Suppr超能文献

进行性肺纤维化:诊断成像的当前观点

Progressive pulmonary fibrosis: current perspectives in diagnostic imaging.

作者信息

Agarwal Prerana, Schlett Christopher L, Bamberg Fabian, Frye Björn C

机构信息

Department of Diagnostic and Interventional Radiology, Medical Center-University of Freiburg, Faculty of Medicine, University of Freiburg, 79106 Freiburg im Breisgau, Germany.

Department for Pneumology, Medical Center-University of Freiburg, Faculty of Medicine, University of Freiburg, 79106 Freiburg im Breisgau, Germany.

出版信息

BJR Open. 2025 Jul 24;7(1):tzaf018. doi: 10.1093/bjro/tzaf018. eCollection 2025 Jan.

Abstract

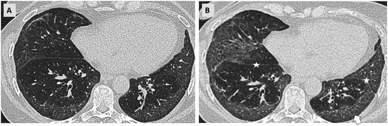
A subset of patients with interstitial lung diseases (ILDs) experiences disease progression despite standard treatment protocols. Similar to idiopathic pulmonary fibrosis, the archetype of progressive fibrotic ILDs, these patients exhibit worsening clinical symptoms, declining lung function, and progressive radiological changes, often resulting in shortened survival. This progressive disease pattern is classified under the term progressive pulmonary fibrosis or progressive fibrosing ILD. Radiological imaging, particularly high-resolution computed tomography (HRCT), is integral to diagnosing ILDs and plays a critical role within multidisciplinary ILD boards. HRCT is instrumental in identifying patients at a higher risk for disease progression and may provide valuable prognostic insights. Additionally, serial imaging is essential for detecting progression over time. While visual assessment remains the primary method for evaluating disease advancement, emerging quantitative techniques, including those utilizing machine learning, are currently undergoing validation.

摘要

尽管采用了标准治疗方案,仍有一部分间质性肺疾病(ILD)患者病情进展。与进行性纤维化ILD的原型特发性肺纤维化类似,这些患者表现出临床症状恶化、肺功能下降和影像学改变进展,常导致生存期缩短。这种进行性疾病模式归类为进行性肺纤维化或进行性纤维化ILD。放射影像学,尤其是高分辨率计算机断层扫描(HRCT),对于ILD的诊断不可或缺,在多学科ILD诊疗团队中发挥着关键作用。HRCT有助于识别疾病进展风险较高的患者,并可能提供有价值的预后信息。此外,系列成像对于检测随时间的进展至关重要。虽然视觉评估仍然是评估疾病进展的主要方法,但包括利用机器学习的技术在内的新兴定量技术目前正在进行验证。

https://cdn.ncbi.nlm.nih.gov/pmc/blobs/fb0b/12341687/740b94a9d3c6/tzaf018f1.jpg

文献AI研究员

20分钟写一篇综述,助力文献阅读效率提升50倍。

立即体验

用中文搜PubMed

大模型驱动的PubMed中文搜索引擎

马上搜索

文档翻译

学术文献翻译模型,支持多种主流文档格式。

立即体验