Suppr超能文献

罕见的以无痛性便血为表现的原发性肛管直肠恶性黑色素瘤:一例报告

Rare primary anorectal malignant melanoma presenting with painless hematochezia: a case report.

作者信息

Zhong Yuchun, Zou Yueji, Peng Long, Hu Xiaoyun, Xu Wei

机构信息

Department of General Surgery, The Second Affiliated Hospital of Nanchang University, Nanchang, Jiangxi, China.

The Institute of Translational Medicine, The Second Affiliated Hospital of Nanchang University, Nanchang University, Nanchang, Jiangxi, China.

出版信息

Front Oncol. 2025 Aug 20;15:1640063. doi: 10.3389/fonc.2025.1640063. eCollection 2025.

Abstract

BACKGROUND

Anorectal malignant melanoma (ARMM) is an exceedingly rare and highly aggressive malignancy characterized by low prevalence, high misdiagnosis rates, and frequent recurrence/metastasis.

CASE REPORT

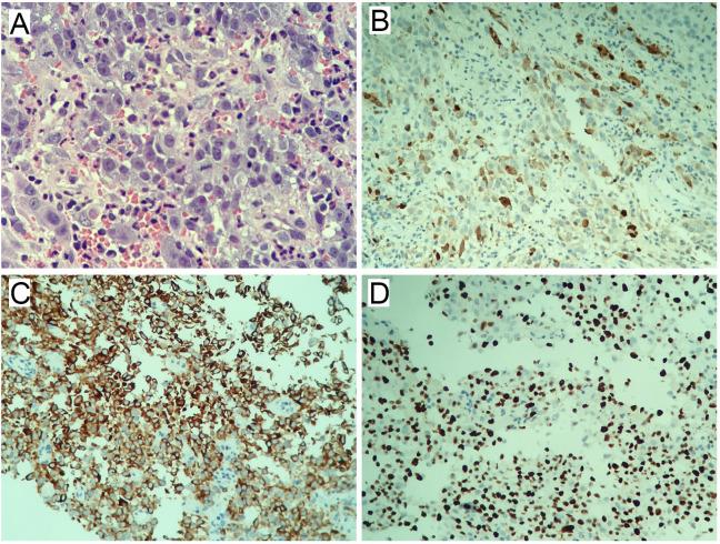
This report details the case of a 51-year-old woman presenting with persistent bright red blood in her stool. Digital rectal examination revealed a firm, spherical mass approximately 4 cm from the anal verge. Colonoscopy identified a pedunculated polypoid lesion (2.5 cm in diameter) near the anorectal junction. Based on clinical symptoms, physical findings, and endoscopic features, a high suspicion of rectal cancer was initially raised. However, subsequent histopathological evaluation of biopsy specimens revealed immunohistochemical positivity for MelanA, S100, and Ki-67 (30%), suggesting a probable diagnosis of malignant melanoma. After completing preoperative contrast-enhanced abdominal CT and pelvic MRI examinations and excluding surgical contraindications, the patient underwent laparoscopic-assisted abdominoperineal resection (Miles procedure) and postoperative adjuvant therapy with toripalimab. Moreover, no signs of recurrence were found during follow-up over 3 months postoperatively.

CONCLUSION

This case underscores that ARMM can be clinically indistinguishable from rectal carcinoma, posing a high risk of misdiagnosis. It highlights the critical role of histopathology and immunohistochemistry (IHC) in definitive differentiation, emphasizing the necessity of accurate diagnosis through IHC. Finally, it demonstrates the evolving treatment paradigm from extensive surgery toward a multidisciplinary approach integrating radical resection with adjuvant immunotherapy, reflecting advances in molecular insights and ameliorated outcomes.

摘要

背景

肛管直肠恶性黑色素瘤(ARMM)是一种极为罕见且侵袭性很强的恶性肿瘤,其特点是发病率低、误诊率高以及频繁复发/转移。

病例报告

本报告详细介绍了一名51岁女性患者,其粪便中持续出现鲜红色血液。直肠指检发现距肛缘约4厘米处有一个质地坚硬的球形肿块。结肠镜检查发现肛管直肠交界处附近有一个带蒂的息肉样病变(直径约2.5厘米)。根据临床症状、体格检查结果和内镜特征,最初高度怀疑为直肠癌。然而,随后活检标本的组织病理学评估显示MelanA、S100和Ki-67(约30%)免疫组化呈阳性,提示可能诊断为恶性黑色素瘤。在完成术前腹部增强CT和盆腔MRI检查并排除手术禁忌证后,患者接受了腹腔镜辅助腹会阴联合切除术(Miles手术)及术后托瑞帕利单抗辅助治疗。此外,术后3个月以上的随访期间未发现复发迹象。

结论

该病例强调ARMM在临床上可能与直肠癌难以区分,存在很高的误诊风险。它突出了组织病理学和免疫组化(IHC)在明确鉴别诊断中的关键作用,强调了通过IHC进行准确诊断的必要性。最后,它展示了从广泛手术向将根治性切除与辅助免疫治疗相结合的多学科方法的治疗模式演变,反映了分子认识的进步和改善的治疗结果。

https://cdn.ncbi.nlm.nih.gov/pmc/blobs/a533/12405361/09b14f295a94/fonc-15-1640063-g001.jpg

文献AI研究员

20分钟写一篇综述,助力文献阅读效率提升50倍。

立即体验

用中文搜PubMed

大模型驱动的PubMed中文搜索引擎

马上搜索

文档翻译

学术文献翻译模型,支持多种主流文档格式。

立即体验