Suppr超能文献

(法国国家微生物资源中心保藏号I-745)通过重塑肠道菌群结构改善脓毒症中的肠道损伤。

(CNCM I-745) improves intestinal damage in sepsis by remodeling intestinal flora structure.

作者信息

Liu Hui-Ying, Li Yao, Lin Yi-Lu, Tang Yu-Jia, Zhao Jin-Da, Xu Jia, Wang Kuo, Zhi Ying-Fei, Zhang Yan, Deng Jia-Le, Kang Kai, Chen Ying, Gao Yang

机构信息

Department of Critical Care Medicine, The Sixth Affiliated Hospital of Harbin Medical University, Harbin, Heilongjiang, China.

Department of Critical Care Medicine, The First Affiliated Hospital of Jiamusi University, Jiamusi, Heilongjiang, China.

出版信息

Front Cell Infect Microbiol. 2025 Jul 31;15:1602792. doi: 10.3389/fcimb.2025.1602792. eCollection 2025.

Abstract

BACKGROUND

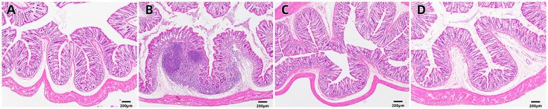
Sepsis is one of the leading causes of mortality among intensive care unit (ICU) patients. The intestinal tract is the primary organ affected by sepsis, resulting in dysbiosis of the gut microbiota and negatively impacting long-term prognosis. This study investigated the protective effects of on intestinal damage during sepsis.

METHODS

Distilled water was administered orally by intragastric for 4 weeks in control group and sepsis group. (CNCM I-745) suspension (10CFU/ml) was administered orally by intragastric for 4 weeks in probiotic group and treatment group. Rats in control group and probiotic group received the intraperitoneal injection of normal saline (5ml/kg). Rats in sepsis group and treatment group received the intraperitoneal injection of LPS solution (1mg/ml). Eight hours after the intraperitoneal injection, samples of serum, colonic tissue, and colonic contents were collected and stored at - 80°C. Four weeks later, the samples of colonic contents were taken to observe the alterations in the intestinal microbiota.

RESULTS

Sepsis led to an increase in the expression of IL-6, TNF-α, and a decrease in the expression of occludin. After treatment with (CNCM I-745), the inflammatory damage with sepsis was reduced, and the expression level of occludin was significantly increased. High-throughput sequencing analysis revealed that sepsis injury led to a decline in both the diversity and abundance of the gut microbiota. Simultaneously, the colonization of beneficial bacteria within the intestine diminished, whereas the colonization of harmful bacteria surged. However, upon administration of (CNCM I-745), an increase in the diversity and abundance of the gut microbiota was evident. Moreover, the composition of the gut microbiota underwent a discernible alteration.

CONCLUSION

Sepsis induces impairment of intestinal barrier function and exacerbates inflammatory responses. The use of (CNCM I-745) can modulate the composition of the intestinal flora by enhancing the colonization of beneficial bacteria while reducing the presence of harmful bacteria. It helps maintain intestinal mucosal barrier function, mitigates intestinal damage associated with sepsis, and potentially influences the long-term growth and development of pediatric sepsis patients.

摘要

背景

脓毒症是重症监护病房(ICU)患者死亡的主要原因之一。肠道是受脓毒症影响的主要器官,会导致肠道微生物群失调,并对长期预后产生负面影响。本研究调查了[具体物质]对脓毒症期间肠道损伤的保护作用。

方法

对照组和脓毒症组通过灌胃口服蒸馏水4周。益生菌组和治疗组通过灌胃口服[具体物质](CNCM I - 745)悬液(10CFU/ml)4周。对照组和益生菌组大鼠腹腔注射生理盐水(5ml/kg)。脓毒症组和治疗组大鼠腹腔注射脂多糖溶液(1mg/ml)。腹腔注射8小时后,收集血清、结肠组织和结肠内容物样本并储存在-80°C。4周后,取结肠内容物样本观察肠道微生物群的变化。

结果

脓毒症导致白细胞介素-6(IL - 6)、肿瘤坏死因子-α(TNF - α)表达增加,闭合蛋白表达减少。用[具体物质](CNCM I - 745)治疗后,脓毒症引起的炎症损伤减轻,闭合蛋白表达水平显著增加。高通量测序分析显示,脓毒症损伤导致肠道微生物群的多样性和丰度下降。同时,肠道内有益菌的定植减少,而有害菌的定植激增。然而,给予[具体物质](CNCM I - 745)后,肠道微生物群的多样性和丰度明显增加。此外,肠道微生物群的组成发生了明显变化。

结论

脓毒症会导致肠道屏障功能受损并加剧炎症反应。使用[具体物质](CNCM I - 745)可通过增强有益菌的定植同时减少有害菌的存在来调节肠道菌群组成。它有助于维持肠道黏膜屏障功能,减轻与脓毒症相关的肠道损伤,并可能影响小儿脓毒症患者的长期生长发育。

https://cdn.ncbi.nlm.nih.gov/pmc/blobs/f0fc/12350329/0a26394c4b28/fcimb-15-1602792-g001.jpg

文献AI研究员

20分钟写一篇综述,助力文献阅读效率提升50倍。

立即体验

用中文搜PubMed

大模型驱动的PubMed中文搜索引擎

马上搜索

文档翻译

学术文献翻译模型,支持多种主流文档格式。

立即体验