Suppr超能文献

家蚕多核型多角体病毒基因组片段 1 和 3 编码的两个衣壳蛋白的分子特征。

Molecular characterization of genome segments 1 and 3 encoding two capsid proteins of Antheraea mylitta cytoplasmic polyhedrosis virus.

机构信息

Department of Biotechnology, Indian Institute of Technology Kharagpur, Kharagpur, West Bengal, India.

出版信息

Virol J. 2010 Aug 4;7:181. doi: 10.1186/1743-422X-7-181.

Abstract

BACKGROUND

Antheraea mylitta cytoplasmic polyhedrosis virus (AmCPV), a cypovirus of Reoviridae family, infects Indian non-mulberry silkworm, Antheraea mylitta, and contains 11 segmented double stranded RNA (S1-S11) in its genome. Some of its genome segments (S2 and S6-S11) have been previously characterized but genome segments encoding viral capsid have not been characterized.

RESULTS

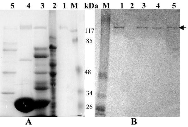
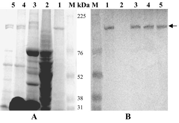
In this study genome segments 1 (S1) and 3 (S3) of AmCPV were converted to cDNA, cloned and sequenced. S1 consisted of 3852 nucleotides, with one long ORF of 3735 nucleotides and could encode a protein of 1245 amino acids with molecular mass of approximately 141 kDa. Similarly, S3 consisted of 3784 nucleotides having a long ORF of 3630 nucleotides and could encode a protein of 1210 amino acids with molecular mass of approximately 137 kDa. BLAST analysis showed 20-22% homology of S1 and S3 sequence with spike and capsid proteins, respectively, of other closely related cypoviruses like Bombyx mori CPV (BmCPV), Lymantria dispar CPV (LdCPV), and Dendrolimus punctatus CPV (DpCPV). The ORFs of S1 and S3 were expressed as 141 kDa and 137 kDa insoluble His-tagged fusion proteins, respectively, in Escherichia coli M15 cells via pQE-30 vector, purified through Ni-NTA chromatography and polyclonal antibodies were raised. Immunoblot analysis of purified polyhedra, virion particles and virus infected mid-gut cells with the raised anti-p137 and anti-p141 antibodies showed specific immunoreactive bands and suggest that S1 and S3 may code for viral structural proteins. Expression of S1 and S3 ORFs in insect cells via baculovirus recombinants showed to produce viral like particles (VLPs) by transmission electron microscopy. Immunogold staining showed that S3 encoded proteins self assembled to form viral outer capsid and VLPs maintained their stability at different pH in presence of S1 encoded protein.

CONCLUSION

Our results of cloning, sequencing and functional analysis of AmCPV S1 and S3 indicate that S3 encoded viral structural proteins can self assemble to form viral outer capsid and S1 encoded protein remains associated with it as inner capsid to maintain the stability. Further studies will help to understand the molecular mechanism of capsid formation during cypovirus replication.

摘要

背景

野桑蚕质型多角体病毒(AmCPV)是呼肠孤病毒科的质型多角体病毒,感染印度非桑蚕野桑蚕,基因组中含有 11 个分段双链 RNA(S1-S11)。其部分基因组片段(S2 和 S6-S11)已被鉴定,但编码病毒衣壳的基因组片段尚未被鉴定。

结果

本研究将野桑蚕质型多角体病毒的基因组片段 1(S1)和 3(S3)转化为 cDNA,进行克隆和测序。S1 由 3852 个核苷酸组成,具有一个长的 ORF(3735 个核苷酸),可编码 1245 个氨基酸的蛋白质,分子量约为 141kDa。同样,S3 由 3784 个核苷酸组成,具有一个长的 ORF(3630 个核苷酸),可编码 1210 个氨基酸的蛋白质,分子量约为 137kDa。BLAST 分析显示,S1 和 S3 序列与其他密切相关的质型多角体病毒(如家蚕质型多角体病毒(BmCPV)、舞毒蛾质型多角体病毒(LdCPV)和马尾松毛虫质型多角体病毒(DpCPV)的刺突和衣壳蛋白分别具有 20-22%的同源性。通过 pQE-30 载体在大肠杆菌 M15 细胞中表达 S1 和 S3 的 ORF,分别表达为不溶性 His 标记融合蛋白 141kDa 和 137kDa,通过 Ni-NTA 层析纯化,并制备多克隆抗体。用制备的抗 p137 和抗 p141 抗体对纯化的多角体、病毒粒子和病毒感染的中肠细胞进行免疫印迹分析,显示出特异性的免疫反应条带,表明 S1 和 S3 可能编码病毒结构蛋白。通过杆状病毒重组体在昆虫细胞中表达 S1 和 S3 的 ORF,通过透射电子显微镜显示产生病毒样颗粒(VLPs)。免疫金染色显示,S3 编码的蛋白自我组装形成病毒外壳,VLPs 在 S1 编码蛋白存在的情况下,在不同 pH 值下保持稳定。

结论

我们对野桑蚕质型多角体病毒 S1 和 S3 的克隆、测序和功能分析结果表明,S3 编码的病毒结构蛋白可以自我组装形成病毒外壳,而 S1 编码的蛋白作为内壳与之结合以保持其稳定性。进一步的研究将有助于了解质型多角体病毒复制过程中衣壳形成的分子机制。

https://cdn.ncbi.nlm.nih.gov/pmc/blobs/4770/2927528/8a7c90e44c9e/1743-422X-7-181-1.jpg

文献AI研究员

20分钟写一篇综述,助力文献阅读效率提升50倍。

立即体验

用中文搜PubMed

大模型驱动的PubMed中文搜索引擎

马上搜索

文档翻译

学术文献翻译模型,支持多种主流文档格式。

立即体验