Suppr超能文献

一名外科重症监护病房患者耐多药鲍曼不动杆菌肺炎的非典型表现:病例报告

Atypical Presentation of Multidrug-Resistant Acinetobacter baumannii Pneumonia in a Post-Surgical ICU Patient: A Case Report.

作者信息

Rawashdeh Zaina, Alshatarat Marah J, Daradkeh Basil G, Awwad Dina, Sawalha Sara H

机构信息

Medicine, University of Jordan, Amman, JOR.

General Practice, Jordan University of Science and Technology, Amman, JOR.

出版信息

Cureus. 2025 Jul 30;17(7):e89059. doi: 10.7759/cureus.89059. eCollection 2025 Jul.

Abstract

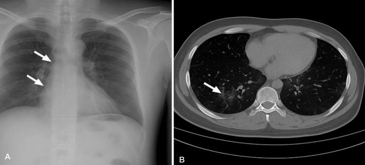
is a Gram-negative opportunistic pathogen increasingly encountered in hospital environments, particularly in intensive care units (ICUs), where it presents a major clinical challenge due to its multidrug-resistant (MDR) profile. Its resistance to multiple antibiotic classes makes it a serious therapeutic challenge, particularly in post-surgical patients where symptoms may be atypical. We report a case of a previously healthy 64-year-old male patient with a history of hypertension and coronary artery disease, admitted to the ICU following elective abdominal aortic aneurysm repair. On postoperative day five, he developed mild respiratory symptoms, low-grade fever, and oxygen desaturation, but with no abnormal lung auscultation findings. Elevated inflammatory markers and radiologic evidence of faint bilateral perihilar infiltrates and subtle ground-glass opacities prompted further investigation. Cultures revealed MDR resistant to carbapenems, aminoglycosides, and fluoroquinolones, but susceptible to colistin and tigecycline. The patient received combination intravenous therapy with colistin and tigecycline, resulting in rapid clinical improvement, normalization of inflammatory markers, and complete radiologic resolution by day 14. This case underscores the importance of maintaining a high index of suspicion for MDR pneumonia in post-surgical ICU patients with non-specific symptoms and highlights the role of early diagnosis and targeted therapy in achieving favorable outcomes.

摘要

是一种革兰氏阴性机会致病菌,在医院环境中越来越常见,尤其是在重症监护病房(ICU),由于其多重耐药(MDR)特性,它带来了重大的临床挑战。它对多种抗生素类别的耐药性使其成为一个严重的治疗难题,特别是在症状可能不典型的术后患者中。我们报告一例病例,一名64岁既往健康的男性患者,有高血压和冠状动脉疾病史,在择期腹主动脉瘤修复术后入住ICU。术后第5天,他出现轻度呼吸道症状、低热和氧饱和度下降,但肺部听诊无异常发现。炎症标志物升高以及双侧肺门周围模糊浸润和细微磨玻璃影的影像学证据促使进一步检查。培养结果显示该菌对碳青霉烯类、氨基糖苷类和氟喹诺酮类耐药,但对黏菌素和替加环素敏感。患者接受了黏菌素和替加环素联合静脉治疗,14天时临床迅速改善,炎症标志物恢复正常,影像学完全恢复。该病例强调了对术后ICU出现非特异性症状的患者高度怀疑MDR肺炎的重要性,并突出了早期诊断和靶向治疗在取得良好结局中的作用。

https://cdn.ncbi.nlm.nih.gov/pmc/blobs/2add/12398324/1ac77b04ac1b/cureus-0017-00000089059-i01.jpg

文献AI研究员

20分钟写一篇综述,助力文献阅读效率提升50倍。

立即体验

用中文搜PubMed

大模型驱动的PubMed中文搜索引擎

马上搜索

文档翻译

学术文献翻译模型,支持多种主流文档格式。

立即体验