Suppr超能文献

在新生儿窒息脑片模型中,对氧糖剥夺进行亚低温治疗后,通过1H/31P核磁共振得出的与结果相关的代谢组学模式。

Outcome-related metabolomic patterns from 1H/31P NMR after mild hypothermia treatments of oxygen-glucose deprivation in a neonatal brain slice model of asphyxia.

作者信息

Liu Jia, Litt Lawrence, Segal Mark R, Kelly Mark J S, Yoshihara Hikari A I, James Thomas L

机构信息

Department of Anesthesia, University of California, San Francisco, California 94143-0648, USA.

出版信息

J Cereb Blood Flow Metab. 2011 Feb;31(2):547-59. doi: 10.1038/jcbfm.2010.125. Epub 2010 Aug 18.

Abstract

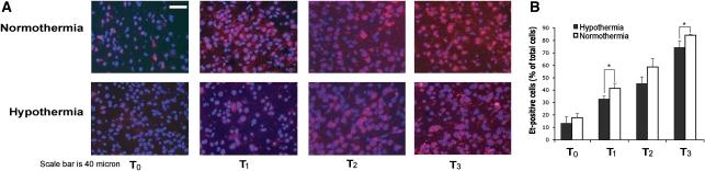
Human clinical trials using 72 hours of mild hypothermia (32°C-34°C) after neonatal asphyxia have found substantially improved neurologic outcomes. As temperature changes differently modulate numerous metabolite fluxes and concentrations, we hypothesized that (1)H/(31)P nuclear magnetic resonance (NMR) spectroscopy of intracellular metabolites can distinguish different insults, treatments, and recovery stages. Three groups of superfused neonatal rat brain slices underwent 45 minutes oxygen-glucose deprivation (OGD) and then were: treated for 3 hours with mild hypothermia (32°C) that began with OGD, or similarly treated with hypothermia after a 15-minute delay, or not treated (normothermic control group, 37°C). Hypothermia was followed by 3 hours of normothermic recovery. Slices collected at different predetermined times were processed, respectively, for 14.1 Tesla NMR analysis, enzyme-linked immunosorbent assay (ELISA) cell-death quantification, and superoxide production. Forty-nine NMR-observable metabolites underwent a multivariate analysis. Separated clustering in scores plots was found for treatment and outcome groups. Final ATP (adenosine triphosphate) levels, severely decreased at normothermia, were restored equally by immediate and delayed hypothermia. Cell death was decreased by immediate hypothermia, but was equally substantially greater with normothermia and delayed hypothermia. Potentially important biomarkers in the (1)H spectra included PCr-(1)H (phosphocreatine in the (1)H spectrum), ATP-(1)H (adenosine triphosphate in the (1)H spectrum), and ADP-(1)H (adenosine diphosphate in the (1)H spectrum). The findings suggest a potential role for metabolomic monitoring during therapeutic hypothermia.

摘要

在新生儿窒息后采用72小时轻度低温(32°C - 34°C)的人体临床试验发现,神经学预后有显著改善。由于温度变化会以不同方式调节众多代谢物通量和浓度,我们推测细胞内代谢物的氢-31磷核磁共振(NMR)光谱能够区分不同的损伤、治疗方法和恢复阶段。三组经体外灌流的新生大鼠脑片经历45分钟氧糖剥夺(OGD),然后分别进行以下处理:在OGD开始时用轻度低温(32°C)处理3小时,或在延迟15分钟后进行类似的低温处理,或不进行处理(正常体温对照组,37°C)。低温处理后进行3小时的正常体温恢复。在不同预定时间收集的脑片分别进行处理,用于14.1特斯拉NMR分析、酶联免疫吸附测定(ELISA)细胞死亡定量分析和超氧化物生成分析。对49种可通过NMR观察到的代谢物进行多变量分析。在得分图中发现治疗组和结果组有明显的聚类分离。在正常体温下严重降低的最终三磷酸腺苷(ATP)水平,通过即刻和延迟低温处理均能同等程度地恢复。即刻低温处理可减少细胞死亡,但正常体温组和延迟低温处理组的细胞死亡同样显著增加。氢谱中潜在的重要生物标志物包括磷肌酸氢(氢谱中的磷肌酸)、三磷酸腺苷氢(氢谱中的三磷酸腺苷)和二磷酸腺苷氢(氢谱中的二磷酸腺苷)。这些发现表明代谢组学监测在治疗性低温期间可能发挥作用。

https://cdn.ncbi.nlm.nih.gov/pmc/blobs/d254/3049510/9852a1c0139f/jcbfm2010125f1.jpg

文献AI研究员

20分钟写一篇综述,助力文献阅读效率提升50倍。

立即体验

用中文搜PubMed

大模型驱动的PubMed中文搜索引擎

马上搜索

文档翻译

学术文献翻译模型,支持多种主流文档格式。

立即体验