Suppr超能文献

在变应原激发过程中对肺部CD11c⁺树突状细胞进行体内清除可消除哮喘的特征性表现。

In vivo depletion of lung CD11c+ dendritic cells during allergen challenge abrogates the characteristic features of asthma.

作者信息

van Rijt Leonie S, Jung Steffen, Kleinjan Alex, Vos Nanda, Willart Monique, Duez Catherine, Hoogsteden Henk C, Lambrecht Bart N

机构信息

Department of Pulmonary Medicine, Erasmus MC, 3015 GE Rotterdam, Netherlands.

出版信息

J Exp Med. 2005 Mar 21;201(6):981-91. doi: 10.1084/jem.20042311.

Abstract

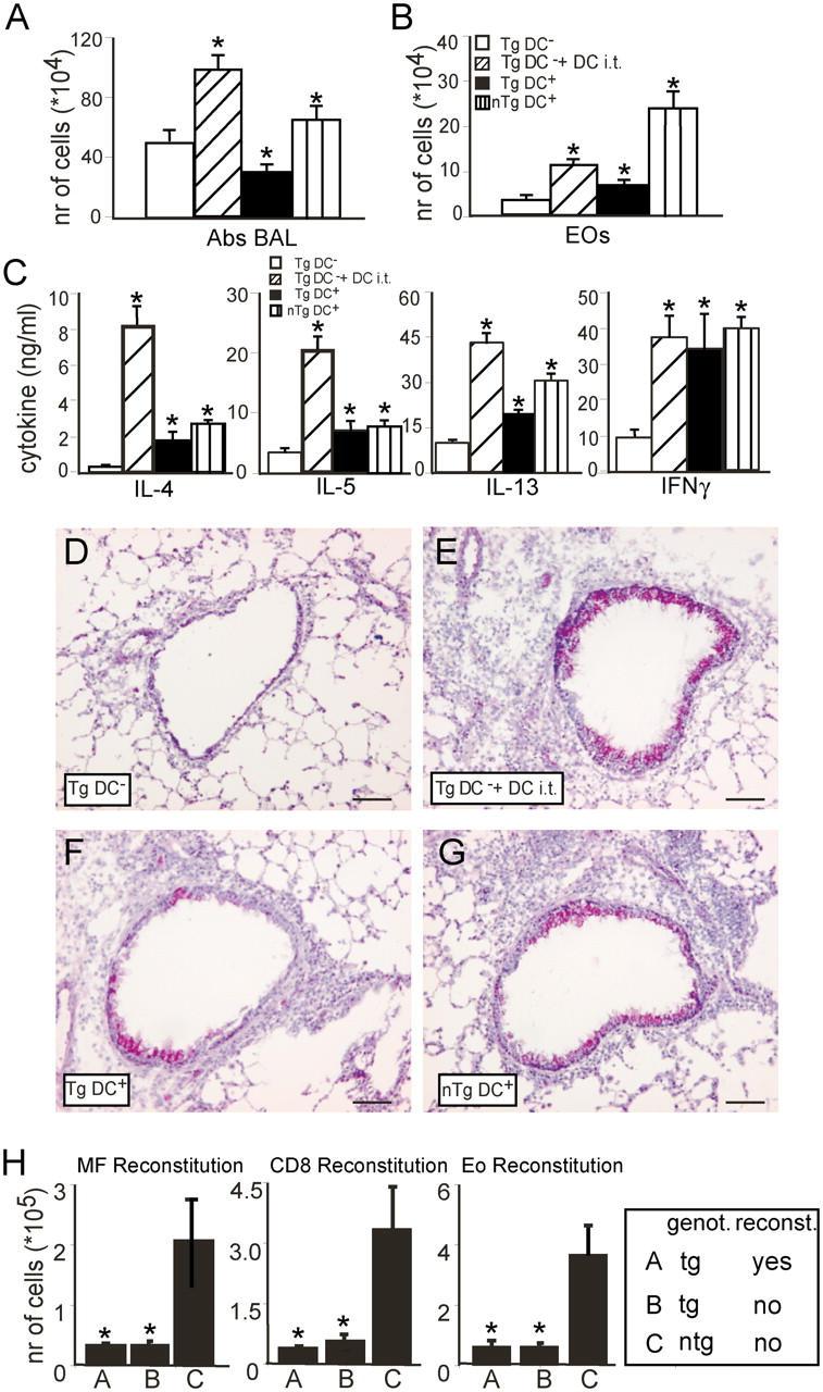
Although dendritic cells (DCs) play an important role in sensitization to inhaled allergens, their function in ongoing T helper (Th)2 cell-mediated eosinophilic airway inflammation underlying bronchial asthma is currently unknown. Here, we show in an ovalbumin (OVA)-driven murine asthma model that airway DCs acquire a mature phenotype and interact with CD4(+) T cells within sites of peribronchial and perivascular inflammation. To study whether DCs contributed to inflammation, we depleted DCs from the airways of CD11c-diphtheria toxin (DT) receptor transgenic mice during the OVA aerosol challenge. Airway administration of DT depleted CD11c(+) DCs and alveolar macrophages and abolished the characteristic features of asthma, including eosinophilic inflammation, goblet cell hyperplasia, and bronchial hyperreactivity. In the absence of CD11c(+) cells, endogenous or adoptively transferred CD4(+) Th2 cells did not produce interleukin (IL)-4, IL-5, and IL-13 in response to OVA aerosol. In CD11c-depleted mice, eosinophilic inflammation and Th2 cytokine secretion were restored by adoptive transfer of CD11c(+) DCs, but not alveolar macrophages. These findings identify lung DCs as key proinflammatory cells that are necessary and sufficient for Th2 cell stimulation during ongoing airway inflammation.

摘要

尽管树突状细胞(DCs)在吸入性过敏原致敏过程中发挥重要作用,但其在支气管哮喘所潜在的持续的辅助性T(Th)2细胞介导的嗜酸性气道炎症中的功能目前尚不清楚。在此,我们在卵清蛋白(OVA)诱导的小鼠哮喘模型中发现,气道DCs呈现成熟表型,并在支气管周围和血管周围炎症部位与CD4(+) T细胞相互作用。为了研究DCs是否促成炎症,我们在OVA气雾剂激发期间,从CD11c-白喉毒素(DT)受体转基因小鼠的气道中清除DCs。气道给予DT可清除CD11c(+) DCs和肺泡巨噬细胞,并消除哮喘的特征性表现,包括嗜酸性炎症、杯状细胞增生和支气管高反应性。在缺乏CD11c(+)细胞的情况下,内源性或过继转移的CD4(+) Th2细胞对OVA气雾剂无反应,不产生白细胞介素(IL)-4、IL-5和IL-13。在CD11c缺失的小鼠中,通过过继转移CD11c(+) DCs可恢复嗜酸性炎症和Th2细胞因子分泌,但肺泡巨噬细胞则不能。这些发现确定肺DCs是正在进行的气道炎症期间刺激Th2细胞所必需且足够的关键促炎细胞。

https://cdn.ncbi.nlm.nih.gov/pmc/blobs/ab48/2213109/42fc8e7355bc/20042311f1.jpg

文献AI研究员

20分钟写一篇综述,助力文献阅读效率提升50倍。

立即体验

用中文搜PubMed

大模型驱动的PubMed中文搜索引擎

马上搜索

文档翻译

学术文献翻译模型,支持多种主流文档格式。

立即体验