测定和RNA免疫沉淀测定以评估SPINT1-AS1、miR-656-3p和PLCXD3之间的靶向关系。在异种移植肿瘤模型中检查SPINT1-AS1对GC肿瘤生长的影响。

结果

发现SPINT1-AS1和PLCXD3在GC中下调,而miR-656-3p上调。SPINT1-AS1升高抑制GC细胞增殖、侵袭、迁移和氧化应激,并促进凋亡。SPINT1-AS1敲低则产生相反的效果。miR-656-3p同时敲低可逆转SPINT1-AS1敲低诱导的促肿瘤作用。同样,PLCXD3敲低可消除SPINT1-AS1升高对GC恶性程度的抑制作用。SPINT1-AS1敲低抑制小鼠GC肿瘤生长。SPINT1-AS1与miR-656-3p竞争性结合以介导PLCXD3表达。

结论

SPINT1-AS1通过调节miR-656-3p/PLCXD3轴抑制GC恶性程度。这些发现提供了有力的数据支持lncRNA在GC中的生物学功能,并为治疗干预提供了潜在靶点。

https://cdn.ncbi.nlm.nih.gov/pmc/blobs/a853/12335420/dc8c53bd83b1/12672_2025_3195_Fig1_HTML.jpg

文献AI研究员

20分钟写一篇综述,助力文献阅读效率提升50倍。

立即体验

用中文搜PubMed

大模型驱动的PubMed中文搜索引擎

马上搜索

文档翻译

学术文献翻译模型,支持多种主流文档格式。

立即体验