Suppr超能文献

肠道真菌生态失调通过Dectin-1介导的肺泡巨噬细胞过度活化加重肺炎克雷伯菌肺部感染。

Dysbiotic gut fungi exacerbate Klebsiella pneumoniae lung infection via Dectin-1-mediated alveolar macrophage hyperactivation.

作者信息

He Shengfu, Sun Yating, Yu Jiawen, Tang Mingyang, Zhang Qingyue, Meng Bao, Fan Renyu, Liu Zhiqiang, Liu Yanyan, Hu Lifen, Wu Ting, Li Jiabin

机构信息

Department of Gastroenterology, The First Affiliated Hospital of Anhui Medical University, Hefei, Anhui 230022, China.

Department of Infectious Diseases & Anhui Center for Surveillance of Bacterial Resistance, The First Affiliated Hospital of Anhui Medical University, Hefei, Anhui 230022, China.

出版信息

ISME J. 2025 Jan 2;19(1). doi: 10.1093/ismejo/wraf181.

Abstract

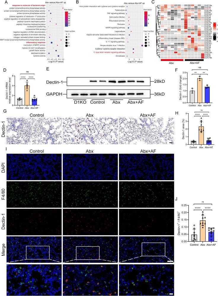
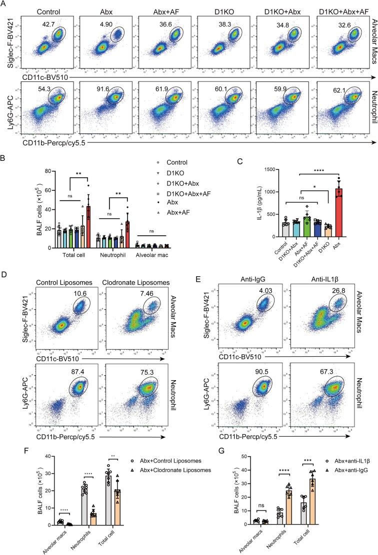
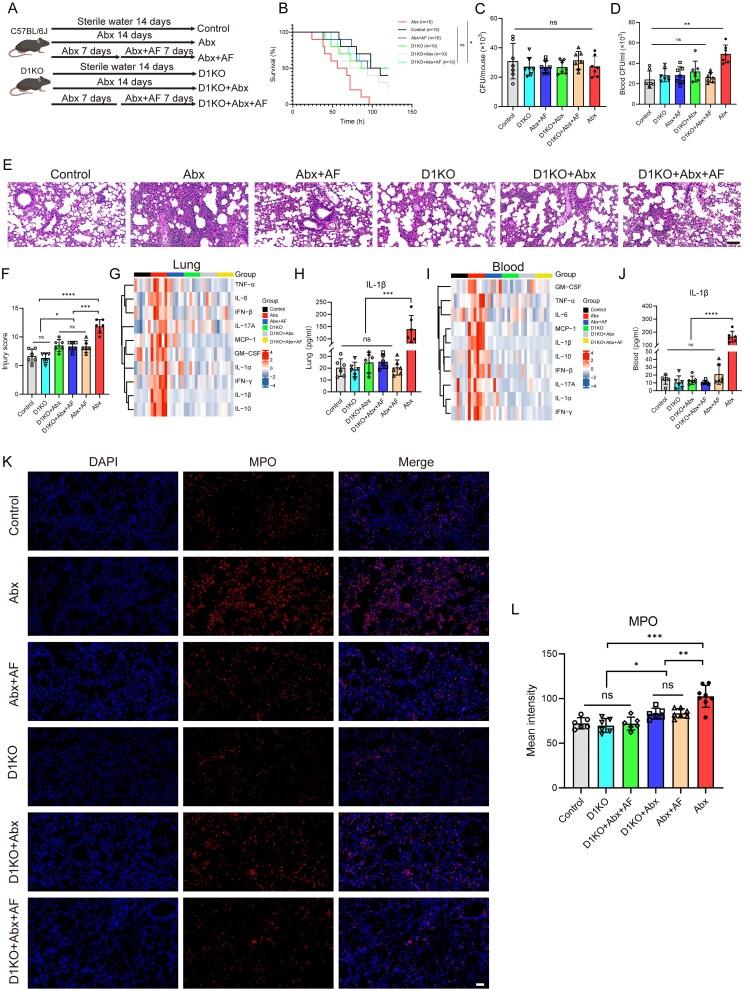
Escalating antibiotic resistance of Klebsiella pneumoniae underscores the urgent need for therapeutic strategies. Whereas gut bacterial dysbiosis exacerbates pulmonary infections, the role of gut fungi in modulating lung immunity remains understudied. Here, we demonstrate that antibiotic-induced gut fungal expansion aggravates pneumonia by enhancing alveolar macrophage-driven inflammation via Dectin-1 signaling. Clinical analyses demonstrated that pneumonia patients receiving ineffective prehospital antibiotic therapy showed gut bacterial depletion accompanied by fungal overgrowth (primarily Candida spp.), with a positive correlation observed between fungal abundance and hospitalization duration. In murine models, antibiotic-induced gut microbiota disruption promoted fungal proliferation, subsequently upregulating Dectin-1 expression in alveolar macrophages. This activation triggered excessive IL-1β secretion and neutrophil recruitment, exacerbating lung injury and mortality. Our results demonstrated that both antifungal intervention and Dectin-1 knockout reversed these pathological effects, resulting in improved survival rates, reduced bacterial dissemination, and attenuated inflammatory cytokine levels. Mechanistically, gut fungi remotely potentiated pulmonary inflammation through the alveolar macrophage "Dectin-1/IL-1β/neutrophil axis", independent of pathogen clearance. Although recent studies have begun to uncover "mycobiome-lung" disease associations, our findings specifically demonstrate that fungal dysbiosis mediates the "gut-lung axis" during multidrug-resistant K. pneumoniae infections. This study provides mechanistic insights into microbial crosstalk and advances translational approaches for combating antibiotic-exacerbated pneumonias.

