Suppr超能文献

Polo-like kinase 4 激酶活性通过自我调控其自身稳定性来限制中心体过度复制。

Polo-like kinase 4 kinase activity limits centrosome overduplication by autoregulating its own stability.

机构信息

Ludwig Institute for Cancer Research, La Jolla, CA, USA.

出版信息

J Cell Biol. 2010 Jan 25;188(2):191-8. doi: 10.1083/jcb.200911102.

Abstract

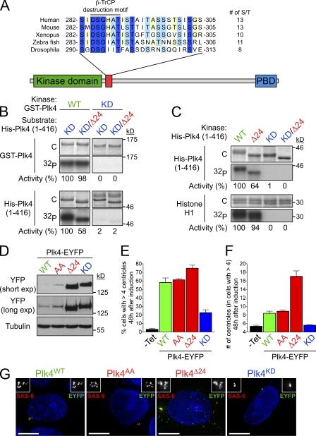
Accurate control of the number of centrosomes, the major microtubule-organizing centers of animal cells, is critical for the maintenance of genome integrity. Abnormalities in centrosome number can promote errors in spindle formation that lead to subsequent chromosome missegregation, and extra centrosomes are found in many cancers. Centrosomes are comprised of a pair of centrioles surrounded by amorphous pericentriolar material, and centrosome duplication is controlled by centriole replication. Polo-like kinase 4 (Plk4) plays a key role in initiating centriole duplication, and overexpression of Plk4 promotes centriole overduplication and the formation of extra centrosomes. Using chemical genetics, we show that kinase-active Plk4 is inherently unstable and targeted for degradation. Plk4 is shown to multiply self-phosphorylate within a 24-amino acid phosphodegron. Phosphorylation of multiple sites is required for Plk4 instability, indicating a requirement for a threshold level of Plk4 kinase activity to promote its own destruction. We propose that kinase-mediated, autoregulated instability of Plk4 self-limits Plk4 activity so as to prevent centrosome amplification.

摘要

准确控制中心体(动物细胞的主要微管组织中心)的数量对于维持基因组完整性至关重要。中心体数量异常会促进纺锤体形成错误,从而导致随后的染色体分离错误,并且许多癌症中都发现了额外的中心体。中心体由一对被无定形的中心粒周围物质包围的中心粒组成,中心体的复制受中心粒复制的控制。Polo 样激酶 4(Plk4)在启动中心粒复制中起着关键作用,Plk4 的过表达促进了中心粒过度复制和额外中心体的形成。使用化学遗传学,我们表明激酶活性的 Plk4 本质上是不稳定的,并被靶向降解。Plk4 被证明在 24 个氨基酸的磷酸降解区域内自我多次磷酸化。多个位点的磷酸化是 Plk4 不稳定性所必需的,这表明需要一定水平的 Plk4 激酶活性来促进自身的破坏。我们提出,激酶介导的 Plk4 自身不稳定通过自调控限制了 Plk4 的活性,从而防止了中心体扩增。

https://cdn.ncbi.nlm.nih.gov/pmc/blobs/b01e/2813471/98799d0431c0/JCB_200911102_RGB_Fig1.jpg

文献AI研究员

20分钟写一篇综述,助力文献阅读效率提升50倍。

立即体验

用中文搜PubMed

大模型驱动的PubMed中文搜索引擎

马上搜索

文档翻译

学术文献翻译模型,支持多种主流文档格式。

立即体验