Suppr超能文献

猴免疫缺陷病毒Nef和人免疫缺陷病毒1型Vpu在克服由束缚素/BST2介导的限制作用中的种属特异性活性

Species-specific activity of SIV Nef and HIV-1 Vpu in overcoming restriction by tetherin/BST2.

作者信息

Jia Bin, Serra-Moreno Ruth, Neidermyer William, Rahmberg Andrew, Mackey John, Fofana Ismael Ben, Johnson Welkin E, Westmoreland Susan, Evans David T

机构信息

Department of Microbiology and Molecular Genetics, Harvard Medical School, New England Primate Research Center, Southborough, MA, USA.

出版信息

PLoS Pathog. 2009 May;5(5):e1000429. doi: 10.1371/journal.ppat.1000429. Epub 2009 May 15.

Abstract

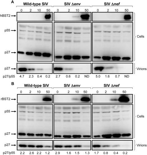
Tetherin, also known as BST2, CD317 or HM1.24, was recently identified as an interferon-inducible host-cell factor that interferes with the detachment of virus particles from infected cells. HIV-1 overcomes this restriction by expressing an accessory protein, Vpu, which counteracts tetherin. Since lentiviruses of the SIV(smm/mac)/HIV-2 lineage do not have a vpu gene, this activity has likely been assumed by other viral gene products. We found that deletion of the SIV(mac)239 nef gene significantly impaired virus release in cells expressing rhesus macaque tetherin. Virus release could be restored by expressing Nef in trans. However, Nef was unable to facilitate virus release in the presence of human tetherin. Conversely, Vpu enhanced virus release in the presence of human tetherin, but not in the presence of rhesus tetherin. In accordance with the species-specificity of Nef in mediating virus release, SIV Nef downregulated cell-surface expression of rhesus tetherin, but did not downregulate human tetherin. The specificity of SIV Nef for rhesus tetherin mapped to four amino acids in the cytoplasmic domain of the molecule that are missing from human tetherin, whereas the specificity of Vpu for human tetherin mapped to amino acid differences in the transmembrane domain. Nef alleles of SIV(smm), HIV-2 and HIV-1 were also able to rescue virus release in the presence of both rhesus macaque and sooty mangabey tetherin, but were generally ineffective against human tetherin. Thus, the ability of Nef to antagonize tetherin from these Old World primates appears to be conserved among the primate lentiviruses. These results identify Nef as the viral gene product of SIV that opposes restriction by tetherin in rhesus macaques and sooty mangabeys, and reveal species-specificity in the activities of both Nef and Vpu in overcoming tetherin in their respective hosts.

摘要

束缚素,也被称为BST2、CD317或HM1.24,最近被鉴定为一种干扰素诱导的宿主细胞因子,它会干扰病毒颗粒从受感染细胞上的脱离。HIV-1通过表达一种辅助蛋白Vpu来克服这种限制,Vpu可对抗束缚素。由于SIV(smm/mac)/HIV-2谱系的慢病毒没有vpu基因,这种活性可能已由其他病毒基因产物承担。我们发现,缺失SIV(mac)239 nef基因会显著损害在表达恒河猴束缚素的细胞中的病毒释放。通过反式表达Nef可恢复病毒释放。然而,在有人束缚素存在的情况下,Nef无法促进病毒释放。相反,Vpu在有人束缚素存在时增强病毒释放,但在有恒河猴束缚素存在时则不然。根据Nef在介导病毒释放方面的物种特异性,SIV Nef下调了恒河猴束缚素的细胞表面表达,但未下调人束缚素的表达。SIV Nef对恒河猴束缚素的特异性定位于该分子胞质结构域中的四个氨基酸,人束缚素中没有这些氨基酸,而Vpu对人束缚素的特异性定位于跨膜结构域中的氨基酸差异。SIV(smm)、HIV-2和HIV-1的Nef等位基因在有恒河猴和黑掌卷尾猴束缚素存在时也能够挽救病毒释放,但通常对人束缚素无效。因此,Nef拮抗这些旧世界灵长类动物束缚素的能力在灵长类慢病毒中似乎是保守的。这些结果确定Nef是SIV的病毒基因产物,它在恒河猴和黑掌卷尾猴中对抗束缚素的限制,并揭示了Nef和Vpu在克服各自宿主中的束缚素活性方面的物种特异性。

https://cdn.ncbi.nlm.nih.gov/pmc/blobs/0c9f/2673686/a14c59390a31/ppat.1000429.g001.jpg

文献AI研究员

20分钟写一篇综述,助力文献阅读效率提升50倍。

立即体验

用中文搜PubMed

大模型驱动的PubMed中文搜索引擎

马上搜索

文档翻译

学术文献翻译模型,支持多种主流文档格式。

立即体验