Suppr超能文献

小鼠Mfn1和Mfn2之间的互补作用可保护由CMT2A疾病突变引起的线粒体融合缺陷。

Complementation between mouse Mfn1 and Mfn2 protects mitochondrial fusion defects caused by CMT2A disease mutations.

作者信息

Detmer Scott A, Chan David C

机构信息

Division of Biology, California Institute of Technology, Pasadena, CA 91125, USA.

出版信息

J Cell Biol. 2007 Feb 12;176(4):405-14. doi: 10.1083/jcb.200611080.

Abstract

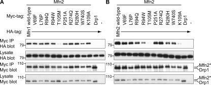
Mfn2, an oligomeric mitochondrial protein important for mitochondrial fusion, is mutated in Charcot-Marie-Tooth disease (CMT) type 2A, a peripheral neuropathy characterized by axonal degeneration. In addition to homooligomeric complexes, Mfn2 also associates with Mfn1, but the functional significance of such heterooligomeric complexes is unknown. Also unknown is why Mfn2 mutations in CMT2A lead to cell type-specific defects given the widespread expression of Mfn2. In this study, we show that homooligomeric complexes formed by many Mfn2 disease mutants are nonfunctional for mitochondrial fusion. However, wild-type Mfn1 complements mutant Mfn2 through the formation of heterooligomeric complexes, including complexes that form in trans between mitochondria. Wild-type Mfn2 cannot complement the disease alleles. Our results highlight the functional importance of Mfn1-Mfn2 heterooligomeric complexes and the close interplay between the two mitofusins in the control of mitochondrial fusion. Furthermore, they suggest that tissues with low Mfn1 expression are vulnerable in CMT2A and that methods to increase Mfn1 expression in the peripheral nervous system would benefit CMT2A patients.

摘要

Mfn2是一种对线粒体融合很重要的寡聚线粒体蛋白,在2A型遗传性运动感觉神经病(CMT)中发生突变,这是一种以轴突变性为特征的周围神经病。除了同型寡聚复合物外,Mfn2还与Mfn1结合,但这种异型寡聚复合物的功能意义尚不清楚。同样未知的是,鉴于Mfn2广泛表达,CMT2A中的Mfn2突变为何会导致细胞类型特异性缺陷。在本研究中,我们表明许多Mfn2疾病突变体形成的同型寡聚复合物对线粒体融合无功能。然而,野生型Mfn1通过形成异型寡聚复合物来补充突变型Mfn2,包括在线粒体之间反式形成的复合物。野生型Mfn2不能补充疾病等位基因。我们的结果突出了Mfn1-Mfn2异型寡聚复合物的功能重要性以及两种线粒体融合蛋白在控制线粒体融合中的密切相互作用。此外,它们表明Mfn1表达低的组织在CMT2A中易受影响,并且增加外周神经系统中Mfn1表达的方法将使CMT2A患者受益。

https://cdn.ncbi.nlm.nih.gov/pmc/blobs/a3c5/2063976/ab8b49e3e5b4/jcb1760405f01.jpg

文献AI研究员

20分钟写一篇综述,助力文献阅读效率提升50倍。

立即体验

用中文搜PubMed

大模型驱动的PubMed中文搜索引擎

马上搜索

文档翻译

学术文献翻译模型,支持多种主流文档格式。

立即体验