Suppr超能文献

在Pten基因敲除小鼠前列腺癌模型中,管腔上皮细胞层中不断积累的祖细胞是候选肿瘤起始细胞。

Accumulating progenitor cells in the luminal epithelial cell layer are candidate tumor initiating cells in a Pten knockout mouse prostate cancer model.

作者信息

Korsten Hanneke, Ziel-van der Made Angelique, Ma Xiaoqian, van der Kwast Theo, Trapman Jan

机构信息

Department of Pathology, Josephine Nefkens Institute, Erasmus MC, Rotterdam, The Netherlands.

出版信息

PLoS One. 2009 May 22;4(5):e5662. doi: 10.1371/journal.pone.0005662.

Abstract

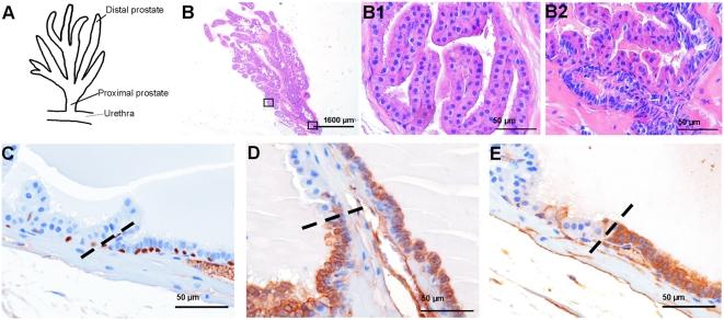
The PSA-Cre;Pten-loxP/loxP mouse prostate cancer model displays clearly defined stages of hyperplasia and cancer. Here, the initial stages of hyperplasia development are studied. Immunohistochemical staining showed that accumulated pAkt+ hyperplastic cells overexpress luminal epithelial cell marker CK8, and progenitor cell markers CK19 and Sca-1, but not basal epithelial cell markers. By expression profiling we identified novel hyperplastic cell markers, including Tacstd2 and Clu. Further we showed that at young age prostates of targeted Pten knockout mice contained in the luminal epithelial cell layer single pAkt+ cells, which overexpressed CK8, Sca-1, Tacstd2 and Clu; basal epithelial cells were always pAkt(-). Importantly, in the luminal epithelial cell layer of normal prostates we detected rare Clu+Tacstd2+Sca-1+ progenitor cells. These novel cells are candidate tumor initiating cells in Pten knockout mice. Remarkably, all luminal epithelial cells in the proximal region of normal prostates were Clu+Tacstd2+Sca-1+. However, in PSA-Cre;Pten-loxP/loxP mice, the proximal prostate does not contain hyperplastic foci. Small hyperplastic foci in prostates of PSA-Cre;Pten-loxP/+ mice found at old age, showed complete Pten inactivation and a progenitor marker profile. Finally, we present a novel model of prostate development and renewal, including lineage-specific luminal epithelial progenitor cells. It is proposed that Pten deficiency induces a shift in the balance of differentiation to proliferation in these cells.

摘要

PSA-Cre;Pten-loxP/loxP小鼠前列腺癌模型呈现出明确界定的增生和癌症阶段。在此,对增生发展的初始阶段进行了研究。免疫组织化学染色显示,积累的pAkt+增生细胞过度表达腔上皮细胞标志物CK8、祖细胞标志物CK19和Sca-1,但不表达基底上皮细胞标志物。通过表达谱分析,我们鉴定出了新的增生细胞标志物,包括Tacstd2和Clu。进一步研究表明,在年轻的靶向Pten基因敲除小鼠的前列腺中,腔上皮细胞层中含有单个pAkt+细胞,这些细胞过度表达CK8、Sca-1、Tacstd2和Clu;基底上皮细胞始终为pAkt(-)。重要的是,在正常前列腺的腔上皮细胞层中,我们检测到罕见的Clu+Tacstd2+Sca-1+祖细胞。这些新细胞是Pten基因敲除小鼠中候选的肿瘤起始细胞。值得注意的是,正常前列腺近端区域的所有腔上皮细胞均为Clu+Tacstd2+Sca-1+。然而,在PSA-Cre;Pten-loxP/loxP小鼠中,前列腺近端不含有增生灶。在老年PSA-Cre;Pten-loxP/+小鼠前列腺中发现的小增生灶显示出完全的Pten失活和祖细胞标志物谱。最后,我们提出了一种新的前列腺发育和更新模型,包括谱系特异性的腔上皮祖细胞。有人提出,Pten缺乏会导致这些细胞中分化与增殖平衡向增殖方向转变。

https://cdn.ncbi.nlm.nih.gov/pmc/blobs/968e/2680948/f7e564bbd4d8/pone.0005662.g001.jpg

文献AI研究员

20分钟写一篇综述,助力文献阅读效率提升50倍。

立即体验

用中文搜PubMed

大模型驱动的PubMed中文搜索引擎

马上搜索

文档翻译

学术文献翻译模型,支持多种主流文档格式。

立即体验