Suppr超能文献

有袋类动物睾丸和卵巢发育过程中WNT4的差异表达

Differential expression of WNT4 in testicular and ovarian development in a marsupial.

作者信息

Yu Hongshi, Pask Andrew J, Shaw Geoffrey, Renfree Marilyn B

机构信息

Department of Zoology, The University of Melbourne, Victoria 3010, Australia.

出版信息

BMC Dev Biol. 2006 Oct 3;6:44. doi: 10.1186/1471-213X-6-44.

Abstract

BACKGROUND

WNT4 is a key regulator of gonadal differentiation in humans and mice, playing a pivotal role in early embryogenesis. Using a marsupial, the tammar wallaby, in which most gonadal differentiation occurs after birth whilst the young is in the pouch, we show by quantitative PCR during early testicular and ovarian development that WNT4 is differentially expressed in gonads.

RESULTS

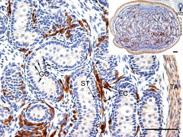
Before birth, WNT4 mRNA expression was similar in indifferent gonads of both sexes. After birth, in females WNT4 mRNA dramatically increased during ovarian differentiation, reaching a peak by day 9-13 post partum (pp) when the ovarian cortex and medulla are first distinguishable. WNT4 protein was localised in the ovarian cortex and at the medullary boundary. WNT4 mRNA then steadily decreased to day 49, by which time all the female germ cells have entered meiotic arrest. In males, WNT4 mRNA was down-regulated in testes immediately after birth, coincident with the time that seminiferous cords normally form, and rose gradually after day 8. By day 49, when testicular androgen production normally declines, WNT4 protein was restricted to the Leydig cells.

CONCLUSION

This is the first localisation of WNT4 protein in developing gonads and is consistent with a role for WNT4 in steroidogenesis. Our data provide strong support for the suggestion that WNT4 not only functions as an anti-testis gene during early development, but is also necessary for later ovarian and testicular function.

摘要

背景

WNT4是人类和小鼠性腺分化的关键调节因子,在早期胚胎发育中起关键作用。我们利用一种有袋动物——帚尾袋貂进行研究,在这种动物中,大多数性腺分化发生在幼崽在育儿袋中时出生后,通过定量PCR我们发现在早期睾丸和卵巢发育过程中,WNT4在性腺中存在差异表达。

结果

出生前,两性未分化性腺中WNT4 mRNA表达相似。出生后,在雌性中,WNT4 mRNA在卵巢分化期间显著增加,在产后第9 - 13天达到峰值,此时卵巢皮质和髓质首次可区分。WNT4蛋白定位于卵巢皮质和髓质边界。然后WNT4 mRNA在第49天稳步下降,此时所有雌性生殖细胞都进入减数分裂停滞。在雄性中,出生后睾丸中WNT4 mRNA立即下调,这与生精索正常形成的时间一致,并在第8天后逐渐上升。到第49天,当睾丸雄激素产生正常下降时,WNT4蛋白局限于睾丸间质细胞。

结论

这是WNT4蛋白在发育中的性腺中的首次定位,与WNT4在类固醇生成中的作用一致。我们的数据为WNT4不仅在早期发育过程中作为抗睾丸基因发挥作用,而且对后期卵巢和睾丸功能也是必需的这一观点提供了有力支持。

https://cdn.ncbi.nlm.nih.gov/pmc/blobs/26a0/1609105/72caf4aabc64/1471-213X-6-44-1.jpg

文献AI研究员

20分钟写一篇综述,助力文献阅读效率提升50倍。

立即体验

用中文搜PubMed

大模型驱动的PubMed中文搜索引擎

马上搜索

文档翻译

学术文献翻译模型,支持多种主流文档格式。

立即体验