Suppr超能文献

细丝蛋白A、肌动蛋白相关蛋白2/3复合体与人黑素瘤细胞中皮质肌动蛋白丝的形态和功能

Filamin A, the Arp2/3 complex, and the morphology and function of cortical actin filaments in human melanoma cells.

作者信息

Flanagan L A, Chou J, Falet H, Neujahr R, Hartwig J H, Stossel T P

机构信息

Hematology Division, Brigham and Women's Hospital, Department of Medicine, Harvard Medical School, Boston, MA 02115, USA.

出版信息

J Cell Biol. 2001 Nov 12;155(4):511-7. doi: 10.1083/jcb.200105148.

Abstract

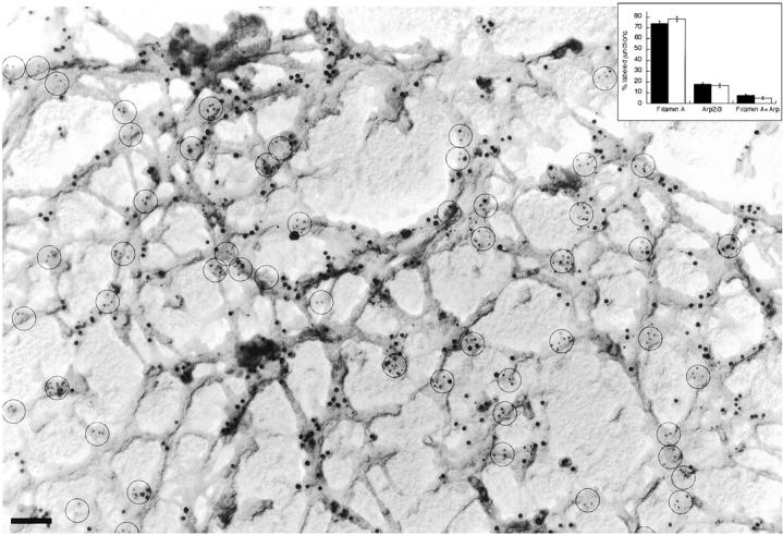
The Arp2/3 complex and filamin A (FLNa) branch actin filaments. To define the role of these actin-binding proteins in cellular actin architecture, we compared the morphology of FLNa-deficient human melanoma (M2) cells and three stable derivatives of these cells expressing normal FLNa concentrations. All the cell lines contain similar amounts of the Arp2/3 complex. Serum addition causes serum-starved M2 cells to extend flat protrusions transiently; thereafter, the protrusions turn into spherical blebs and the cells do not crawl. The short-lived lamellae of M2 cells contain a dense mat of long actin filaments in contrast to a more three-dimensional orthogonal network of shorter actin filaments in lamellae of identically treated FLNa-expressing cells capable of translational locomotion. FLNa-specific antibodies localize throughout the leading lamellae of these cells at junctions between orthogonally intersecting actin filaments. Arp2/3 complex-specific antibodies stain diffusely and label a few, although not the same, actin filament overlap sites as FLNa antibody. We conclude that FLNa is essential in cells that express it for stabilizing orthogonal actin networks suitable for locomotion. Contrary to some proposals, Arp2/3 complex-mediated branching of actin alone is insufficient for establishing an orthogonal actin organization or maintaining mechanical stability at the leading edge.

摘要

Arp2/3复合物和细丝蛋白A(FLNa)促使肌动蛋白丝分支。为了确定这些肌动蛋白结合蛋白在细胞肌动蛋白结构中的作用,我们比较了缺乏FLNa的人黑色素瘤(M2)细胞以及这些细胞的三种稳定衍生物(表达正常FLNa浓度)的形态。所有细胞系中Arp2/3复合物的含量相似。添加血清会使血清饥饿的M2细胞短暂伸出扁平突起;此后,突起会变成球形泡,细胞不再爬行。与能够进行平移运动的经相同处理的表达FLNa的细胞的片状伪足中更三维的正交短肌动蛋白丝网络相比,M2细胞短暂存在的片状伪足含有密集的长肌动蛋白丝垫。FLNa特异性抗体定位于这些细胞整个前沿片状伪足中正交相交的肌动蛋白丝之间的连接处。Arp2/3复合物特异性抗体呈弥漫性染色,并标记一些(尽管与FLNa抗体标记的不同)肌动蛋白丝重叠位点。我们得出结论,FLNa在表达它的细胞中对于稳定适合运动的正交肌动蛋白网络至关重要。与一些观点相反,仅由Arp2/3复合物介导的肌动蛋白分支不足以建立正交肌动蛋白组织或维持前沿的机械稳定性。

https://cdn.ncbi.nlm.nih.gov/pmc/blobs/d5be/2198874/aac421d2d042/0105148f1.jpg

文献AI研究员

20分钟写一篇综述,助力文献阅读效率提升50倍。

立即体验

用中文搜PubMed

大模型驱动的PubMed中文搜索引擎

马上搜索

文档翻译

学术文献翻译模型,支持多种主流文档格式。

立即体验