Suppr超能文献

病例报告:序贯经皮肝穿刺胆管引流术和胆道粒子支架联合靶向免疫治疗晚期胰腺癌伴恶性梗阻性黄疸:一种多学科方法

Case Report: Sequential PTCD and biliary seed stent combined with targeted-immunotherapy for advanced pancreatic cancer with malignant obstructive jaundice: a multidisciplinary approach.

作者信息

Li Weijun, Sun Guoyang, Zhu Rui, Li Pindong, Wang Li

机构信息

Department of Emergency Surgery, Union Hospital, Tongji Medical College, Huazhong University of Science and Technology, Wuhan, China.

Vascular Surgery, The Sixth Hospital of Wuhan, Affiliated Hospital of Jianghan University, Wuhan, China.

出版信息

Front Oncol. 2025 Aug 19;15:1649080. doi: 10.3389/fonc.2025.1649080. eCollection 2025.

Abstract

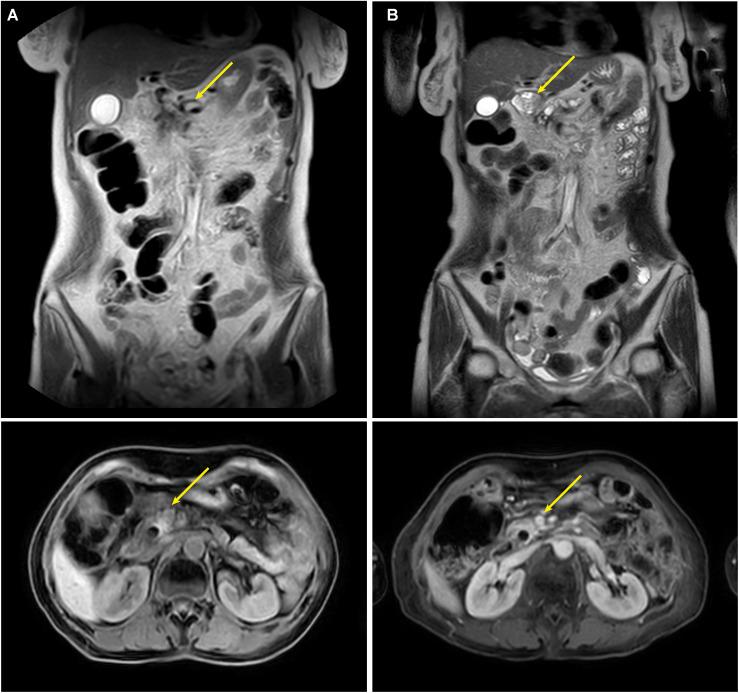
Malignant obstructive jaundice (MOJ) due to tumor compression or invasion of the bile duct carries a grave prognosis. We report a case of a 54-year-old female patient (height: 160 cm, weight: 55 kg, BMI: 21.5 kg/m², ECOG performance status: 1, with type 2 diabetes mellitus) advanced pancreatic head cancer causing MOJ, managed with a multidisciplinary approach. Initial endoscopic retrograde cholangiopancreatography (ERCP) with an 8.5 Fr plastic stent failed due to occlusion after 20 days, leading to bilirubin rebound. Emergency percutaneous transhepatic cholangial drainage (PTCD) followed by biliary metal stent (8 mm × 80 mm) and iodine-125 seed implantation effectively relieved obstruction, reducing total bilirubin (TBIL) from 116.9 to 45.6 μmol/L within seven days. Subsequent tomotherapy (TOMO, 66 Gy to gross tumor volume) and a personalized regimen of S1 (tegafur, 20 mg/day), nimotuzumab, and pembrolizumab, following intolerance to gemcitabine + nab-paclitaxel (AG), achieved a 78% reduction in CA19-9 and sustained biliary patency. At one-year follow-up, TBIL was 18.2 μmol/L, direct bilirubin (DBIL) was 9.8 μmol/L, and the patient reported a good quality of life (Karnofsky score: 90). This case demonstrates the efficacy of sequential PTCD, seed stent, and targeted-immunotherapy, offering a practical model for managing advanced pancreatic cancer with MOJ.

摘要

因肿瘤压迫或侵犯胆管导致的恶性梗阻性黄疸(MOJ)预后严重。我们报告一例54岁女性患者(身高:160 cm,体重:55 kg,BMI:21.5 kg/m²,东部肿瘤协作组体能状态:1,患有2型糖尿病),其晚期胰头癌导致MOJ,采用多学科方法进行治疗。最初的内镜逆行胰胆管造影(ERCP)置入8.5 Fr塑料支架,20天后因堵塞失败,导致胆红素反弹。紧急经皮经肝胆管引流(PTCD),随后置入胆道金属支架(8 mm×80 mm)并植入碘-125粒子,有效缓解了梗阻,7天内总胆红素(TBIL)从116.9降至45.6 μmol/L。随后进行断层放疗(TOMO,肿瘤总体积给予66 Gy),以及在患者对吉西他滨+纳米白蛋白结合型紫杉醇(AG)不耐受后采用的S1(替加氟,20 mg/天)、尼妥珠单抗和帕博利珠单抗个体化方案,使CA19-9降低了78%,并维持了胆道通畅。在一年的随访中,TBIL为18.2 μmol/L,直接胆红素(DBIL)为9.8 μmol/L,患者报告生活质量良好(卡诺夫斯基评分:90)。该病例证明了序贯PTCD、粒子支架和靶向免疫治疗的疗效,为晚期胰腺癌合并MOJ的管理提供了一个实用模型。

https://cdn.ncbi.nlm.nih.gov/pmc/blobs/db95/12401923/4b64340d7e36/fonc-15-1649080-g001.jpg

文献AI研究员

20分钟写一篇综述,助力文献阅读效率提升50倍。

立即体验

用中文搜PubMed

大模型驱动的PubMed中文搜索引擎

马上搜索

文档翻译

学术文献翻译模型,支持多种主流文档格式。

立即体验