Suppr超能文献

Estrogen receptor of primary breast cancers: evidence for intracellular proteolysis.

作者信息

Maaroufi Y, Lacroix M, Lespagnard L, Journé F, Larsimont D, Leclercq G

机构信息

Laboratoire J-C Heuson de Cancérologie Mammaire, Service de Médecine, Institut Jules Bordet, Brussels, Belgium.

出版信息

Breast Cancer Res. 2000;2(6):444-54. doi: 10.1186/bcr92. Epub 2000 Sep 6.

Abstract

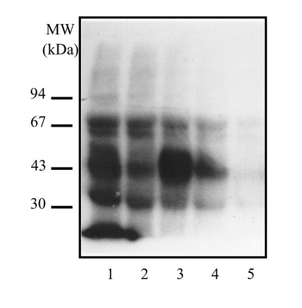
Iodinated oestradiol-labeled oestrogen receptor (ER) isoforms devoid of amino-terminal ABC domains represent about two-thirds of the whole receptor population detected in cytosol samples from human breast cancers. This high frequency could not be ascribed to the expression of truncated mRNAs, or to the proteolysis of the native ER peptide at the time of homogenization or assay, suggesting an intracellular proteolysis. Free amino-terminal and ligand-binding domains maintained together within oligomeric structure(s); increase of ionic strength separated them. The amino-terminal region was consistently detected in the cell nucleus by specific immunohistochemistry leading to the concept of a potential intranuclear association between ER cleavage products and/or other regulatory proteins.

摘要
https://cdn.ncbi.nlm.nih.gov/pmc/blobs/c052/13922/13333cd5b733/bcr-2-6-444-1.jpg

文献AI研究员

20分钟写一篇综述,助力文献阅读效率提升50倍。

立即体验

用中文搜PubMed

大模型驱动的PubMed中文搜索引擎

马上搜索

文档翻译

学术文献翻译模型,支持多种主流文档格式。

立即体验