Suppr超能文献

与爱泼斯坦-巴尔病毒(EBV)DNA复制裂解起源表达相关的复杂性。

Complexities associated with expression of Epstein-Barr virus (EBV) lytic origins of DNA replication.

作者信息

Xue Shao-An, Griffin Beverly E

机构信息

Viral Oncology Unit, Division of Medicine, Wright-Fleming Institute, Imperial College at St Mary's, Norfolk Place, London W2 1PG, UK.

出版信息

Nucleic Acids Res. 2007;35(10):3391-406. doi: 10.1093/nar/gkm170. Epub 2007 May 3.

Abstract

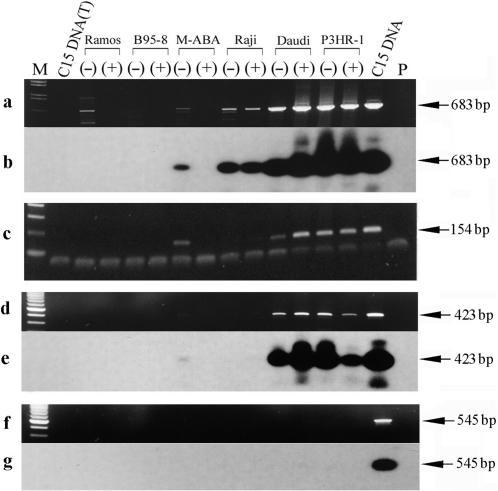
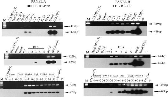
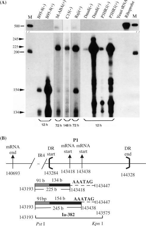
EBV has two lytic origins (oriLyt) of DNA replication lying at divergent sites on the viral genome within a duplicated sequence (DS). The latter contains potential hairpin loops, 'hinge' elements and the promoters for transcripts from viral genes BHLF1 and LF3. These genes themselves consist largely of 125 and 102 bp repetitive sequences, respectively, and encode basic proteins. We have examined these genomic regions in detail in attempts to understand why lytic replication--necessary for virus survival--is so inefficient, and to identify controlling elements. Our studies uncovered a diverse family of promoters (P) for BHLF1 and LF3, only one pair of which (P1) proved sensitive to chemical inducing agents. The others (P2-P3/4), abutting the replication 'core' origin elements in DS and extending into 5'-unique sequences, may play roles in the maintenance of viral latency. We further identified a family of overlapping small complementary-strand RNAs that transverse the replication 'core' origin elements in a manner suggesting a role for them as 'antisense' species and/or DNA replication primers. Our data are discussed in terms of alternative lytic replication models. We suggest our findings might prove useful in seeking better control over viral lytic replication and devising strategies for therapy.

摘要

EBV有两个DNA复制的裂解起始位点(oriLyt),位于病毒基因组中一个重复序列(DS)内的不同位置。后者包含潜在的发夹环、“铰链”元件以及病毒基因BHLF1和LF3转录本的启动子。这些基因本身分别主要由125和102 bp的重复序列组成,并编码碱性蛋白。我们详细研究了这些基因组区域,试图理解为什么对病毒生存至关重要的裂解复制效率如此低下,并识别控制元件。我们的研究发现了一个多样化的BHLF1和LF3启动子家族(P),其中只有一对(P1)对化学诱导剂敏感。其他的(P2 - P3/4)紧邻DS中的复制“核心”起始元件并延伸到5' - 独特序列中,可能在维持病毒潜伏状态中发挥作用。我们进一步鉴定了一个重叠的小互补链RNA家族,它们以一种表明其作为“反义”物种和/或DNA复制引物发挥作用的方式穿过复制“核心”起始元件。我们的数据根据替代的裂解复制模型进行了讨论。我们认为我们的发现可能有助于寻求更好地控制病毒裂解复制并设计治疗策略。

https://cdn.ncbi.nlm.nih.gov/pmc/blobs/2721/1904260/a60716df4ced/gkm170f1.jpg

文献AI研究员

20分钟写一篇综述,助力文献阅读效率提升50倍。

立即体验

用中文搜PubMed

大模型驱动的PubMed中文搜索引擎

马上搜索

文档翻译

学术文献翻译模型,支持多种主流文档格式。

立即体验