Suppr超能文献

在巴雷特食管的发育异常-癌序列中,Akt的激活增加,这有助于增殖增加和细胞凋亡抑制:一项组织病理学和功能研究。

Activation of Akt is increased in the dysplasia-carcinoma sequence in Barrett's oesophagus and contributes to increased proliferation and inhibition of apoptosis: a histopathological and functional study.

作者信息

Beales Ian L P, Ogunwobi Olorunseun, Cameron Ewen, El-Amin Khalid, Mutungi Gabriel, Wilkinson Mark

机构信息

Gastroenterology Unit, Norfolk and Norwich University Hospital, Norwich, UK.

出版信息

BMC Cancer. 2007 Jun 8;7:97. doi: 10.1186/1471-2407-7-97.

Abstract

BACKGROUND

The incidence of oesophageal adenocarcinoma is increasing rapidly in the developed world. The serine-threonine protein kinase and proto-oncogene Akt has been reported to regulate proliferation and apoptosis in several tissues but there are no data on the involvement of Akt in oesophageal carcinogenesis. Therefore we have examined the activation of Akt in Barrett's oesophagus and oesophageal adenocarcinoma and the functional effects of Akt activation in vitro.

METHODS

Expression of total and active (phosphorylated) Akt were determined in endoscopic biopsies and surgical resection specimens using immunohistochemistry. The functional effects of Akt were examined using Barrett's adenocarcinoma cells in culture.

RESULTS

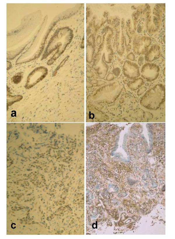
In normal squamous oesophagus, erosive oesophagitis and non-dysplastic Barrett's oesophagus, phospho-Akt was limited to the basal 1/3 of the mucosa. Image analysis confirmed that Akt activation was significantly increased in non-dysplastic Barrett's oesophagus compared to squamous epithelium and further significantly increased in high-grade dysplasia and adenocarcinoma. In all cases of high grade dysplasia and adenocarcinoma Akt was activated in the luminal 1/3 of the epithelium. Transient acid exposure and the obesity hormone leptin activated Akt, stimulated proliferation and inhibited apoptosis: the combination of acid and leptin was synergistic. Inhibition of Akt phosphorylation with LY294002 increased apoptosis and blocked the effects of acid and leptin both alone and in combination. Activation of Akt was associated with downstream phosphorylation and deactivation of the pro-apoptotic protein Bad and phosphorylation of the Forkhead family transcription factor FOXO1.

CONCLUSION

Akt is abnormally activated in Barrett's oesophagus, high grade dysplasia and adenocarcinoma. Akt activation promotes proliferation and inhibits apoptosis in Barrett's adenocarcinoma cells and both transient acid exposure and leptin stimulate Akt phosphorylation. Downstream targets of Akt include Bad and Forkhead transcription factors. Activation of Akt in obesity and by reflux of gastric acid may be important in the pathogenesis of Barrett's adenocarcinoma.

摘要

背景

在发达国家,食管腺癌的发病率正在迅速上升。丝氨酸 - 苏氨酸蛋白激酶和原癌基因Akt已被报道可调节多种组织中的增殖和凋亡,但尚无关于Akt参与食管癌变的数据。因此,我们研究了Akt在巴雷特食管和食管腺癌中的激活情况以及Akt激活在体外的功能作用。

方法

使用免疫组织化学法在内镜活检和手术切除标本中测定总Akt和活性(磷酸化)Akt的表达。使用培养的巴雷特腺癌细胞研究Akt的功能作用。

结果

在正常鳞状食管、糜烂性食管炎和非发育异常的巴雷特食管中,磷酸化Akt局限于黏膜的基底1/3。图像分析证实,与鳞状上皮相比,非发育异常的巴雷特食管中Akt激活显著增加,在高级别发育异常和腺癌中进一步显著增加。在所有高级别发育异常和腺癌病例中,Akt在上皮的管腔1/3中被激活。短暂酸暴露和肥胖激素瘦素激活Akt,刺激增殖并抑制凋亡:酸和瘦素的联合作用具有协同性。用LY294002抑制Akt磷酸化可增加凋亡,并阻断酸和瘦素单独及联合作用的效果。Akt的激活与促凋亡蛋白Bad的下游磷酸化和失活以及叉头家族转录因子FOXO1的磷酸化有关。

结论

Akt在巴雷特食管、高级别发育异常和腺癌中异常激活。Akt激活促进巴雷特腺癌细胞的增殖并抑制凋亡,短暂酸暴露和瘦素均刺激Akt磷酸化。Akt的下游靶点包括Bad和叉头转录因子。肥胖和胃酸反流导致的Akt激活可能在巴雷特腺癌的发病机制中起重要作用。

https://cdn.ncbi.nlm.nih.gov/pmc/blobs/a919/1899509/42dec3278b53/1471-2407-7-97-1.jpg

文献AI研究员

20分钟写一篇综述,助力文献阅读效率提升50倍。

立即体验

用中文搜PubMed

大模型驱动的PubMed中文搜索引擎

马上搜索

文档翻译

学术文献翻译模型,支持多种主流文档格式。

立即体验