Suppr超能文献

WEE1抑制剂通过MYBL2-RRM2轴在KRAS突变型肺癌中与KRAS G12C抑制剂发挥协同作用。

WEE1 inhibitor exerts synergistic effect with KRAS G12C inhibitor via MYBL2-RRM2 axis in KRAS-mutant lung cancer.

作者信息

Zhou Chao, Liu Yuqing, Liu Hongyu, Lu Jun, Zhang Bo, Zhu Liang, Wang Shuyuan, Lei Huimin, Han Baohui

机构信息

Department of Respiratory and Critical Care Medicine, Shanghai Chest Hospital, Shanghai Jiao Tong University School of Medicine, Shanghai, China.

Department of Pharmacology and Chemical Biology, Shanghai Jiao Tong University School of Medicine, Shanghai, China.

出版信息

Cell Death Dis. 2025 Aug 30;16(1):661. doi: 10.1038/s41419-025-07992-4.

Abstract

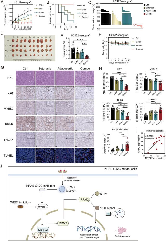
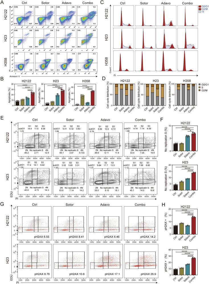
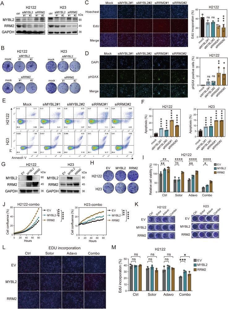
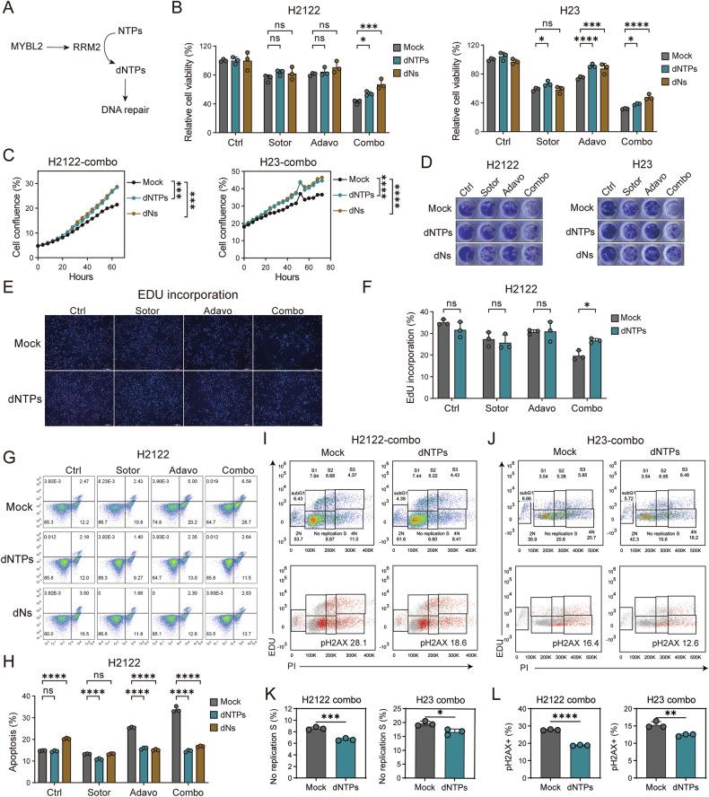
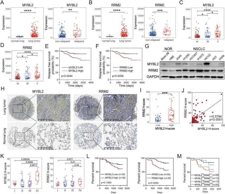
The clinical effect of KRAS G12C inhibitors (G12Ci) as monotherapy is poor, prompting the development of combination treatment strategies. Here, we demonstrate that the WEE1 kinase inhibitor (WEE1i), Adavosertib, can sensitize the effect of G12Ci through the MYBL2-RRM2 axis, which is associated with poor prognosis in lung cancer. Overexpressing the MYBL2-RRM2 axis or supplementing the products of the RRM2 enzyme, dNTPs/dNs, can partially reverse this synergistic inhibitory effect. We also observed marked effects of the combination therapy in tumor xenografts models. Collectively, these results uncover the WEE1 kinase inhibitors, some of which are available clinically, as effective enhancers for G12Ci therapy.

摘要

KRAS G12C抑制剂(G12Ci)作为单一疗法的临床效果不佳,这促使了联合治疗策略的发展。在此,我们证明WEE1激酶抑制剂(WEE1i)阿伐替尼可通过MYBL2-RRM2轴使G12Ci的效果敏感化,该轴与肺癌预后不良相关。过表达MYBL2-RRM2轴或补充RRM2酶的产物dNTPs/dNs可部分逆转这种协同抑制作用。我们还在肿瘤异种移植模型中观察到联合疗法的显著效果。总体而言,这些结果揭示了WEE1激酶抑制剂(其中一些已在临床上可用)作为G12Ci治疗的有效增强剂。

https://cdn.ncbi.nlm.nih.gov/pmc/blobs/8011/12398517/47cf92139d84/41419_2025_7992_Fig1_HTML.jpg

文献AI研究员

20分钟写一篇综述,助力文献阅读效率提升50倍。

立即体验

用中文搜PubMed

大模型驱动的PubMed中文搜索引擎

马上搜索

文档翻译

学术文献翻译模型,支持多种主流文档格式。

立即体验