Suppr超能文献

低剂量电离辐射通过促进血管生成促进肿瘤生长和转移。

Low doses of ionizing radiation promote tumor growth and metastasis by enhancing angiogenesis.

机构信息

Angiogenesis Unit, Instituto de Medicina Molecular, Faculdade de Medicina da Universidade de Lisboa, Lisbon, Portugal.

出版信息

PLoS One. 2010 Jun 21;5(6):e11222. doi: 10.1371/journal.pone.0011222.

Abstract

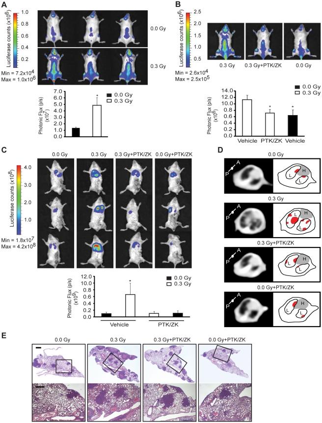
Radiotherapy is a widely used treatment option in cancer. However, recent evidence suggests that doses of ionizing radiation (IR) delivered inside the tumor target volume, during fractionated radiotherapy, can promote tumor invasion and metastasis. Furthermore, the tissues that surround the tumor area are also exposed to low doses of IR that are lower than those delivered inside the tumor mass, because external radiotherapy is delivered to the tumor through multiple radiation beams, in order to prevent damage of organs at risk. The biological effects of these low doses of IR on the healthy tissue surrounding the tumor area, and in particular on the vasculature remain largely to be determined. We found that doses of IR lower or equal to 0.8 Gy enhance endothelial cell migration without impinging on cell proliferation or survival. Moreover, we show that low-dose IR induces a rapid phosphorylation of several endothelial cell proteins, including the Vascular Endothelial Growth Factor (VEGF) Receptor-2 and induces VEGF production in hypoxia mimicking conditions. By activating the VEGF Receptor-2, low-dose IR enhances endothelial cell migration and prevents endothelial cell death promoted by an anti-angiogenic drug, bevacizumab. In addition, we observed that low-dose IR accelerates embryonic angiogenic sprouting during zebrafish development and promotes adult angiogenesis during zebrafish fin regeneration and in the murine Matrigel assay. Using murine experimental models of leukemia and orthotopic breast cancer, we show that low-dose IR promotes tumor growth and metastasis and that these effects were prevented by the administration of a VEGF receptor-tyrosine kinase inhibitor immediately before IR exposure. These findings demonstrate a new mechanism to the understanding of the potential pro-metastatic effect of IR and may provide a new rationale basis to the improvement of current radiotherapy protocols.

摘要

放疗是癌症治疗的一种广泛应用的选择。然而,最近的证据表明,在分次放疗中,肿瘤靶区内部给予的离子辐射(IR)剂量会促进肿瘤侵袭和转移。此外,肿瘤区域周围的组织也会受到低于肿瘤内给予剂量的低剂量 IR 照射,因为外部放疗是通过多个放射束递送至肿瘤,以防止危及器官的损伤。这些低剂量 IR 对肿瘤区域周围健康组织的生物学效应,特别是对血管系统的影响,在很大程度上仍有待确定。我们发现,剂量低于或等于 0.8Gy 的 IR 增强了内皮细胞迁移,而不会影响细胞增殖或存活。此外,我们表明,低剂量 IR 会迅速诱导几种内皮细胞蛋白的磷酸化,包括血管内皮生长因子(VEGF)受体-2,并在模拟缺氧的条件下诱导 VEGF 的产生。通过激活 VEGF 受体-2,低剂量 IR 增强了内皮细胞迁移,并防止抗血管生成药物bevacizumab 诱导的内皮细胞死亡。此外,我们观察到低剂量 IR 加速了斑马鱼发育过程中的胚胎血管生成发芽,并促进了斑马鱼鳍再生和小鼠 Matrigel 测定中的成年血管生成。使用白血病和原位乳腺癌的小鼠实验模型,我们表明低剂量 IR 促进了肿瘤的生长和转移,并且这些效应可以通过在 IR 暴露前给予 VEGF 受体酪氨酸激酶抑制剂来预防。这些发现为理解 IR 的潜在促转移效应提供了一个新的机制,并可能为改进当前放疗方案提供新的理论基础。

https://cdn.ncbi.nlm.nih.gov/pmc/blobs/8ba0/2888592/b52458cb17f5/pone.0011222.g001.jpg

文献AI研究员

20分钟写一篇综述,助力文献阅读效率提升50倍。

立即体验

用中文搜PubMed

大模型驱动的PubMed中文搜索引擎

马上搜索

文档翻译

学术文献翻译模型,支持多种主流文档格式。

立即体验