Suppr超能文献

靶向ALDH16A1介导的硫氧还蛋白溶酶体降解以增强SMARCA4缺陷型非小细胞肺癌对铁死亡的易感性

Targeting ALDH16A1 mediated thioredoxin lysosomal degradation to enhance ferroptosis susceptibility in SMARCA4-deficient NSCLC.

作者信息

Bi Guoshu, Liang Jiaqi, Bian Yunyi, Shan Guangyao, Ren Shencheng, Shi Haochun, Huang Xiaolong, Zhu Junkan, Wang Qun, Jiang Wei, Gan Boyi, Zhan Cheng

机构信息

Department of Thoracic Surgery, Zhongshan Hospital, Fudan University, Shanghai, China.

Department of Experimental Radiation Oncology, The University of Texas MD Anderson Cancer Center, Houston, TX, USA.

出版信息

Nat Commun. 2025 Sep 2;16(1):8181. doi: 10.1038/s41467-025-63687-6.

Abstract

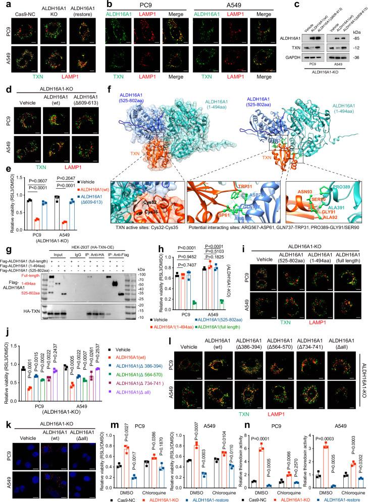
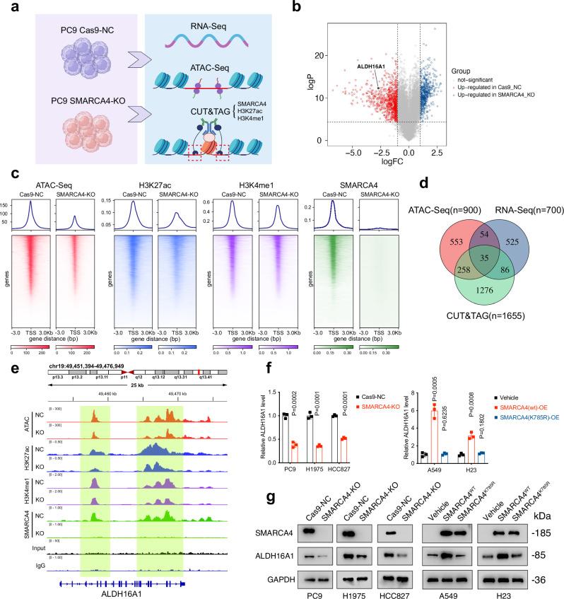
Ferroptosis, an iron-dependent form of cell death, holds promise for cancer therapy. However, the intricate link between ferroptosis and oncogenic mutations remains unclear. Here we show that SMARCA4, a well-established tumour suppressor whose deficiency is associated with poor prognosis and resistance to treatments, sensitizes non-small cell lung cancer (NSCLC) cells to ferroptosis. Mechanistically, SMARCA4 promotes chromatin accessibility and expression of ALDH16A1. Surprisingly, ALDH16A1 lacks ALDH enzymatic activity, but binds to the anti-ferroptotic oxidoreductase thioredoxin (TXN), facilitating its translocation to the lysosome and subsequent degradation. Meanwhile, ALDH16A1 directly inhibits TXN's oxidoreductase function by occluding its active site. We also show that either restoring ALDH16A1 levels or inhibiting TXN significantly enhances the effectiveness of chemo/immunotherapy in a ferroptosis-dependent manner in SMARCA4-deficient NSCLC. Collectively, our findings elucidate an intricate SMARCA4-ALDH16A1-TXN stability/function dual regulatory axis that governs ferroptosis and informs a therapeutic strategy for overcoming resistance to chemotherapy or immunotherapy in SMARCA4-deficient NSCLC.

摘要

铁死亡是一种铁依赖性细胞死亡形式,为癌症治疗带来了希望。然而,铁死亡与致癌突变之间的复杂联系仍不清楚。在这里,我们表明,SMARCA4是一种公认的肿瘤抑制因子,其缺陷与预后不良和治疗耐药性相关,它能使非小细胞肺癌(NSCLC)细胞对铁死亡敏感。从机制上讲,SMARCA4促进染色质可及性和ALDH16A1的表达。令人惊讶的是,ALDH16A1缺乏ALDH酶活性,但能与抗铁死亡氧化还原酶硫氧还蛋白(TXN)结合,促进其向溶酶体的转运并随后降解。同时,ALDH16A1通过封闭TXN的活性位点直接抑制其氧化还原酶功能。我们还表明,恢复ALDH16A1水平或抑制TXN均能以铁死亡依赖性方式显著增强SMARCA4缺陷型NSCLC化疗/免疫治疗的效果。总的来说,我们的研究结果阐明了一个复杂的SMARCA4-ALDH16A1-TXN稳定性/功能双重调节轴,该轴控制铁死亡,并为克服SMARCA4缺陷型NSCLC对化疗或免疫治疗的耐药性提供了一种治疗策略。

https://cdn.ncbi.nlm.nih.gov/pmc/blobs/5fe0/12405490/e3dda0517be6/41467_2025_63687_Fig1_HTML.jpg

文献AI研究员

20分钟写一篇综述,助力文献阅读效率提升50倍。

立即体验

用中文搜PubMed

大模型驱动的PubMed中文搜索引擎

马上搜索

文档翻译

学术文献翻译模型,支持多种主流文档格式。

立即体验