Suppr超能文献

大鼠局灶性神经脱髓鞘后神经元趋化因子受体的功能延迟表达:外周伤害感受器慢性敏化发展的一种机制

Delayed functional expression of neuronal chemokine receptors following focal nerve demyelination in the rat: a mechanism for the development of chronic sensitization of peripheral nociceptors.

作者信息

Bhangoo Sonia, Ren Dongjun, Miller Richard J, Henry Kenneth J, Lineswala Jayana, Hamdouchi Chafiq, Li Baolin, Monahan Patrick E, Chan David M, Ripsch Matthew S, White Fletcher A

机构信息

Cell Biology, Neurobiology & Anatomy, Loyola University - Chicago, Maywood, IL, USA.

出版信息

Mol Pain. 2007 Dec 12;3:38. doi: 10.1186/1744-8069-3-38.

Abstract

BACKGROUND

Animal and clinical studies have revealed that focal peripheral nerve axon demyelination is accompanied by nociceptive pain behavior. C-C and C-X-C chemokines and their receptors have been strongly implicated in demyelinating polyneuropathies and persistent pain syndromes. Herein, we studied the degree to which chronic nociceptive pain behavior is correlated with the neuronal expression of chemokines and their receptors following unilateral lysophosphatidylcholine (LPC)-induced focal demyelination of the sciatic nerve in rats.

RESULTS

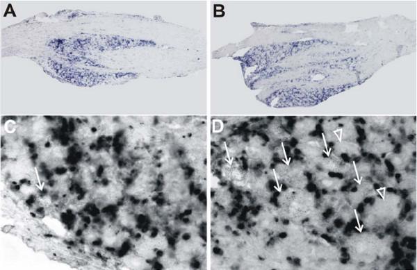
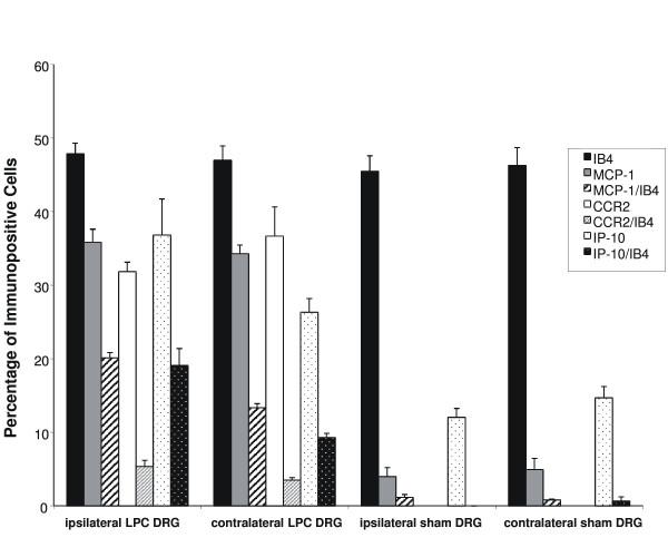
Focal nerve demyelination increased behavioral reflex responsiveness to mechanical stimuli between postoperative day (POD) 3 and POD28 in both the hindpaw ipsilateral and contralateral to the nerve injury. This behavior was accompanied by a bilateral increase in the numbers of primary sensory neurons expressing the chemokine receptors CCR2, CCR5, and CXCR4 by POD14, with no change in the pattern of CXCR3 expression. Significant increases in the numbers of neurons expressing the chemokines monocyte chemoattractant protein-1 (MCP-1/CCL2), Regulated on Activation, Normal T Expressed and Secreted (RANTES/CCL5) and interferon gamma-inducing protein-10 (IP-10/CXCL10) were also evident following nerve injury, although neuronal expression pattern of stromal cell derived factor-1alpha (SDF1/CXCL12) did not change. Functional studies demonstrated that acutely dissociated sensory neurons derived from LPC-injured animals responded with increased [Ca2+]i following exposure to MCP-1, IP-10, SDF1 and RANTES on POD 14 and 28, but these responses were largely absent by POD35. On days 14 and 28, rats received either saline or a CCR2 receptor antagonist isomer (CCR2 RA-[R]) or its inactive enantiomer (CCR2 RA-[S]) by intraperitoneal (i.p.) injection. CCR2 RA-[R] treatment of nerve-injured rats produced stereospecific bilateral reversal of tactile hyperalgesia.

CONCLUSION

These results suggest that the presence of chemokine signaling by both injured and adjacent, uninjured sensory neurons is correlated with the maintenance phase of a persistent pain state, suggesting that chemokine receptor antagonists may be an important therapeutic intervention for chronic pain.

摘要

背景

动物和临床研究表明,局灶性外周神经轴突脱髓鞘伴有伤害性疼痛行为。C-C和C-X-C趋化因子及其受体与脱髓鞘性多发性神经病和持续性疼痛综合征密切相关。在此,我们研究了大鼠单侧溶血磷脂酰胆碱(LPC)诱导的坐骨神经局灶性脱髓鞘后,慢性伤害性疼痛行为与趋化因子及其受体神经元表达的相关程度。

结果

局灶性神经脱髓鞘使神经损伤同侧和对侧后爪在术后第3天(POD)至第28天对机械刺激的行为反射反应性增加。这种行为伴随着到POD14时表达趋化因子受体CCR2、CCR5和CXCR4的初级感觉神经元数量的双侧增加,但CXCR3的表达模式没有变化。神经损伤后,表达趋化因子单核细胞趋化蛋白-1(MCP-1/CCL2)、活化调节正常T细胞表达和分泌因子(RANTES/CCL5)以及干扰素γ诱导蛋白-10(IP-10/CXCL10)的神经元数量也显著增加,尽管基质细胞衍生因子-1α(SDF1/CXCL12)的神经元表达模式没有变化。功能研究表明,来自LPC损伤动物的急性解离感觉神经元在POD 14和28暴露于MCP-1、IP-10、SDF1和RANTES后,[Ca2+]i增加,但到POD35时这些反应基本消失。在第14天和第28天,大鼠通过腹腔内(i.p.)注射接受生理盐水或CCR2受体拮抗剂异构体(CCR2 RA-[R])或其无活性对映体(CCR2 RA-[S])。CCR2 RA-[R]治疗神经损伤大鼠产生了触觉痛觉过敏的立体特异性双侧逆转。

结论

这些结果表明,受损和相邻未受损感觉神经元的趋化因子信号传导与持续性疼痛状态的维持阶段相关,提示趋化因子受体拮抗剂可能是慢性疼痛的重要治疗干预措施。

https://cdn.ncbi.nlm.nih.gov/pmc/blobs/ee60/2228278/d4fb78ff1a14/1744-8069-3-38-1.jpg

文献AI研究员

20分钟写一篇综述,助力文献阅读效率提升50倍。

立即体验

用中文搜PubMed

大模型驱动的PubMed中文搜索引擎

马上搜索

文档翻译

学术文献翻译模型,支持多种主流文档格式。

立即体验