Suppr超能文献

Spadin,一种靶向啮齿动物 TREK-1 通道的 sortilin 衍生肽:抗抑郁药设计的新概念。

Spadin, a sortilin-derived peptide, targeting rodent TREK-1 channels: a new concept in the antidepressant drug design.

机构信息

Institut de Pharmacologie Moléculaire et Cellulaire, Centre National de la Recherche Scientifique (CNRS), Université de Nice Sophia Antipolis, Valbonne, France.

出版信息

PLoS Biol. 2010 Apr 13;8(4):e1000355. doi: 10.1371/journal.pbio.1000355.

Abstract

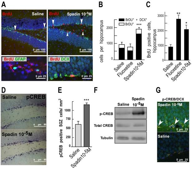
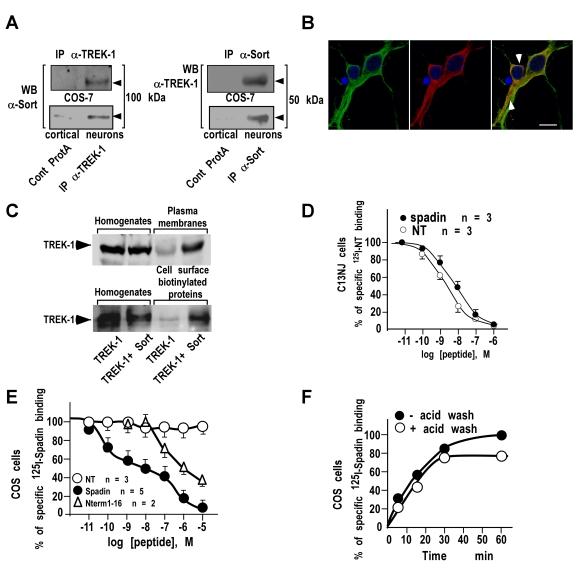
Current antidepressant treatments are inadequate for many individuals, and when they are effective, they require several weeks of administration before a therapeutic effect can be observed. Improving the treatment of depression is challenging. Recently, the two-pore domain potassium channel TREK-1 has been identified as a new target in depression, and its antagonists might become effective antidepressants. In mice, deletion of the TREK-1 gene results in a depression-resistant phenotype that mimics antidepressant treatments. Here, we validate in mice the antidepressant effects of spadin, a secreted peptide derived from the propeptide generated by the maturation of the neurotensin receptor 3 (NTSR3/Sortilin) and acting through TREK-1 inhibition. NTSR3/Sortilin interacted with the TREK-1 channel, as shown by immunoprecipitation of TREK-1 and NTSR3/Sortilin from COS-7 cells and cortical neurons co-expressing both proteins. TREK-1 and NTSR3/Sortilin were colocalized in mouse cortical neurons. Spadin bound specifically to TREK-1 with an affinity of 10 nM. Electrophysiological studies showed that spadin efficiently blocked the TREK-1 activity in COS-7 cells, cultured hippocampal pyramidal neurons, and CA3 hippocampal neurons in brain slices. Spadin also induced in vivo an increase of the 5-HT neuron firing rate in the Dorsal Raphe Nucleus. In five behavioral tests predicting an antidepressant response, spadin-treated mice showed a resistance to depression as found in TREK-1 deficient mice. More importantly, an intravenous 4-d treatment with spadin not only induced a strong antidepressant effect but also enhanced hippocampal phosphorylation of CREB protein and neurogenesis, considered to be key markers of antidepressant action after chronic treatment with selective serotonin reuptake inhibitors. This work also shows the development of a reliable method for dosing the propeptide in serum of mice by using AlphaScreen technology. These findings point out spadin as a putative antidepressant of new generation with a rapid onset of action. Spadin can be regarded as the first natural antidepressant peptide identified. It corresponds to a new concept to address the treatment of depression.

摘要

目前的抗抑郁治疗方法对许多人来说都不够有效,而且即使有效,也需要数周的时间才能观察到治疗效果。改善抑郁症的治疗方法具有挑战性。最近,双孔域钾通道 TREK-1 被确定为抑郁症的一个新靶点,其拮抗剂可能成为有效的抗抑郁药。在小鼠中,TREK-1 基因缺失会导致一种具有抗抑郁作用的表型,这种表型类似于抗抑郁治疗。在这里,我们通过对一种从神经降压素受体 3(NTSR3/Sortilin)成熟过程中产生的前肽衍生的分泌肽 spadin 在小鼠中的抗抑郁作用进行验证,该肽通过抑制 TREK-1 起作用。NTSR3/Sortilin 与 TREK-1 通道相互作用,这可以通过 COS-7 细胞和共表达两种蛋白的皮质神经元中 TREK-1 和 NTSR3/Sortilin 的免疫沉淀来证明。TREK-1 和 NTSR3/Sortilin 在小鼠皮质神经元中存在共定位。Spadin 与 TREK-1 的亲和力为 10 nM。电生理研究表明,spadin 可有效地阻断 COS-7 细胞、培养的海马锥体神经元和脑片 CA3 海马神经元中的 TREK-1 活性。Spadin 还在体内诱导中缝背核 5-HT 神经元放电频率增加。在五项预测抗抑郁反应的行为测试中,接受 spadin 治疗的小鼠表现出对 TREK-1 缺陷小鼠所发现的抑郁的抵抗。更重要的是,静脉内 4 天治疗 spadin 不仅诱导出强烈的抗抑郁作用,而且增强了海马 CREB 蛋白的磷酸化和神经发生,这被认为是慢性使用选择性 5-羟色胺再摄取抑制剂治疗后的抗抑郁作用的关键标志物。这项工作还展示了一种使用 AlphaScreen 技术在小鼠血清中定量前肽的可靠方法。这些发现指出 spadin 是一种具有快速作用的新型潜在抗抑郁药。Spadin 可以被认为是第一个被识别的天然抗抑郁肽。它对应于一种新的概念,可以用来解决抑郁症的治疗问题。

https://cdn.ncbi.nlm.nih.gov/pmc/blobs/eea6/2854129/645770fe2f0c/pbio.1000355.g001.jpg

文献AI研究员

20分钟写一篇综述,助力文献阅读效率提升50倍。

立即体验

用中文搜PubMed

大模型驱动的PubMed中文搜索引擎

马上搜索

文档翻译

学术文献翻译模型,支持多种主流文档格式。

立即体验