Suppr超能文献

通过激光显微切割和微阵列分析鉴别小叶型和导管型浸润性乳腺癌的新型标志物

Novel markers for differentiation of lobular and ductal invasive breast carcinomas by laser microdissection and microarray analysis.

作者信息

Turashvili Gulisa, Bouchal Jan, Baumforth Karl, Wei Wenbin, Dziechciarkova Marta, Ehrmann Jiri, Klein Jiri, Fridman Eduard, Skarda Jozef, Srovnal Josef, Hajduch Marian, Murray Paul, Kolar Zdenek

机构信息

Laboratory of Molecular Pathology, Institute of Pathology, Palacky University, Olomouc, Czech Republic.

出版信息

BMC Cancer. 2007 Mar 27;7:55. doi: 10.1186/1471-2407-7-55.

Abstract

BACKGROUND

Invasive ductal and lobular carcinomas (IDC and ILC) are the most common histological types of breast cancer. Clinical follow-up data and metastatic patterns suggest that the development and progression of these tumors are different. The aim of our study was to identify gene expression profiles of IDC and ILC in relation to normal breast epithelial cells.

METHODS

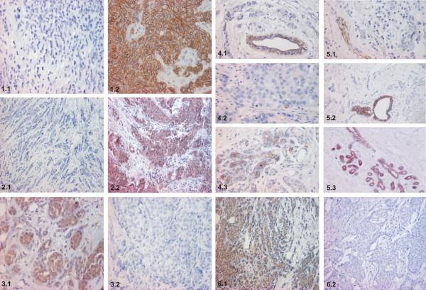
We examined 30 samples (normal ductal and lobular cells from 10 patients, IDC cells from 5 patients, ILC cells from 5 patients) microdissected from cryosections of ten mastectomy specimens from postmenopausal patients. Fifty nanograms of total RNA were amplified and labeled by PCR and in vitro transcription. Samples were analysed upon Affymetrix U133 Plus 2.0 Arrays. The expression of seven differentially expressed genes (CDH1, EMP1, DDR1, DVL1, KRT5, KRT6, KRT17) was verified by immunohistochemistry on tissue microarrays. Expression of ASPN mRNA was validated by in situ hybridization on frozen sections, and CTHRC1, ASPN and COL3A1 were tested by PCR.

RESULTS

Using GCOS pairwise comparison algorithm and rank products we have identified 84 named genes common to ILC versus normal cell types, 74 named genes common to IDC versus normal cell types, 78 named genes differentially expressed between normal ductal and lobular cells, and 28 named genes between IDC and ILC. Genes distinguishing between IDC and ILC are involved in epithelial-mesenchymal transition, TGF-beta and Wnt signaling. These changes were present in both tumor types but appeared to be more prominent in ILC. Immunohistochemistry for several novel markers (EMP1, DVL1, DDR1) distinguished large sets of IDC from ILC.

CONCLUSION

IDC and ILC can be differentiated both at the gene and protein levels. In this study we report two candidate genes, asporin (ASPN) and collagen triple helix repeat containing 1 (CTHRC1) which might be significant in breast carcinogenesis. Besides E-cadherin, the proteins validated on tissue microarrays (EMP1, DVL1, DDR1) may represent novel immunohistochemical markers helpful in distinguishing between IDC and ILC. Further studies with larger sets of patients are needed to verify the gene expression profiles of various histological types of breast cancer in order to determine molecular subclassifications, prognosis and the optimum treatment strategies.

摘要

背景

浸润性导管癌和小叶癌(IDC和ILC)是乳腺癌最常见的组织学类型。临床随访数据和转移模式表明,这些肿瘤的发生和发展有所不同。我们研究的目的是确定IDC和ILC相对于正常乳腺上皮细胞的基因表达谱。

方法

我们检查了从10例绝经后患者的乳房切除标本冰冻切片中显微切割得到的30个样本(来自10例患者的正常导管和小叶细胞、来自5例患者的IDC细胞、来自5例患者的ILC细胞)。50纳克总RNA通过PCR和体外转录进行扩增和标记。样本在Affymetrix U133 Plus 2.0芯片上进行分析。通过组织微阵列上的免疫组织化学验证了7个差异表达基因(CDH1、EMP1、DDR1、DVL1、KRT5、KRT6、KRT17)的表达。通过冰冻切片上的原位杂交验证了ASPN mRNA的表达,并通过PCR检测了CTHRC1、ASPN和COL3A1。

结果

使用GCOS成对比较算法和秩乘积,我们确定了ILC与正常细胞类型共有的84个命名基因、IDC与正常细胞类型共有的74个命名基因、正常导管和小叶细胞之间差异表达的78个命名基因以及IDC和ILC之间的28个命名基因。区分IDC和ILC的基因参与上皮-间质转化、TGF-β和Wnt信号传导。这些变化在两种肿瘤类型中均存在,但在ILC中似乎更为突出。对几种新型标志物(EMP1、DVL1、DDR1)的免疫组织化学区分了大量的IDC和ILC。

结论

IDC和ILC在基因和蛋白质水平上均可区分。在本研究中,我们报告了两个候选基因,即抑癌蛋白(ASPN)和含胶原三螺旋重复序列1(CTHRC1),它们可能在乳腺癌发生中具有重要意义。除了E-钙黏蛋白外,在组织微阵列上验证的蛋白质(EMP1、DVL1、DDR1)可能代表有助于区分IDC和ILC的新型免疫组织化学标志物。需要对更多患者进行进一步研究,以验证各种组织学类型乳腺癌的基因表达谱,从而确定分子亚分类、预后和最佳治疗策略。

https://cdn.ncbi.nlm.nih.gov/pmc/blobs/e1f5/1852112/63f47d861db7/1471-2407-7-55-1.jpg

文献AI研究员

20分钟写一篇综述,助力文献阅读效率提升50倍。

立即体验

用中文搜PubMed

大模型驱动的PubMed中文搜索引擎

马上搜索

文档翻译

学术文献翻译模型,支持多种主流文档格式。

立即体验