Suppr超能文献

腺相关病毒载体静水隔离肢体灌注增强庞贝病骨骼肌的矫正。

Hydrostatic isolated limb perfusion with adeno-associated virus vectors enhances correction of skeletal muscle in Pompe disease.

机构信息

Division of Medical Genetics, Department of Pediatrics, Duke University Medical Center, Durham, NC 27710, USA.

出版信息

Gene Ther. 2010 Dec;17(12):1500-5. doi: 10.1038/gt.2010.109. Epub 2010 Aug 5.

Abstract

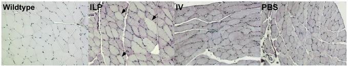
Glycogen storage disease type II (Pompe disease; MIM 232300) stems from the inherited deficiency of acid-α-glucosidase (GAA; acid maltase; EC 3.2.1.20), which primarily involves cardiac and skeletal muscles. We hypothesized that hydrostatic isolated limb perfusion (ILP) administration of an adeno-associated virus (AAV) vector containing a muscle-specific promoter could achieve relatively higher transgene expression in the hindlimb muscles of GAA-knockout (GAA-KO) mice, in comparison with intravenous (IV) administration. ILP administration of AAV2/8 vectors encoding alkaline phosphatase or human GAA-transduced skeletal muscles of the hindlimb widely, despite the relatively low number of vector particles administered (1 × 10¹¹), and IV administration of an equivalent vector dose failed to transduce skeletal muscle detectably. Similarly, ILP administration of fewer vector particles of the AAV2/9 vector encoding human GAA (3 × 10¹⁰) transduced skeletal muscles of the hindlimb widely and significantly reduced glycogen content to, in comparison with IV administration. The only advantage for IV administration was moderately high-level transduction of cardiac muscle, which demonstrated compellingly that ILP administration sequestered vector particles within the perfused limb. Reduction of glycogen storage in the extensor digitorum longus demonstrated the potential advantage of ILP-mediated delivery of AAV vectors in Pompe disease, because type II myofibers are resistant to enzyme replacement therapy. Thus, ILP will enhance AAV transduction of multiple skeletal muscles while reducing the required dosages in terms of vector particle numbers.

摘要

糖原贮积病 II 型(庞贝病;MIM 232300)源于酸性-α-葡萄糖苷酶(GAA;酸性麦芽糖酶;EC 3.2.1.20)的遗传性缺乏,主要涉及心脏和骨骼肌。我们假设,含有肌肉特异性启动子的腺相关病毒(AAV)载体的静水孤立肢体灌注(ILP)给药可以在 GAA 敲除(GAA-KO)小鼠的后肢肌肉中实现相对较高的转基因表达,与静脉内(IV)给药相比。ILP 给药的 AAV2/8 载体编码碱性磷酸酶或人类 GAA 转导的后肢骨骼肌广泛,尽管给予的载体粒子数量相对较少(1×10¹¹),并且给予相当的载体剂量的 IV 给药未能可检测地转导骨骼肌。同样,ILP 给药的 AAV2/9 载体编码人类 GAA 的载体粒子较少(3×10¹⁰)也广泛地转导后肢骨骼肌,并显著降低与 IV 给药相比的糖原含量。IV 给药的唯一优势是心脏肌肉的中等高水平转导,这有力地证明了 ILP 给药将载体粒子隔离在灌注肢体中。比目鱼肌的糖原储存减少表明 ILP 介导的 AAV 载体在庞贝病中的潜在优势,因为 II 型肌纤维对酶替代治疗有抗性。因此,ILP 将增强 AAV 对多种骨骼肌的转导,同时减少载体粒子数量方面所需的剂量。

https://cdn.ncbi.nlm.nih.gov/pmc/blobs/ffc0/2988075/1cc44b750d07/nihms213293f2.jpg

文献AI研究员

20分钟写一篇综述,助力文献阅读效率提升50倍。

立即体验

用中文搜PubMed

大模型驱动的PubMed中文搜索引擎

马上搜索

文档翻译

学术文献翻译模型,支持多种主流文档格式。

立即体验