Suppr超能文献

人诺如病毒的体外细胞培养感染性测定

In vitro cell culture infectivity assay for human noroviruses.

作者信息

Straub Timothy M, Höner zu Bentrup Kerstin, Orosz-Coghlan Patricia, Dohnalkova Alice, Mayer Brooke K, Bartholomew Rachel A, Valdez Catherine O, Bruckner-Lea Cynthia J, Gerba Charles P, Abbaszadegan Morteza, Nickerson Cheryl A

机构信息

Pacific Northwest National Laboratory, Chemical and Biological Sciences Group, Richland, Washington 99352, USA.

出版信息

Emerg Infect Dis. 2007 Mar;13(3):396-403. doi: 10.3201/eid1303.060549.

Abstract

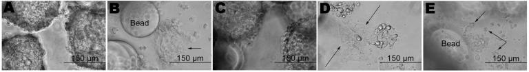
Human noroviruses cause severe, self-limiting gastroenteritis that typically lasts 24-48 hours. Because of the lack of suitable tissue culture or animal models, the true nature of norovirus pathogenesis remains unknown. We show, for the first time, that noroviruses can infect and replicate in a physiologically relevant 3-dimensional (3-D), organoid model of human small intestinal epithelium. This level of cellular differentiation was achieved by growing the cells on porous collagen-I coated microcarrier beads under conditions of physiological fluid shear in rotating wall vessel bioreactors. Microscopy, PCR, and fluorescent in situ hybridization provided evidence of norovirus infection. Cytopathic effect and norovirus RNA were detected at each of the 5 cell passages for genogroup I and II viruses. Our results demonstrate that the highly differentiated 3-D cell culture model can support the natural growth of human noroviruses, whereas previous attempts that used differentiated monolayer cultures failed.

摘要

人诺如病毒会引发严重的自限性肠胃炎,通常持续24至48小时。由于缺乏合适的组织培养或动物模型,诺如病毒发病机制的真实性质仍然未知。我们首次表明,诺如病毒能够在生理相关的三维(3-D)人小肠上皮类器官模型中感染并复制。这种细胞分化水平是通过在旋转壁式生物反应器中生理流体剪切条件下,将细胞接种在多孔I型胶原包被的微载体珠上生长而实现的。显微镜检查、聚合酶链反应(PCR)和荧光原位杂交为诺如病毒感染提供了证据。在I型和II型基因组病毒的5次细胞传代中的每一代都检测到了细胞病变效应和诺如病毒RNA。我们的结果表明,高度分化的3-D细胞培养模型能够支持人诺如病毒的自然生长,而此前使用分化单层培养的尝试均告失败。

https://cdn.ncbi.nlm.nih.gov/pmc/blobs/fe64/2725917/60391d1bb1ed/06-0549-F1.jpg

文献AI研究员

20分钟写一篇综述,助力文献阅读效率提升50倍。

立即体验

用中文搜PubMed

大模型驱动的PubMed中文搜索引擎

马上搜索

文档翻译

学术文献翻译模型,支持多种主流文档格式。

立即体验