Suppr超能文献

TNF-α 预处理的外泌体对树突状细胞的抑制作用通过 miR-146a-5p/TXNIP/NLRP3 轴加速 2 型糖尿病伤口愈合

Dendritic Cell Repression by TNF-α-Primed Exosomes Accelerate T2DM Wound Healing Through miR-146a-5p/TXNIP/NLRP3 Axis.

作者信息

Li Jiaqi, Lin Xiaoxuan, Wang Jinyang, Li Xuanyi, Zhang Zhengchuan, Ji Leyang, Yu Rongcheng, Kou Xiaoxing, Yang Yang

机构信息

Hospital of Stomatology, Guanghua School of Stomatology, Sun Yat-Sen University, Guangzhou, 510055, People's Republic of China.

Guangdong Provincial Key Laboratory of Stomatology, Guangzhou, 510055, People's Republic of China.

出版信息

Int J Nanomedicine. 2025 Aug 15;20:9963-9980. doi: 10.2147/IJN.S522994. eCollection 2025.

Abstract

INTRODUCTION

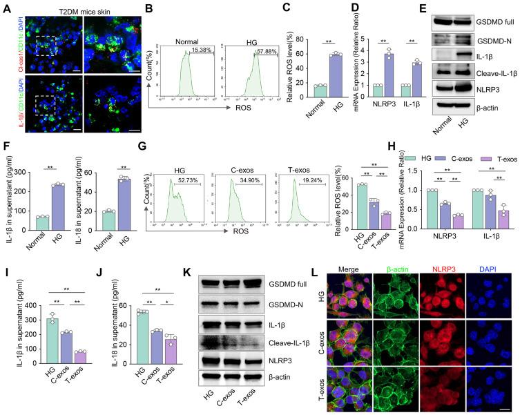
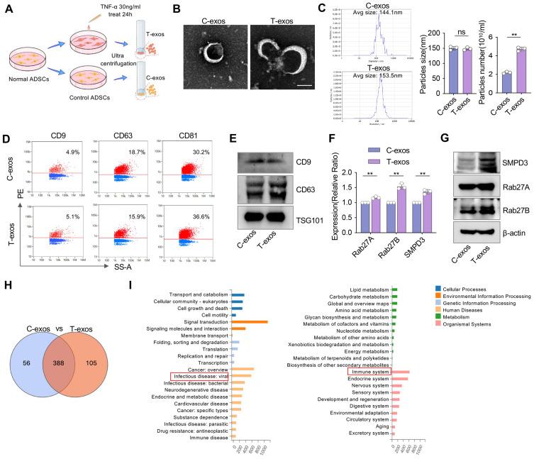
Type 2 diabetes mellitus (T2DM) impairs wound healing due to hyperglycemia-induced immune dysfunction. Dendritic cells (DCs) in the skin are crucial for wound healing but are adversely affected by hyperglycemic microenvironment. Exosomes derived from mesenchymal stem cells (MSC-exos), especially adipose-derived MSCs (ADSCs) with higher accessibility, have shown potential for immune regulation. However, their yield and efficacy can be limited. This study aims to explore the effects of TNF-α-preconditioned ADSCs-exos (T-exos) on restoring DC function and accelerating wound healing in T2DM.

METHODS

T-exos were isolated from ADSCs pretreated with TNF-α. The regulatory effects of T-exos on DC immune responses under high glucose conditions were assessed. Subsequently, the roles of DCs treated with T-exos in diabetic wound healing were evaluated. Finally, the mechanism underlying T-exos-mediated regulation of DCs was investigated in detail.

