Suppr超能文献

加巴喷丁、缬沙坦和可待因对雄性鲶鱼(非洲鲶鱼)血液生化及组织生物标志物的影响

Effects of Gabapentin, Valsartan, and Codeine on hemato-biochemical and histological biomarkers of male catfish (Clarias gariepinus).

作者信息

El-Sayed Abdelaziz A A, Abdel-Samei Walaa M, Soliman Hamdy A M, Hana Mervat N, Sayed Alaa El-Din H

机构信息

Zoology Department, Faculty of Science, Zagazig University, Zagazig, 44519, Egypt.

Biology Department, Faculty of Science, Islamic University of Madinah, Medina, 42238, Saudi Arabia.

出版信息

Environ Sci Pollut Res Int. 2025 Jul;32(34):20762-20773. doi: 10.1007/s11356-025-36797-3. Epub 2025 Aug 26.

Abstract

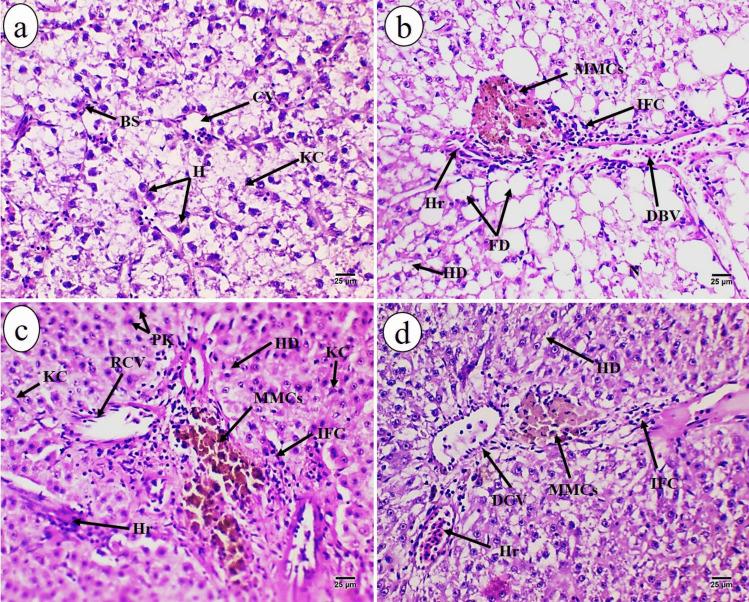
Pharmaceutical residues in aquatic environments are emerging contaminants of concern due to their potential sublethal and chronic impacts on aquatic organisms. This study aimed to evaluate the subacute toxicological effects of three widely used pharmaceuticals-gabapentin (GAB), valsartan (VAL), and codeine (COD)-on male African catfish (Clarias gariepinus). Fish were randomly assigned to four groups: a control group and three treatment groups exposed for 15 days to environmentally relevant concentrations of GAB (79.86 µg/L), VAL (28.22 µg/L), and COD (5.27 µg/L), respectively. Hematological indices including hematocrit (Ht), hemoglobin (Hb), erythrocyte (RBC), leukocyte (WBC), and lymphocyte counts were significantly reduced in all exposed groups relative to controls. Biochemical analysis revealed elevated levels of AST, ALT, glucose, total protein, total cholesterol, uric acid, and creatinine in the GAB group, while VAL exposure led to increased total protein and creatinine levels and decreased alkaline phosphatase (ALP) activity. Antioxidant assessments showed a significant reduction in superoxide dismutase (SOD) following VAL exposure, with total antioxidant capacity (TAC) and catalase (CAT) activities significantly reduced across all treated groups. Histopathological and histochemical examinations of the liver revealed tissue degeneration, fibrosis, and glycogen depletion, with the most severe alterations observed in the VAL group. These findings highlight the potential adverse effects of chronic pharmaceutical exposure on fish physiology and liver function, with VAL demonstrating the most pronounced impact among the tested compounds.

摘要

由于药物残留对水生生物具有潜在的亚致死和慢性影响,其已成为水环境中备受关注的新兴污染物。本研究旨在评估三种广泛使用的药物——加巴喷丁(GAB)、缬沙坦(VAL)和可待因(COD)——对雄性非洲鲶鱼(Clarias gariepinus)的亚急性毒理学效应。将鱼随机分为四组:一组为对照组,另外三组分别暴露于与环境相关浓度的GAB(79.86 μg/L)、VAL(28.22 μg/L)和COD(5.27 μg/L)中15天。与对照组相比,所有暴露组的血液学指标包括血细胞比容(Ht)、血红蛋白(Hb)、红细胞(RBC)、白细胞(WBC)和淋巴细胞计数均显著降低。生化分析显示,GAB组的天冬氨酸转氨酶(AST)、丙氨酸转氨酶(ALT)、葡萄糖、总蛋白、总胆固醇、尿酸和肌酐水平升高,而VAL暴露导致总蛋白和肌酐水平升高,碱性磷酸酶(ALP)活性降低。抗氧化评估表明,VAL暴露后超氧化物歧化酶(SOD)显著降低,所有处理组的总抗氧化能力(TAC)和过氧化氢酶(CAT)活性均显著降低。肝脏的组织病理学和组织化学检查显示组织变性、纤维化和糖原耗竭,VAL组观察到的变化最为严重。这些发现突出了长期药物暴露对鱼类生理和肝功能的潜在不利影响,其中VAL在所测试的化合物中显示出最显著的影响。

https://cdn.ncbi.nlm.nih.gov/pmc/blobs/761e/12432040/bacc3ab57135/11356_2025_36797_Fig1_HTML.jpg

文献AI研究员

20分钟写一篇综述,助力文献阅读效率提升50倍。

立即体验

用中文搜PubMed

大模型驱动的PubMed中文搜索引擎

马上搜索

文档翻译

学术文献翻译模型,支持多种主流文档格式。

立即体验