摘要

肺炎克雷伯菌不断升级的抗生素耐药性凸显了对治疗策略的迫切需求。虽然肠道细菌生态失调会加剧肺部感染,但肠道真菌在调节肺部免疫中的作用仍未得到充分研究。在此,我们证明抗生素诱导的肠道真菌扩张通过Dectin-1信号增强肺泡巨噬细胞驱动的炎症,从而加重肺炎。临床分析表明,接受无效院前抗生素治疗的肺炎患者出现肠道细菌减少并伴有真菌过度生长(主要是念珠菌属),真菌丰度与住院时间呈正相关。在小鼠模型中,抗生素诱导的肠道微生物群破坏促进了真菌增殖,随后上调了肺泡巨噬细胞中Dectin-1的表达。这种激活引发了过量的IL-1β分泌和中性粒细胞募集,加剧了肺损伤和死亡率。我们的结果表明,抗真菌干预和Dectin-1基因敲除均可逆转这些病理效应,从而提高生存率、减少细菌播散并降低炎症细胞因子水平。从机制上讲,肠道真菌通过肺泡巨噬细胞“Dectin-1/IL-1β/中性粒细胞轴”远程增强肺部炎症,与病原体清除无关。尽管最近的研究已开始揭示“真菌群落-肺”疾病关联,但我们的研究结果具体表明,在多重耐药肺炎克雷伯菌感染期间,真菌生态失调介导了“肠-肺轴”。本研究为微生物间的相互作用提供了机制性见解,并推进了对抗生素加重型肺炎的转化方法。

https://cdn.ncbi.nlm.nih.gov/pmc/blobs/b848/12422099/66030b196f65/wraf181f1.jpg

文献AI研究员

20分钟写一篇综述,助力文献阅读效率提升50倍。

立即体验

用中文搜PubMed

大模型驱动的PubMed中文搜索引擎

马上搜索

文档翻译

学术文献翻译模型,支持多种主流文档格式。

立即体验