RESULTS

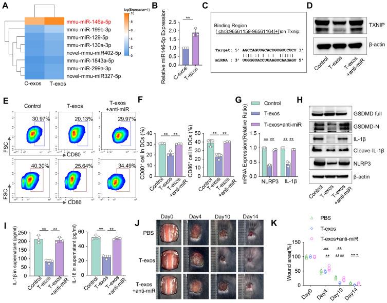
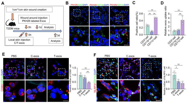
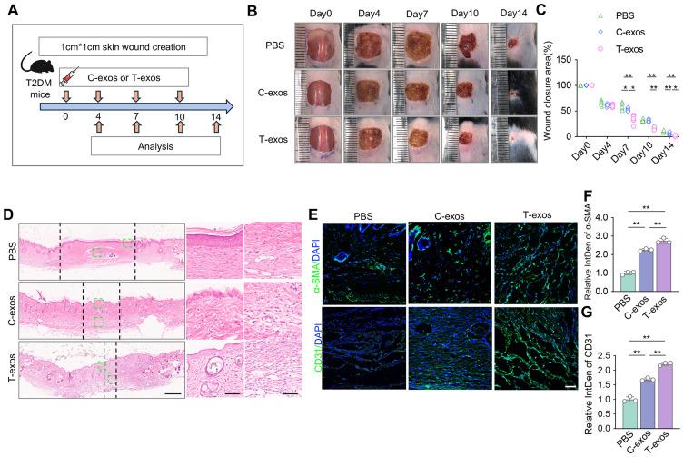
Under high glucose conditions, T-exos suppressed DC activation, as evidenced by reduced CD80/CD86 expression and NLRP3 inflammasome activity. In vivo studies showed that T-exos promoted wound closure in T2DM mice, enhancing collagen deposition, angiogenesis, and fibroblast proliferation. Mechanistically, TNF-α enriched miR-146a-5p in exosomes, which targeted TXNIP to inhibit NLRP3 inflammasome activation in DCs. Knockdown of miR-146a-5p abolished these effects in vitro and the therapeutic effect of T-exos on wound healing in vivo.

CONCLUSION

This study elucidates a previously unrecognized role for T-exos in effectively regulating DC activation through the miR-146a-5p/TXINP/NLRP3 axis, which in turn modulates the NLRP3 inflammasome pathway. By synergistically dampening inflammation and enhancing tissue repair, T-exos exhibit significant potential for clinical application in T2DM wounds.

摘要

引言

2型糖尿病(T2DM)因高血糖诱导的免疫功能障碍而损害伤口愈合。皮肤中的树突状细胞(DCs)对伤口愈合至关重要,但会受到高血糖微环境的不利影响。间充质干细胞来源的外泌体(MSC-exos),尤其是具有更高可及性的脂肪来源间充质干细胞(ADSCs),已显示出免疫调节潜力。然而,它们的产量和功效可能有限。本研究旨在探讨肿瘤坏死因子-α预处理的脂肪来源间充质干细胞外泌体(T-exos)对恢复T2DM中DC功能和加速伤口愈合的影响。

方法

从经肿瘤坏死因子-α预处理的脂肪来源间充质干细胞中分离出T-exos。评估T-exos在高糖条件下对DC免疫反应的调节作用。随后,评估经T-exos处理的DCs在糖尿病伤口愈合中的作用。最后,详细研究T-exos介导的DCs调节机制。

结果

在高糖条件下,T-exos抑制DC激活,表现为CD80/CD86表达降低和NLRP3炎性小体活性降低。体内研究表明,T-exos促进T2DM小鼠伤口闭合,增强胶原沉积、血管生成和成纤维细胞增殖。机制上,肿瘤坏死因子-α使外泌体中富含miR-146a-5p,其靶向硫氧还蛋白互作蛋白(TXNIP)以抑制DCs中的NLRP3炎性小体激活。敲低miR-146a-5p消除了其体外这些作用以及T-exos对体内伤口愈合的治疗作用。

结论

本研究阐明了T-exos通过miR-146a-5p/TXINP/NLRP3轴有效调节DC激活的先前未被认识的作用,进而调节NLRP3炎性小体途径。通过协同减轻炎症和增强组织修复,T-exos在T2DM伤口的临床应用中显示出巨大潜力。

https://cdn.ncbi.nlm.nih.gov/pmc/blobs/95e7/12363982/423b1b6c7238/IJN-20-9963-g0001.jpg

文献AI研究员

20分钟写一篇综述,助力文献阅读效率提升50倍。

立即体验

用中文搜PubMed

大模型驱动的PubMed中文搜索引擎

马上搜索

文档翻译

学术文献翻译模型,支持多种主流文档格式。

立即体验