Suppr超能文献

三个新的PAX6突变,其中一个导致与神经发育异常相关的异常眼科表型。

Three new PAX6 mutations including one causing an unusual ophthalmic phenotype associated with neurodevelopmental abnormalities.

作者信息

Dansault Anouk, David Gabriel, Schwartz Claire, Jaliffa Carolina, Vieira Véronique, de la Houssaye Guillaume, Bigot Karine, Catin Françise, Tattu Laurent, Chopin Catherine, Halimi Philippe, Roche Olivier, Van Regemorter Nicole, Munier Francis, Schorderet Daniel, Dufier Jean-Louis, Marsac Cécile, Ricquier Daniel, Menasche Maurice, Penfornis Alfred, Abitbol Marc

机构信息

EA n 2502 du Ministère de la Recherche, de l'Enseignement Supérieur et la Technologie, Center de Recherches Thérapeutiques en Ophtalmologie (CERTO), Université René Descartes-Paris V, Faculté de Médecine René Descartes-Site Necker, Paris, France.

出版信息

Mol Vis. 2007 Apr 2;13:511-23.

Abstract

PURPOSE

The PAX6 gene was first described as a candidate for human aniridia. However, PAX6 expression is not restricted to the eye and it appears to be crucial for brain development. We studied PAX6 mutations in a large spectrum of patients who presented with aniridia phenotypes, Peters' anomaly, and anterior segment malformations associated or not with neurological anomalies.

METHODS

Patients and related families were ophthalmologically phenotyped, and in some cases neurologically and endocrinologically examined. We screened the PAX6 gene by direct sequencing in three groups of patients: those affected by aniridia; those with diverse ocular manifestations; and those with Peters' anomaly. Two mutations were investigated by generating crystallographic representations of the amino acid changes.

RESULTS

Three novel heterozygous mutations affecting three unrelated families were identified: the g.572T>C nucleotide change, located in exon 5, and corresponding to the Leucine 46 Proline amino-acid mutation (L46P); the g.655A>G nucleotide change, located in exon 6, and corresponding to the Serine 74 Glycine amino-acid mutation (S74G); and the nucleotide deletion 579delG del, located in exon 6, which induces a frameshift mutation leading to a stop codon (V48fsX53). The L46P mutation was identified in affected patients presenting bilateral microphthalmia, cataracts, and nystagmus. The S74G mutation was found in a large family that had congenital ocular abnormalities, diverse neurological manifestations, and variable cognitive impairments. The 579delG deletion (V48fsX53) caused in the affected members of the same family bilateral aniridia associated with congenital cataract, foveal hypolasia, and nystagmus. We also detected a novel intronic nucleotide change, IVS2+9G>A (very likely a mutation) in an apparently isolated patient affected by a complex ocular phenotype, characterized primarily by a bilateral microphthalmia. Whether this nucleotide change is indeed pathogenic remains to be demonstrated. Two previously known heterozygous mutations of the PAX6 gene sequence were also detected in patients affected by aniridia: a de novo previously known nucleotide change, g.972C>T (Q179X), in exon 8, leading to a stop codon and a heterozygous g.555C>A (C40X) recurrent nonsense mutation in exon 5. No mutations were found in patients with Peters' anomaly.

CONCLUSIONS

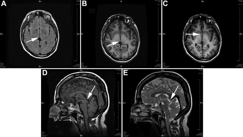
We identified three mutations associated with aniridia phenotypes (Q179X, C40X, and V48fsX53). The three other mutations reported here cause non-aniridia ocular phenotypes associated in some cases with neurological anomalies. The IVS2+9G>A nucleotide change was detected in a patient with a microphthalmia phenotype. The L46P mutation was detected in a family with microphthalmia, cataract, and nystagmus. This mutation is located in the DNA-binding paired-domain and the crystallographic representations of this mutation show that this mutation may affect the helix-turn-helix motif, and as a consequence the DNA-binding properties of the resulting mutated protein. Ser74 is located in the PAX6 PD linker region, essential for DNA recognition and DNA binding, and the side chain of the Ser74 contributes to DNA recognition by the linker domain through direct contacts. Crystallographic representations show that the S74G mutation results in no side chain and therefore perturbs the DNA-binding properties of PAX6. This study highlights the severity and diversity of the consequences of PAX6 mutations that appeared to result from the complexity of the PAX6 gene structure, and the numerous possibilities for DNA binding. This study emphasizes the fact that neurodevelopmental abnormalities may be caused by PAX6 mutations. The neuro-developmental abnormalities caused by PAX6 mutations are probably still overlooked in the current clinical examinations performed throughout the world in patients affected by PAX6 mutations.

