Suppr超能文献

白细胞介素-32与肿瘤坏死因子α之间的相互作用会导致免疫炎症性疾病的恶化。

Interactions between IL-32 and tumor necrosis factor alpha contribute to the exacerbation of immune-inflammatory diseases.

作者信息

Shoda Hirofumi, Fujio Keishi, Yamaguchi Yumi, Okamoto Akiko, Sawada Tetsuji, Kochi Yuta, Yamamoto Kazuhiko

机构信息

Department of Allergy and Rheumatology, Graduate School of Medicine, University of Tokyo, 7-3-1 Hongo, Bunkyo-ku, Tokyo 113-0033, Japan.

出版信息

Arthritis Res Ther. 2006;8(6):R166. doi: 10.1186/ar2074.

Abstract

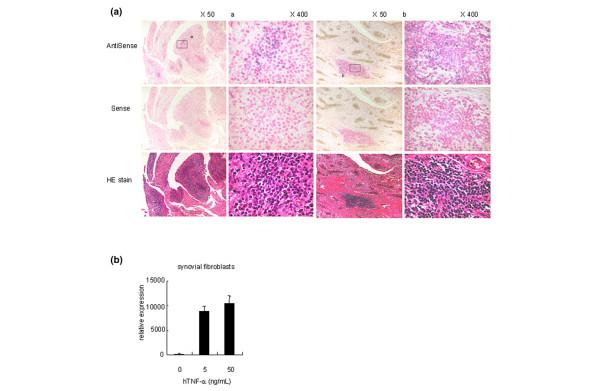
IL-32 is a newly described cytokine in the human found to be an in vitro inducer of tumor necrosis factor alpha (TNFalpha). We examined the in vivo relationship between IL-32 and TNFalpha, and the pathologic role of IL-32 in the TNFalpha-related diseases - arthritis and colitis. We demonstrated by quantitative PCR assay that IL-32 mRNA was expressed in the lymphoid tissues, and in stimulated peripheral T cells, monocytes, and B cells. Activated T cells were important for IL-32 mRNA expression in monocytes and B cells. Interestingly, TNFalpha reciprocally induced IL-32 mRNA expression in T cells, monocyte-derived dendritic cells, and synovial fibroblasts. Moreover, IL-32 mRNA expression was prominent in the synovial tissues of rheumatoid arthritis patients, especially in synovial-infiltrated lymphocytes by in situ hybridization. To examine the in vivo relationship of IL-32 and TNFalpha, we prepared an overexpression model mouse of human IL-32beta (BM-hIL-32) by bone marrow transplantation. Splenocytes of BM-hIL-32 mice showed increased expression and secretion of TNFalpha, IL-1beta, and IL-6 especially in response to lipopolysaccharide stimulation. Moreover, serum TNFalpha concentration showed a clear increase in BM-hIL-32 mice. Cell-sorting analysis of splenocytes showed that the expression of TNFalpha was increased in resting F4/80+ macrophages, and the expression of TNFalpha, IL-1beta and IL-6 was increased in lipopolysaccharide-stimulated F4/80+ macrophages and CD11c+ dendritic cells. In fact, BM-hIL-32 mice showed exacerbation of collagen-antibody-induced arthritis and trinitrobenzen sulfonic acid-induced colitis. In addition, the transfer of hIL-32beta-producing CD4+ T cells significantly exacerbated collagen-induced arthritis, and a TNFalpha blockade cancelled the exacerbating effects of hIL-32beta. We therefore conclude that IL-32 is closely associated with TNFalpha, and contributes to the exacerbation of TNFalpha-related inflammatory arthritis and colitis.

摘要

白细胞介素-32(IL-32)是在人体内新发现的一种细胞因子,被发现是肿瘤坏死因子α(TNFα)的体外诱导剂。我们研究了IL-32与TNFα在体内的关系,以及IL-32在与TNFα相关的疾病——关节炎和结肠炎中的病理作用。我们通过定量PCR分析证明,IL-32 mRNA在淋巴组织以及受刺激的外周T细胞、单核细胞和B细胞中表达。活化的T细胞对单核细胞和B细胞中IL-32 mRNA的表达很重要。有趣的是,TNFα可相互诱导T细胞、单核细胞来源的树突状细胞和滑膜成纤维细胞中IL-32 mRNA的表达。此外,通过原位杂交发现,IL-32 mRNA在类风湿性关节炎患者的滑膜组织中表达显著,尤其是在滑膜浸润淋巴细胞中。为了研究IL-32与TNFα在体内的关系,我们通过骨髓移植制备了人IL-32β过表达模型小鼠(BM-hIL-32)。BM-hIL-32小鼠的脾细胞显示TNFα、IL-1β和IL-6的表达和分泌增加,尤其是在对脂多糖刺激的反应中。此外,BM-hIL-32小鼠的血清TNFα浓度明显升高。脾细胞的细胞分选分析表明,静息F4/80+巨噬细胞中TNFα的表达增加,脂多糖刺激的F4/80+巨噬细胞和CD11c+树突状细胞中TNFα、IL-1β和IL-6的表达增加。事实上,BM-hIL-32小鼠的胶原抗体诱导的关节炎和三硝基苯磺酸诱导的结肠炎加重。此外,产生hIL-32β的CD4+T细胞的转移显著加重了胶原诱导的关节炎,而TNFα阻断消除了hIL-32β的加重作用。因此,我们得出结论,IL-32与TNFα密切相关,并导致TNFα相关的炎症性关节炎和结肠炎加重。

https://cdn.ncbi.nlm.nih.gov/pmc/blobs/c48e/1794509/8cd68dd3bae9/ar2074-1.jpg

文献AI研究员

20分钟写一篇综述,助力文献阅读效率提升50倍。

立即体验

用中文搜PubMed

大模型驱动的PubMed中文搜索引擎

马上搜索

文档翻译

学术文献翻译模型,支持多种主流文档格式。

立即体验