Suppr超能文献

Pim激酶使Bad上的多个位点磷酸化,并促进14-3-3与Bcl-XL的结合和解离。

Pim kinases phosphorylate multiple sites on Bad and promote 14-3-3 binding and dissociation from Bcl-XL.

作者信息

Macdonald Andrew, Campbell David G, Toth Rachel, McLauchlan Hilary, Hastie C James, Arthur J Simon C

机构信息

MRC Protein Phosphorylation Unit, School of Life Sciences, University of Dundee, Dundee, DD1 5EH, UK.

出版信息

BMC Cell Biol. 2006 Jan 10;7:1. doi: 10.1186/1471-2121-7-1.

Abstract

BACKGROUND

Pim-1, 2 and 3 are a group of enzymes related to the calcium calmodulin family of protein kinases. Over-expression of Pim-1 and Pim-2 in mice promotes the development of lymphomas, and up-regulation of Pim expression has been observed in several human cancers.

RESULTS

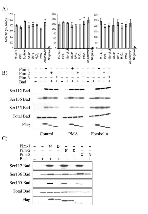
Here we show that the pim kinases are constitutively active when expressed in HEK-293 cells and are able to phosphorylate the Bcl-2 family member Bad on three residues, Ser112, Ser136 and Ser155 in vitro and in cells. In vitro mapping showed that Pim-2 predominantly phosphorylated Ser112, while Pim-1 phosphorylated Ser112, but also Ser136 and Ser155 at a reduced rate compared to Ser112. Pim-3 was found to be the least specific for Ser112, and the most effective at phosphorylating Ser136 and Ser155. Pim-3 was also able to phosphorylate other sites in Bad in vitro, including Ser170, another potential in vivo site. Mutation of Ser136 to alanine prevented the phosphorylation of Ser112 and Ser155 by Pim kinases in HEK-293 cells, suggesting that this site must be phosphorylated first in order to make the other sites accessible. Pim phosphorylation of Bad was also found to promote the 14-3-3 binding of Bad and block its association with Bcl-XL.

CONCLUSION

All three Pim kinase family members predominantly phosphorylate Bad on Ser112 and in addition are capable of phosphorylating Bad on multiple sites associated with the inhibition of the pro-apoptotic function of Bad in HEK-293 cells. This would be consistent with the proposed function of Pim kinases in promoting cell proliferation and preventing cell death.

摘要

背景

Pim-1、Pim-2和Pim-3是一组与钙调蛋白依赖性蛋白激酶家族相关的酶。Pim-1和Pim-2在小鼠中的过表达促进淋巴瘤的发展,并且在几种人类癌症中已观察到Pim表达上调。

结果

我们在此表明,pim激酶在HEK-293细胞中表达时组成性激活,并且能够在体外和细胞中使Bcl-2家族成员Bad的三个残基Ser112、Ser136和Ser155磷酸化。体外定位显示,Pim-2主要磷酸化Ser112,而Pim-1磷酸化Ser112,但与Ser112相比,Ser136和Ser155的磷酸化速率降低。发现Pim-3对Ser112的特异性最低,并且在磷酸化Ser136和Ser155方面最有效。Pim-3在体外也能够磷酸化Bad中的其他位点,包括Ser170,这是另一个潜在的体内位点。将Ser136突变为丙氨酸可阻止HEK-293细胞中Pim激酶对Ser112和Ser155的磷酸化,表明该位点必须首先被磷酸化才能使其他位点可被磷酸化。还发现Bad的Pim磷酸化促进Bad与14-3-3的结合并阻止其与Bcl-XL的缔合。

结论

所有三个Pim激酶家族成员主要在Ser112处磷酸化Bad,此外还能够在与抑制HEK-293细胞中Bad的促凋亡功能相关的多个位点磷酸化Bad。这与Pim激酶在促进细胞增殖和防止细胞死亡方面的拟议功能一致。

https://cdn.ncbi.nlm.nih.gov/pmc/blobs/5e7e/1368972/fc53b29e1375/1471-2121-7-1-1.jpg

文献AI研究员

20分钟写一篇综述,助力文献阅读效率提升50倍。

立即体验

用中文搜PubMed

大模型驱动的PubMed中文搜索引擎

马上搜索

文档翻译

学术文献翻译模型,支持多种主流文档格式。

立即体验