Suppr超能文献

多器官脓肿及与感染相关的第五颈椎骨破坏:一例报告

Multi-Organ Abscesses and 5th Cervical Vertebra Bone Destruction Related with Infection: A Case Report.

作者信息

Wu Yonghong, Yang Dan, Wang Ke, Liu Chuntao

机构信息

Department of Respiratory and Critical Care Medicine, West China Hospital, Sichuan University, Chengdu, People's Republic of China.

Department of Critical Care Medicine, The People's Hospital of Jianyang City, Jianyang, People's Republic of China.

出版信息

Infect Drug Resist. 2020 Nov 27;13:4321-4325. doi: 10.2147/IDR.S274742. eCollection 2020.

Abstract

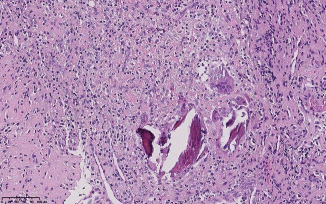
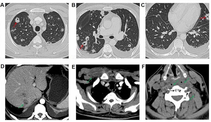
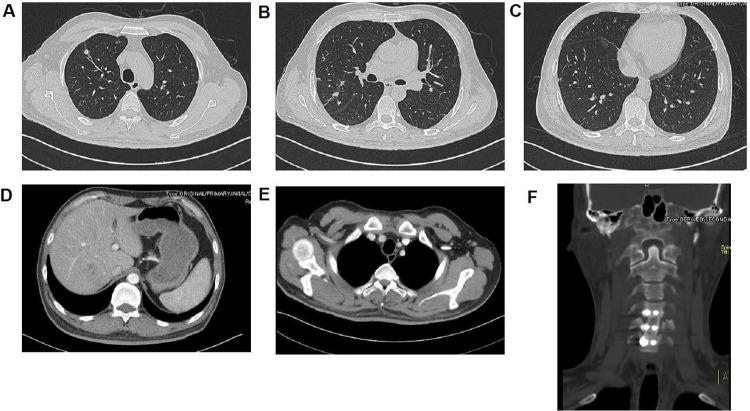
() is a causative pathogen of some rare diseases such as primary atrophic rhinitis and ozena. Here, we describe one case of a potentially lethal kind of infection in which multiple organs were implicated. A 40-year-old diabetic male patient presented to our hospital due to fever with right anterior chest mass and neck and shoulder pain for half a month. Based on all examination results, he was diagnosed with sepsis, bilateral pulmonary/right chest wall/liver abscesses and 5th cervical vertebra bone destruction with prevertebral abscesses, all related with infection. During the first time of admission, he was treated with antimicrobials without operations. Twelve days after his first discharge, fever and pain occurred again, the patient was treated with antimicrobials, operations (anterior debridement, spinal canal decompression, iliac bone graft fusion and internal fixation) and rehabilitation at second admission. The patient recovered well and was discharged from hospital. This case report demonstrates that can trigger a wide range invasive infections. Particularly, 5th cervical vertebra bone destruction was first reported as a clinical manifestation of infection in our patient.

摘要

()是一些罕见疾病如原发性萎缩性鼻炎和臭鼻症的致病病原体。在此,我们描述一例涉及多个器官的潜在致命性感染病例。一名40岁的糖尿病男性患者因发热伴右前胸肿块以及颈部和肩部疼痛半个月前来我院就诊。根据所有检查结果,他被诊断为脓毒症、双侧肺/右胸壁/肝脓肿以及第5颈椎骨质破坏伴椎前脓肿,所有这些均与()感染有关。首次入院时,他接受了抗菌药物治疗,未进行手术。首次出院12天后,发热和疼痛再次出现,患者在第二次入院时接受了抗菌药物治疗、手术(前路清创、椎管减压、髂骨植骨融合及内固定)和康复治疗。患者恢复良好并出院。该病例报告表明()可引发广泛的侵袭性感染。特别是,第5颈椎骨质破坏作为()感染的临床表现首次在我们的患者中被报道。

https://cdn.ncbi.nlm.nih.gov/pmc/blobs/9691/7709867/aa3158591b90/IDR-13-4321-g0001.jpg

文献AI研究员

20分钟写一篇综述,助力文献阅读效率提升50倍。

立即体验

用中文搜PubMed

大模型驱动的PubMed中文搜索引擎

马上搜索

文档翻译

学术文献翻译模型,支持多种主流文档格式。

立即体验