Suppr超能文献

超声靶向纳米气泡共递送NKP-1339和miR-142-5p用于癌症治疗中的协同线粒体免疫原性细胞死亡和PD-L1抑制

Ultrasound-Targeted Nanobubbles Codelivering NKP-1339 and miR-142-5p for Synergistic Mitochondrial Immunogenic Cell Death and PD-L1 Inhibition in Cancer Therapy.

作者信息

Zhang Yafei, Liu Chaoqi, Jin Shuai, Xie Liangyun, Xiao Qianwen, Yao Jun

机构信息

The First Affiliated Hospital , and College of Clinical Medicine of Henan University of Science and Technology, Luoyang 471003, China.

Hubei Key Laboratory of Tumor Microenvironment and Immunotherapy, China Three Gorges University, Yichang, Hubei 443002, China.

出版信息

Biomater Res. 2025 Aug 8;29:0232. doi: 10.34133/bmr.0232. eCollection 2025.

Abstract

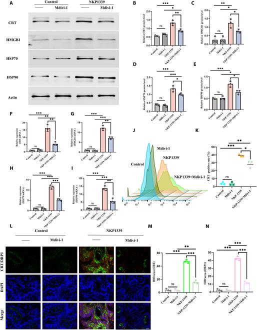
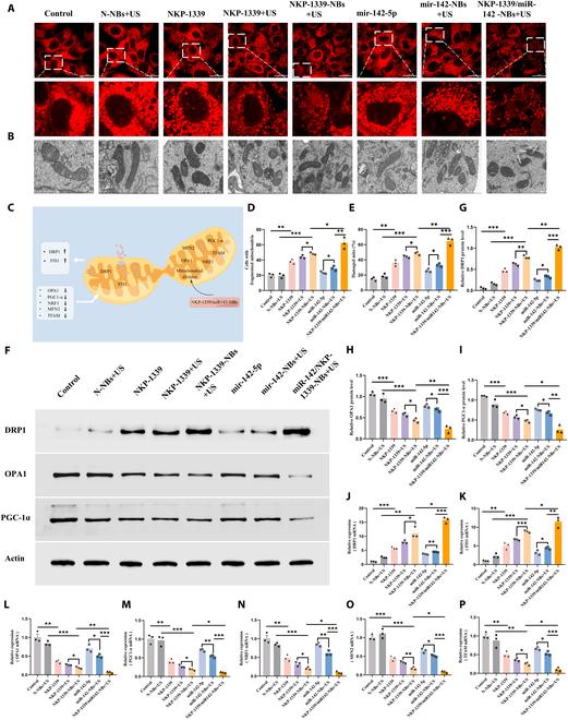
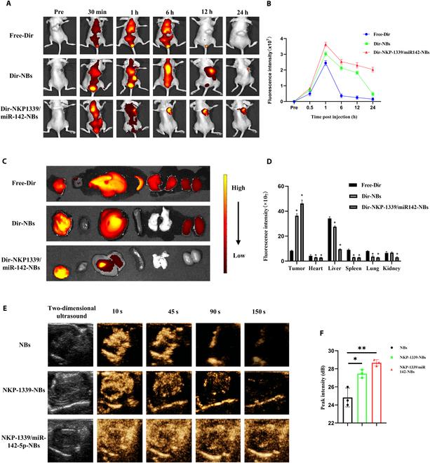
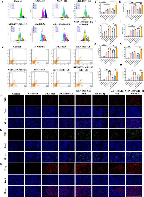
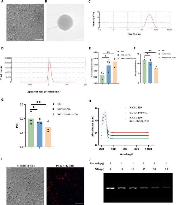
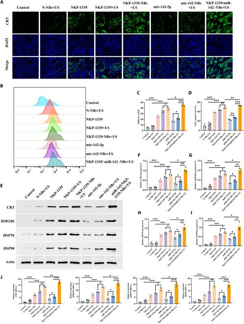
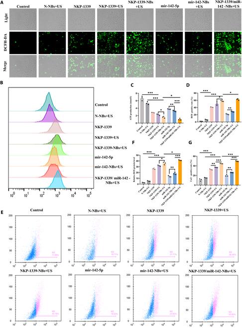
The combination of chemical immunotherapy and gene therapy holds great promise for malignant tumor treatment. Here, we developed an ultrasound-targeted liposome nanobubbles system (NKP-1339/miR-142-NBs) for precise codelivery of drugs and genes to treat esophageal squamous cell carcinoma (ESCC) with ultrasound-targeted microbubble destruction (UTMD). This study systematically investigated the system's therapeutic mechanisms-including mitochondrial dysfunction induction, immunogenic cell death (ICD), and antitumor immune activation-alongside its pharmacokinetics and targeting efficiency. In an ESCC mouse model, NKP-1339/miR-142-NBs combined with ultrasound markedly suppressed tumor growth (79.72% ± 0.1% vs. NB control 18.79% ± 1.29%) through NKP-1339 triggering ICD and miR-142-5p down-regulating programmed death-ligand 1 (PD-L1) expression, synergistically potentiating immune responses. Furthermore, we found that triggering ICD, including the exposure of calreticulin on the cell membrane, was related to altering mitochondrial fission dynamics in the ESCC cells. The down-regulation of PD-L1 expression by miR-142-5p reactivated CD8 T cells by relieving programmed death-1 (PD-1)/PD-L1-mediated immunosuppression, enhancing immune memory and antitumor efficacy. Moreover, the UTMD technique enhanced the tumoral accumulation and penetration of nanobubbles, improving delivery specificity and minimizing off-target effects. This combined treatment strategy, including UTMD, provides a promising translational potential for ESCC therapy.

摘要

化学免疫疗法与基因疗法相结合在恶性肿瘤治疗方面具有巨大潜力。在此,我们开发了一种超声靶向脂质体纳米气泡系统(NKP-1339/miR-142-NBs),用于通过超声靶向微泡破坏(UTMD)将药物和基因精确共递送以治疗食管鳞状细胞癌(ESCC)。本研究系统地研究了该系统的治疗机制,包括诱导线粒体功能障碍、免疫原性细胞死亡(ICD)和抗肿瘤免疫激活,以及其药代动力学和靶向效率。在ESCC小鼠模型中,NKP-1339/miR-142-NBs联合超声通过NKP-1339触发ICD和miR-142-5p下调程序性死亡配体1(PD-L1)表达,显著抑制肿瘤生长(79.72%±0.1%对比NB对照组18.79%±1.29%),协同增强免疫反应。此外,我们发现触发ICD,包括钙网蛋白在细胞膜上的暴露,与改变ESCC细胞中的线粒体裂变动力学有关。miR-142-5p对PD-L1表达的下调通过减轻程序性死亡-1(PD-1)/PD-L1介导的免疫抑制重新激活CD8 T细胞,增强免疫记忆和抗肿瘤疗效。此外,UTMD技术增强了纳米气泡在肿瘤中的积累和渗透,提高了递送特异性并使脱靶效应最小化。这种包括UTMD的联合治疗策略为ESCC治疗提供了有前景的转化潜力。

https://cdn.ncbi.nlm.nih.gov/pmc/blobs/3dd3/12334082/36bea4d01c49/bmr.0232.fig.001.jpg

文献AI研究员

20分钟写一篇综述,助力文献阅读效率提升50倍。

立即体验

用中文搜PubMed

大模型驱动的PubMed中文搜索引擎

马上搜索

文档翻译

学术文献翻译模型,支持多种主流文档格式。

立即体验