Suppr超能文献

雄激素驱动多囊卵巢综合征中依赖溶质载体家族1成员5(SLC1A5)的代谢重编程。

Androgens drive SLC1A5-dependent metabolic reprogramming in polycystic ovary syndrome.

作者信息

Wang Yishu, Wu Jiaying, Zhang Gaochen, Shi Yan, Meng Yicong, Lv Pingping, Huang Weiwei, Su Yunfei, Zhou Zhiyang, Wang Bo, Chen Xiaojun, Zhou Chengliang, Pan Jiexue, Jin Li, Wang Xiaotao, Wu Yanting, Sheng Jianzhong, Liu Xinmei, Zhang Yu, Ding Guolian, Yu Chuanjin, Huang Hefeng

机构信息

International Peace Maternity and Child Health Hospital, Shanghai Key Laboratory of Embryo Original Diseases, School of Medicine, Shanghai Jiao Tong University, Shanghai, China.

Institute of Reproduction and Development, Shanghai Key Laboratory of Reproduction and Development, Obstetrics and Gynecology Hospital, Fudan University, Shanghai, China.

出版信息

Nat Commun. 2025 Aug 15;16(1):7611. doi: 10.1038/s41467-025-62951-z.

Abstract

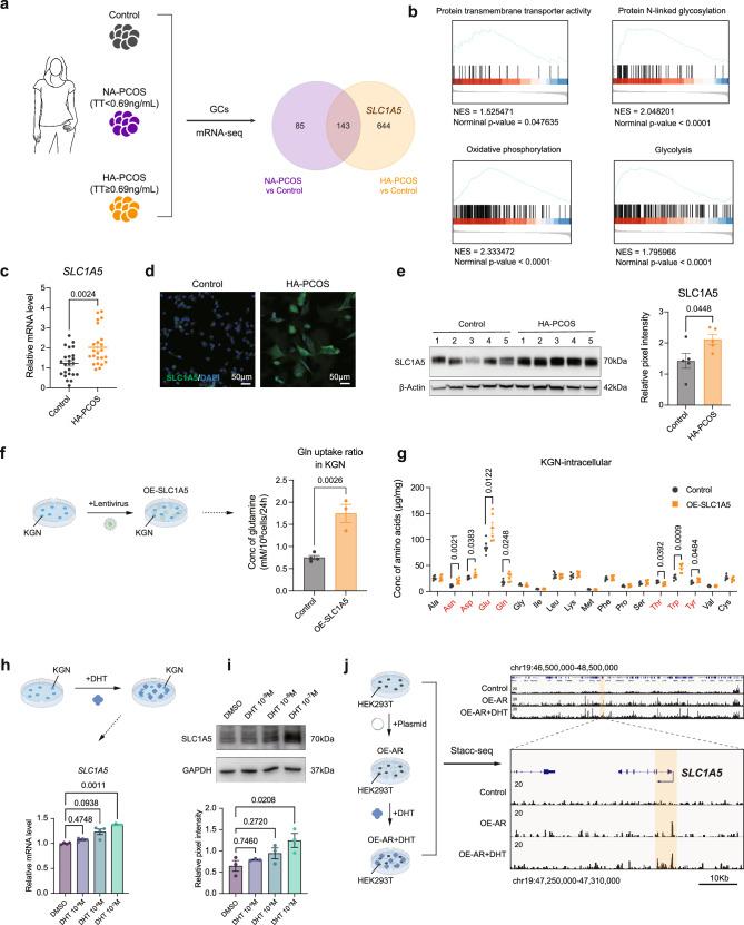
Polycystic ovary syndrome is the primary cause of female infertility. Growing evidence suggests that dysregulation of amino acid metabolism plays a significant role in the onset and progression. However, the underlying mechanism remains unclear. In this study, we conduct targeted metabolite profiling of human follicular fluid and granulosa cells. A significant increase in glutamine uptake is observed in patients with hyperandrogenic polycystic ovary syndrome, mediated by the upregulation of SLC1A5, a specific glutamine transporter. We find that androgen excess primarily activates SLC1A5 expression. Furthermore, SLC1A5 overexpression in female mice induces polycystic ovary syndrome-like phenotypes, including hyperandrogenism and abnormal follicle development. Additionally, the pharmacological blockade of SLC1A5 provides reproductive benefits to mice exhibiting polycystic ovary syndrome-like symptoms. Mechanistically, we show that elevated flux of Gln-derived α-ketoglutarate enhances HDAC5 expression and suppresses acetylation on histone 3 lysine residue 14 and lysine residue 56. The reduction in acetylation level is associated with the downregulation of several genes related to folliculogenesis, including CYP19A1, thereby exacerbating androgenic homeostasis imbalance. These findings indicate that androgen-induced aberrant glutamine uptake via SLC1A5 is crucial for the development and progression of polycystic ovary syndrome, suggesting pharmacological blockade of SLC1A5 as a potential therapeutic strategy.

摘要

多囊卵巢综合征是女性不孕的主要原因。越来越多的证据表明,氨基酸代谢失调在其发病和进展中起重要作用。然而,其潜在机制仍不清楚。在本研究中,我们对人卵泡液和颗粒细胞进行了靶向代谢物分析。在高雄激素性多囊卵巢综合征患者中观察到谷氨酰胺摄取显著增加,这是由特异性谷氨酰胺转运体SLC1A5的上调介导的。我们发现雄激素过多主要激活SLC1A5的表达。此外,在雌性小鼠中过表达SLC1A5会诱发多囊卵巢综合征样表型,包括高雄激素血症和卵泡发育异常。此外,对SLC1A5进行药理阻断可为表现出多囊卵巢综合征样症状的小鼠带来生殖益处。从机制上讲,我们发现谷氨酰胺衍生的α-酮戊二酸通量增加会增强HDAC5的表达,并抑制组蛋白3赖氨酸残基14和赖氨酸残基56上的乙酰化。乙酰化水平的降低与包括CYP19A1在内的几个与卵泡发生相关基因的下调有关,从而加剧雄激素稳态失衡。这些发现表明,雄激素通过SLC1A5诱导的异常谷氨酰胺摄取对多囊卵巢综合征的发展和进展至关重要,提示对SLC1A5进行药理阻断是一种潜在的治疗策略。

https://cdn.ncbi.nlm.nih.gov/pmc/blobs/1a49/12356975/943841261aca/41467_2025_62951_Fig1_HTML.jpg

文献AI研究员

20分钟写一篇综述,助力文献阅读效率提升50倍。

立即体验

用中文搜PubMed

大模型驱动的PubMed中文搜索引擎

马上搜索

文档翻译

学术文献翻译模型,支持多种主流文档格式。

立即体验