Suppr超能文献

犬混合感染金黄色葡萄球菌、中间葡萄球菌和表皮葡萄球菌所致中毒性休克样综合征病例报告

Case Report of Toxic Shock-like Syndrome Associated with Mixed , and spp. Infection in a Dog.

作者信息

Negoiță Carmen, Ciupescu Veronica, Ciupescu Laurențiu Mihai, Negoiță Valentina

机构信息

Faculty of Veterinary Medicine, University of Agronomic Sciences and Veterinary Medicine, Bucharest 105 Independence Splai, District 5, 050097 Bucharest, Romania.

Institute for Hygiene and Veterinary Public Health, Sos. Oltenitei 35-37, 041293 Bucharest, Romania.

出版信息

Vet Sci. 2025 Aug 16;12(8):764. doi: 10.3390/vetsci12080764.

Abstract

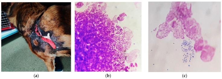
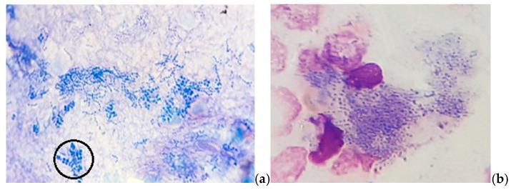
Toxic shock syndrome (TSS) is a serious, often fatal disease, rarely occurring in dogs via infection with and . The development of TSS is mainly dependent on the presence of bacterial toxins recognized to be potent superantigens causing the release of massive amounts of host inflammatory cytokines, notably TNF-α, progressing to high fever, hypotension, haemoconcentration, thrombosis and neutrophil and endothelial activation with multiple organ failure. Rarely, TSS is associated with erythematous and exfoliative dermatitis progressing to ulceration with extremely extensive dermo-epidermal detachment, which is often very painful. Like in humans, very little is known about the transmission and prevention of this condition. In our paper, a case of TSS-like caused by a mixed bacterial infection with , and spp. has been described in an 11 year-old, cross-breed male dog, most probably following injury due to biting and fighting. Lesions consisted of severe and diffuse ulceration on the dorsum, and bacterial culture/cytology led to the isolation and identification of Gram-positive staphylococci and streptococci associated with an intense neutrophil reaction. spp. was presumed morphologically based on cytological preps, not by culture or molecular analysis. PCR demonstrated the presence of the thermonucleaze gene (for confirmation) together with the genes encoding enterotoxin H (), protein A (), toxic shock syndrome toxin TSST-1 () and methicillin resistance (C); the exfoliative toxins (, ) were detected. Clinical signs, cytology, bacterial culture and the response to systemic antibiotic therapy were compatible with a TSS-like diagnosis. The patient has completely recovered after 1 year of treatment.

摘要

中毒性休克综合征(TSS)是一种严重的、通常致命的疾病,在犬类中很少通过感染[具体病菌名称1]和[具体病菌名称2]而发生。TSS的发展主要取决于细菌毒素的存在,这些毒素被认为是强效超抗原,可导致宿主大量炎性细胞因子的释放,尤其是肿瘤坏死因子-α(TNF-α),进而发展为高热、低血压、血液浓缩、血栓形成以及中性粒细胞和内皮细胞活化,并伴有多器官功能衰竭。很少见的情况下,TSS与红斑和剥脱性皮炎相关,后者会发展为溃疡,并伴有极其广泛的真皮表皮分离,通常非常疼痛。与人类一样,对于这种疾病的传播和预防知之甚少。在我们的论文中,描述了一例由[具体病菌名称3]、[具体病菌名称4]和[具体病菌名称5]混合细菌感染引起的类TSS病例,该病例发生在一只11岁的杂种雄性犬身上,很可能是由于咬伤和打斗受伤所致。病变包括背部严重弥漫性溃疡,细菌培养/细胞学检查分离并鉴定出与强烈中性粒细胞反应相关的革兰氏阳性葡萄球菌和链球菌。[具体病菌名称5]是根据细胞学涂片在形态学上推测的,而非通过培养或分子分析。聚合酶链反应(PCR)证明存在[具体病菌名称6]热核酸酶基因(用于[具体病菌名称6]确认)以及编码肠毒素H([具体毒素名称1])、蛋白A([具体毒素名称2])、中毒性休克综合征毒素TSST-⁃1([具体毒素名称3])和耐甲氧西林(C)的基因;检测到了剥脱毒素([具体毒素名称4]、[具体毒素名称5])。临床症状、细胞学检查、细菌培养以及对全身抗生素治疗的反应均与类TSS诊断相符。经过1年的治疗,该患者已完全康复。

需注意,原文中部分病菌名称和毒素名称未给出具体内容,所以译文里用[具体病菌名称X]和[具体毒素名称X]来表示。

https://cdn.ncbi.nlm.nih.gov/pmc/blobs/4bdc/12390649/61587627457e/vetsci-12-00764-g001.jpg

文献AI研究员

20分钟写一篇综述,助力文献阅读效率提升50倍。

立即体验

用中文搜PubMed

大模型驱动的PubMed中文搜索引擎

马上搜索

文档翻译

学术文献翻译模型,支持多种主流文档格式。

立即体验