Suppr超能文献

衰老小鼠骨骼肌中肌酸激酶的氧化修饰与聚集

Oxidative modification and aggregation of creatine kinase from aged mouse skeletal muscle.

作者信息

Nuss Jonathan E, Amaning James K, Bailey C Eric, DeFord James H, Dimayuga Vincent L, Rabek Jeffrey P, Papaconstantinou John

机构信息

Department of Biochemistry and Molecular Biology, University of Texas Medical Branch, Galveston, TX 77555-0643, USA.

出版信息

Aging (Albany NY). 2009 May 22;1(6):557-72. doi: 10.18632/aging.100055.

Abstract

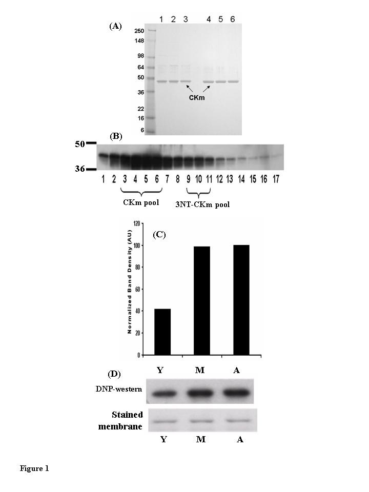
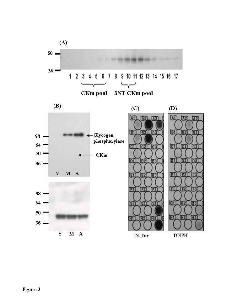
Creatine kinase catalyzes the reversible transfer of the gamma phosphate from ATP to creatine forming the high energy compound creatine phosphate. Muscle creatine kinase (CKm) activity maintains energetic homeostasis as variations in energy requirements dictate that ATP be readily available. Recent studies suggest that CKm activity is altered during aging. Proteomic analyses have shown that CKm is 3-nitrotyrosine (3-NT) modified and carbonylated in aged rodent skeletal muscle. However, it remains unknown if these modifications affect its structure and activity. To address this we characterized oxidatively modified CKm from the quadriceps of young, middle-aged, and aged mice. Our data indicate that 3-NT modified and carbonylated CKm are found predominantly in aged muscle and that it exists in high molecular weight oligomers and insoluble protein aggregates. CKm from middle-aged and aged mouse quadriceps also exhibits structural instability that may account for its reduction in function. These structural and functional changes correlate with the differential protein modifications. Interestingly, the majority of the age-related changes in enzyme activity and protein stability occurred by middle age. Our studies indicate that the age-associated oxidative and nitrative modification of CKm results in a decrease in its activity and may cause structural changes that promote oligomerization and aggregation.

摘要

肌酸激酶催化γ-磷酸从ATP可逆地转移至肌酸,形成高能化合物磷酸肌酸。肌肉肌酸激酶(CKm)活性维持能量稳态,因为能量需求的变化要求ATP随时可用。最近的研究表明,衰老过程中CKm活性会发生改变。蛋白质组学分析显示,在衰老的啮齿动物骨骼肌中,CKm会发生3-硝基酪氨酸(3-NT)修饰和羰基化。然而,这些修饰是否影响其结构和活性仍不清楚。为了解决这个问题,我们对年轻、中年和老年小鼠股四头肌中氧化修饰的CKm进行了表征。我们的数据表明,3-NT修饰和羰基化的CKm主要存在于衰老肌肉中,并且它以高分子量寡聚体和不溶性蛋白质聚集体的形式存在。中年和老年小鼠股四头肌中的CKm也表现出结构不稳定性,这可能解释了其功能的降低。这些结构和功能变化与不同的蛋白质修饰相关。有趣的是,酶活性和蛋白质稳定性的大多数与年龄相关的变化在中年时就已发生。我们的研究表明,与年龄相关的CKm氧化和硝化修饰导致其活性降低,并可能引起促进寡聚化和聚集的结构变化。

https://cdn.ncbi.nlm.nih.gov/pmc/blobs/a67c/2830079/0a01d081b010/aging-01-557-g001.jpg

文献AI研究员

20分钟写一篇综述,助力文献阅读效率提升50倍。

立即体验

用中文搜PubMed

大模型驱动的PubMed中文搜索引擎

马上搜索

文档翻译

学术文献翻译模型,支持多种主流文档格式。

立即体验