Suppr超能文献

在一名患有阵发性夜间血红蛋白尿症的患者中,使用ravulizumab成功控制了在卡铂-培美曲塞治疗肺腺癌期间化疗引起的突破性溶血。

Successful Control of Chemotherapy-Induced Breakthrough Hemolysis With Ravulizumab in a Patient With Paroxysmal Nocturnal Hemoglobinuria During Carboplatin-Pemetrexed Treatment for Lung Adenocarcinoma.

作者信息

Takahata Atsushi, Tanaka Keisuke, Toyota Shigeo

机构信息

Department of Hematology, Yokosuka Kyosai Hospital, Yokosuka, JPN.

Department of Hematology, Institute of Science Tokyo, Tokyo, JPN.

出版信息

Cureus. 2025 Jul 18;17(7):e88219. doi: 10.7759/cureus.88219. eCollection 2025 Jul.

Abstract

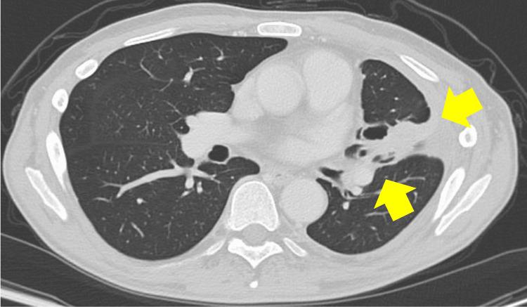
Paroxysmal nocturnal hemoglobinuria (PNH) is a rare hematologic disorder characterized by complement‑mediated intravascular hemolysis. Although breakthrough hemolysis (BTH) is typically triggered by infections or surgery, chemotherapy-induced BTH is seldom reported, and optimal management strategies during cytotoxic cancer therapy remain undefined. We report a 52‑year‑old man with longstanding PNH who developed stage IVA epidermal growth factor receptor‑mutated lung adenocarcinoma. After discontinuing first‑line osimertinib due to diarrhea, second‑line carboplatin-pemetrexed (chemotherapy regimen consisting of carboplatin and pemetrexed) induced severe BTH, evidenced by lactate dehydrogenase rising to 2,462 U/L and hemoglobin (Hb) dropping to 4.6 g/dL. Introduction of ravulizumab promptly normalized lactate dehydrogenase (<250 U/L), raised Hb to 10.5 g/dL, and suppressed total hemolytic complement activity (<14 U/mL). Although mild hemolysis recurred before subsequent cycles, administering ravulizumab before each chemotherapy session prevented further episodes. The patient completed 14 cycles without transfusion or thrombosis and achieved a progression-free survival (PFS) of two years and five months, far beyond the ~5.5 month median for this regimen. Personalized scheduling of ravulizumab enabled uninterrupted cytotoxic chemotherapy by effectively managing BTH, suggesting that sustained complement C5 inhibition may confer oncologic benefits. Prospective studies are warranted to evaluate the broader impact of complement blockade in patients with PNH and malignancy.

摘要

阵发性睡眠性血红蛋白尿(PNH)是一种罕见的血液系统疾病,其特征为补体介导的血管内溶血。尽管突破性溶血(BTH)通常由感染或手术引发,但化疗诱导的BTH鲜有报道,且细胞毒性癌症治疗期间的最佳管理策略仍不明确。我们报告了一名52岁患有长期PNH的男性,他罹患了IV期表皮生长因子受体突变的肺腺癌。在因腹泻停用一线奥希替尼后,二线卡铂-培美曲塞(由卡铂和培美曲塞组成的化疗方案)诱发了严重的BTH,乳酸脱氢酶升至2462 U/L以及血红蛋白(Hb)降至4.6 g/dL可证明这一点。使用ravulizumab后,乳酸脱氢酶迅速恢复正常(<250 U/L),Hb升至10.5 g/dL,并抑制了总溶血补体活性(<14 U/mL)。尽管在后续周期前再次出现轻度溶血,但在每次化疗疗程前给予ravulizumab可预防进一步发作。该患者完成了14个周期,未发生输血或血栓形成,并实现了两年零五个月的无进展生存期(PFS),远远超过了该方案约5.5个月的中位数。通过有效管理BTH,ravulizumab的个性化给药方案使细胞毒性化疗得以不间断进行,这表明持续抑制补体C5可能带来肿瘤学益处。有必要进行前瞻性研究,以评估补体阻断对PNH和恶性肿瘤患者的更广泛影响。

https://cdn.ncbi.nlm.nih.gov/pmc/blobs/e858/12358053/05f54fb363e4/cureus-0017-00000088219-i01.jpg

文献AI研究员

20分钟写一篇综述,助力文献阅读效率提升50倍。

立即体验

用中文搜PubMed

大模型驱动的PubMed中文搜索引擎

马上搜索

文档翻译

学术文献翻译模型,支持多种主流文档格式。

立即体验