Suppr超能文献

癌症栓塞治疗:有哪些证据?

Embolisation of cancer: what is the evidence?

机构信息

The Royal London Hospital, Barts and The London NHS Trust, Whitechapel Road, London, E1 1BB, UK.

出版信息

Cancer Imaging. 2004 Sep 17;4(2):133-41. doi: 10.1102/1470-7330.2004.0021.

Abstract

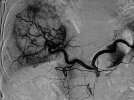
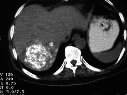
Embolisation has become an accepted modality of cancer treatment in patients with a variety of clinical scenarios. It is commonly used in clinical practice in the treatment of hepatocellular carcinoma, hepatic metastases from colorectal cancer and neuroendocrine tumours, and renal cell carcinoma. This review summarizes the current evidence for the efficacy of embolotherapy in these clinical settings, together with the associated complications.

摘要

栓塞治疗已成为多种临床情况下癌症治疗的一种可接受的方式。在临床实践中,它通常用于治疗肝细胞癌、结直肠癌肝转移和神经内分泌肿瘤以及肾细胞癌。本文综述了栓塞治疗在这些临床情况下的疗效的现有证据,以及相关的并发症。

https://cdn.ncbi.nlm.nih.gov/pmc/blobs/3fd6/1434597/09b2b580c408/ci04013301.jpg

文献AI研究员

20分钟写一篇综述,助力文献阅读效率提升50倍。

立即体验

用中文搜PubMed

大模型驱动的PubMed中文搜索引擎

马上搜索

文档翻译

学术文献翻译模型,支持多种主流文档格式。

立即体验