Suppr超能文献

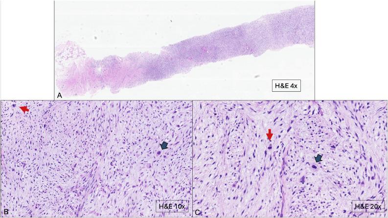
一名15岁女孩患乳腺高级别梭形细胞化生癌。

High-grade spindle cell metaplastic carcinoma of the breast in a 15-year-old girl.

作者信息

Barajas Gabi, Chen Cathy, Basha Michelle, Haider David, Guo Hua, Treece Amanda, Woodard Stefanie

机构信息

The University of Alabama at Birmingham Marnix E, Heersink School of Medicine, 1670 University Blvd, Birmingham, AL 35233, USA.

Department of Radiology, The University of Alabama at Birmingham, 1201 11th Avenue South, Birmingham, AL 35233, USA.

出版信息

Radiol Case Rep. 2025 Aug 27;20(11):5719-5723. doi: 10.1016/j.radcr.2025.08.003. eCollection 2025 Nov.

Abstract

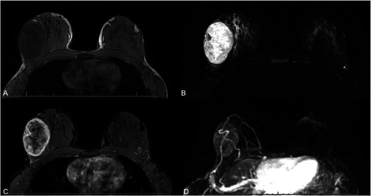
Metaplastic breast cancer in pediatric patients is exceedingly rare with only occasional case reports to present imaging and guide management. Typically diagnosed in patients over 50 years old, metaplastic carcinoma is an aggressive type of breast cancer representing less than 1% of all breast cancers in the United States. To our knowledge, we describe the youngest person to be diagnosed with metaplastic breast cancer in the US. This case underscores the need for clinical vigilance in evaluating rapidly growing breast masses in adolescents. It also emphasizes the value of histopathologic confirmation, even when imaging findings suggest a benign process, to ensure timely diagnosis and management.

摘要

小儿患者的化生性乳腺癌极为罕见,仅有零星病例报告用于呈现影像学表现并指导治疗。化生性癌通常在50岁以上的患者中被诊断出来,是一种侵袭性乳腺癌类型,在美国所有乳腺癌中所占比例不到1%。据我们所知,我们描述了美国最年轻的被诊断为化生性乳腺癌的患者。该病例强调了在评估青少年快速生长的乳腺肿块时保持临床警惕的必要性。它还强调了组织病理学确诊的价值,即使影像学表现提示为良性病变,以确保及时诊断和治疗。

https://cdn.ncbi.nlm.nih.gov/pmc/blobs/db1f/12410194/196e4f73d5ff/gr1.jpg

文献AI研究员

20分钟写一篇综述,助力文献阅读效率提升50倍。

立即体验

用中文搜PubMed

大模型驱动的PubMed中文搜索引擎

马上搜索

文档翻译

学术文献翻译模型,支持多种主流文档格式。

立即体验