Suppr超能文献

结直肠癌中假定的癌症干细胞标志物 CD133、CD166、CD44s、EpCAM 和 ALDH1 的表达对预后的影响。

Prognostic impact of the expression of putative cancer stem cell markers CD133, CD166, CD44s, EpCAM, and ALDH1 in colorectal cancer.

机构信息

Institute of Pathology, University of Basel, Basel, Switzerland.

出版信息

Br J Cancer. 2010 Jul 27;103(3):382-90. doi: 10.1038/sj.bjc.6605762. Epub 2010 Jul 6.

Abstract

BACKGROUND

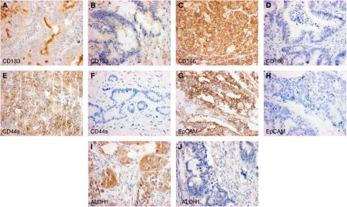
The aim of this study was to elucidate the prognostic impact of putative cancer stem cell markers CD133, CD166, CD44s, EpCAM, and aldehyde dehydrogenase-1 (ALDH1) in colorectal cancer.

METHODS

A tissue microarray of 1420 primary colorectal cancers and 57 normal mucosa samples was immunostained for CD133, CD166, CD44s, EpCAM, and ALDH1 in addition to 101 corresponding whole tissue sections. Invasive potential of three colorectal cancer cell lines was tested.

RESULTS

Differences between normal tissue and cancer were observed for all markers (P<0.001). Loss of membranous CD166 and CD44s were linked to higher pT (P=0.002, P=0.014), pN (P=0.004, P=0.002), an infiltrating growth pattern (P<0.001, P=0.002), and worse survival (P=0.015, P=0.019) in univariate analysis only. Loss of membranous EpCAM expression was also linked to higher pN (P=0.023) and infiltrating growth pattern (P=0.005). The CD44s, CD166, and EpCAM expression were lost towards the invasive front. The CD44-/CD166- cells from three colorectal cancer cell lines exhibited significantly higher invasive potential in vitro than their positive counterparts.

CONCLUSIONS

Loss, rather than overexpression, of membranous CD44s, CD166, and EpCAM is linked to tumour progression. This supports the notion that the membranous evaluation of these proteins assessed by immunohistochemistry may be representative of their cell adhesion rather than their intra-cellular functions.

摘要

背景

本研究旨在阐明 CD133、CD166、CD44s、EpCAM 和醛脱氢酶-1(ALDH1)等潜在肿瘤干细胞标志物在结直肠癌中的预后影响。

方法

采用免疫组织化学方法对 1420 例原发性结直肠癌和 57 例正常黏膜组织的组织微阵列进行 CD133、CD166、CD44s、EpCAM 和 ALDH1 染色,并对 101 例相应的全组织切片进行染色。测试了三种结直肠癌细胞系的侵袭潜力。

结果

所有标志物在正常组织和癌症组织之间均存在差异(P<0.001)。膜性 CD166 和 CD44s 的丢失与更高的 pT(P=0.002,P=0.014)、pN(P=0.004,P=0.002)、浸润性生长模式(P<0.001,P=0.015)和更差的生存相关仅在单因素分析中。膜性 EpCAM 表达的丢失也与更高的 pN(P=0.023)和浸润性生长模式(P=0.005)相关。CD44s、CD166 和 EpCAM 的表达在向侵袭前沿丢失。来自三种结直肠癌细胞系的 CD44-/CD166-细胞在体外表现出显著更高的侵袭潜力。

结论

膜性 CD44s、CD166 和 EpCAM 的丢失而不是过表达与肿瘤进展相关。这支持了这样一种观点,即通过免疫组织化学评估这些蛋白质的膜性表达可能代表它们的细胞黏附,而不是它们的细胞内功能。

https://cdn.ncbi.nlm.nih.gov/pmc/blobs/24d0/2920016/c36c577e8707/6605762f1.jpg

文献AI研究员

20分钟写一篇综述,助力文献阅读效率提升50倍。

立即体验

用中文搜PubMed

大模型驱动的PubMed中文搜索引擎

马上搜索

文档翻译

学术文献翻译模型,支持多种主流文档格式。

立即体验