摘要

目的

PAX6基因最初被描述为人类无虹膜症的候选基因。然而,PAX6的表达并不局限于眼睛,它似乎对大脑发育至关重要。我们研究了大量表现出无虹膜症表型、彼得斯异常以及伴有或不伴有神经异常的眼前节畸形的患者中的PAX6突变。

方法

对患者及其相关家族进行眼科表型分析,在某些情况下还进行神经学和内分泌学检查。我们通过直接测序对三组患者的PAX6基因进行筛查:无虹膜症患者;有多种眼部表现的患者;以及彼得斯异常患者。通过生成氨基酸变化的晶体学表示来研究两个突变。

结果

鉴定出影响三个无关家族的三个新的杂合突变:位于外显子5的g.572T>C核苷酸变化,对应于亮氨酸46脯氨酸氨基酸突变(L46P);位于外显子6的g.655A>G核苷酸变化,对应于丝氨酸74甘氨酸氨基酸突变(S74G);以及位于外显子6的核苷酸缺失579delG del,它诱导移码突变导致终止密码子(V48fsX53)。L46P突变在表现为双侧小眼症、白内障和眼球震颤的受影响患者中被鉴定出来。S74G突变在一个有先天性眼部异常、多种神经学表现和可变认知障碍的大家族中被发现。579delG缺失(V48fsX53)在同一家族的受影响成员中导致双侧无虹膜症,伴有先天性白内障、黄斑发育不全和眼球震颤。我们还在一名明显孤立的、受复杂眼部表型影响的患者中检测到一个新的内含子核苷酸变化,IVS2+9G>A(很可能是一个突变),该表型主要特征为双侧小眼症。这个核苷酸变化是否确实致病仍有待证实。在无虹膜症患者中还检测到两个先前已知的PAX6基因序列的杂合突变:外显子8中一个新的先前已知的核苷酸变化g.972C>T(Q179X),导致终止密码子,以及外显子5中一个杂合的g.555C>A(C40X)复发性无义突变。在彼得斯异常患者中未发现突变。

结论

我们鉴定出三个与无虹膜症表型相关的突变(Q179X、C40X和V48fsX53)。这里报道的另外三个突变导致非无虹膜症的眼部表型,在某些情况下伴有神经异常。在一名小眼症表型患者中检测到IVS2+9G>A核苷酸变化。在一个有小眼症、白内障和眼球震颤的家族中检测到L46P突变。这个突变位于DNA结合配对结构域,该突变的晶体学表示表明这个突变可能影响螺旋-转角-螺旋基序,从而影响所得突变蛋白的DNA结合特性。丝氨酸74位于PAX6 PD连接区,对DNA识别和DNA结合至关重要,丝氨酸74的侧链通过直接接触有助于连接结构域对DNA的识别。晶体学表示表明S74G突变导致没有侧链,因此扰乱了PAX6的DNA结合特性。这项研究突出了PAX6突变后果的严重性和多样性,这似乎是由PAX6基因结构的复杂性以及DNA结合的多种可能性导致的。这项研究强调了PAX6突变可能导致神经发育异常这一事实。在全世界目前对受PAX6突变影响的患者进行的临床检查中,PAX6突变引起的神经发育异常可能仍然被忽视。

https://cdn.ncbi.nlm.nih.gov/pmc/blobs/bea3/2649307/2847718f757a/mv-v13-511-f1.jpg

文献AI研究员

20分钟写一篇综述,助力文献阅读效率提升50倍。

立即体验

用中文搜PubMed

大模型驱动的PubMed中文搜索引擎

马上搜索

文档翻译

学术文献翻译模型,支持多种主流文档格式。

立即体验