Suppr超能文献

靶向抑制巨噬细胞STING信号通路可减轻急性心肌梗死中的炎症损伤和心室重塑。

Targeted inhibition of macrophage STING signaling alleviates inflammatory injury and ventricular remodeling in acute myocardial infarction.

作者信息

Yao Huan, He Qingman, Wei Shujun, Xiang Li, Luo Yuanyuan, Huang Cong, Liu Weiwei, Zheng Chuan, Li Xueping, Gao Yongxiang

机构信息

Sichuan Provincial Engineering Research Center of Innovative Re-Development of Famous Classical Formulas, Tianfu TCM Innovation Harbour, Chengdu University of Traditional Chinese Medicine, Chengdu 611930, China.

Sichuan Provincial Engineering Technology Research Center of Natural Small Molecule Drug, Tianfu TCM Innovation Harbour, Chengdu University of Traditional Chinese Medicine, Chengdu 611930, China.

出版信息

Acta Pharm Sin B. 2025 Aug;15(8):4030-4046. doi: 10.1016/j.apsb.2025.06.014. Epub 2025 Jun 25.

Abstract

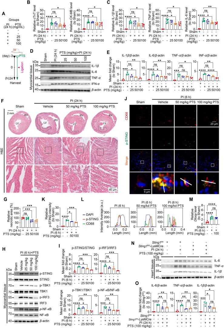
Mitochondrial DNA (mtDNA) acts as a damage-associated molecular pattern to activate the stimulator of interferon genes (STING) signaling in macrophages, promoting tissue inflammation. However, its role in acute myocardial infarction (AMI) remains unclear. Macrophage-specific knockout mice were used to validate STING's pathological role in AMI. Cardiac and liver mtDNA were used to activate macrophages in co-culture systems with cardiomyocytes to assess fibrosis and hypertrophy. Panaxatriol saponin (PTS) was tested for its ability to block mtDNA-driven macrophage activation and subsequent cardiomyocyte damage. STING-PTS binding ability was analyzed. AMI rats received PTS to evaluate its effects on myocardial inflammation and ventricular remodeling. , macrophage-specific knockout reduced myocardial inflammation and injury after AMI. , mtDNA-activated macrophages induced cardiomyocyte fibrosis and hypertrophy through STING signaling. PTS suppressed mtDNA-driven macrophage activation by directly binding STING, thereby blocking inflammatory cascades. In AMI rats, PTS treatment attenuated acute inflammation and reversed ventricular remodeling. These findings establish the mtDNA-STING axis in macrophages as a critical driver of post-AMI inflammation and identify pharmacological STING inhibition with PTS as a promising therapeutic strategy. The study bridges genetic validation with translational applications, highlighting macrophage STING as a novel target for ischemic heart disease management.

摘要

线粒体DNA(mtDNA)作为一种损伤相关分子模式,可激活巨噬细胞中的干扰素基因刺激因子(STING)信号,促进组织炎症。然而,其在急性心肌梗死(AMI)中的作用仍不清楚。利用巨噬细胞特异性敲除小鼠来验证STING在AMI中的病理作用。使用心脏和肝脏的mtDNA在与心肌细胞的共培养系统中激活巨噬细胞,以评估纤维化和肥大情况。测试了人参三醇皂苷(PTS)阻断mtDNA驱动的巨噬细胞激活及随后心肌细胞损伤的能力。分析了STING与PTS的结合能力。给AMI大鼠注射PTS以评估其对心肌炎症和心室重塑的影响。巨噬细胞特异性敲除可减轻AMI后的心肌炎症和损伤。mtDNA激活的巨噬细胞通过STING信号诱导心肌细胞纤维化和肥大。PTS通过直接结合STING抑制mtDNA驱动的巨噬细胞激活,从而阻断炎症级联反应。在AMI大鼠中,PTS治疗减轻了急性炎症并逆转了心室重塑。这些发现确立了巨噬细胞中的mtDNA-STING轴是AMI后炎症的关键驱动因素,并确定用PTS进行药理学STING抑制是一种有前景的治疗策略。该研究将基因验证与转化应用联系起来,突出了巨噬细胞STING作为缺血性心脏病管理的新靶点。

https://cdn.ncbi.nlm.nih.gov/pmc/blobs/6ea2/12399207/a9be440f6007/gr1.jpg

文献AI研究员

20分钟写一篇综述,助力文献阅读效率提升50倍。

立即体验

用中文搜PubMed

大模型驱动的PubMed中文搜索引擎

马上搜索

文档翻译

学术文献翻译模型,支持多种主流文档格式。

立即体验