Suppr超能文献

与激活的 C 激酶 1(RACK1)受体的相互作用使磷酸二酯酶 PDE4D5 对 cAMP 的水解和蛋白激酶 C 的激活敏感。

Interaction with receptor for activated C-kinase 1 (RACK1) sensitizes the phosphodiesterase PDE4D5 towards hydrolysis of cAMP and activation by protein kinase C.

机构信息

Institute of Molecular Cell and Systems Biology, University of Glasgow, Scotland, UK.

出版信息

Biochem J. 2010 Nov 15;432(1):207-16. doi: 10.1042/BJ20101010.

Abstract

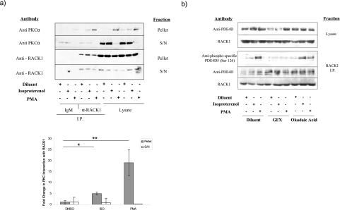
We have previously identified the PKC (protein kinase C)-anchoring protein RACK1 (receptor for activated C-kinase 1), as a specific binding partner for the cAMP-specific phosphodiesterase PDE4D5, suggesting a potential site for cross-talk between the PKC and cAMP signalling pathways. In the present study we found that elevation of intracellular cAMP, with the β₂-adrenoceptor agonist isoproterenol (isoprenaline), led to activation of PDE4 enzymes in the particulate and soluble fractions of HEK (human embryonic kidney)-293 cells. In contrast activation of PDE4D5, with isoproterenol and the PKC activator PMA, was restricted to the particulate fraction, where it interacts with RACK1; however, RACK1 is dispensable for anchoring PDE4D5 to the particulate fraction. Kinetic studies demonstrated that RACK1 alters the conformation of particulate-associated PDE4D5 so that it more readily interacts with its substrate cAMP and with rolipram, a PDE4 inhibitor that specifically targets the active site of the enzyme. Interaction with RACK1 was also essential for PKC-dependent and ERK (extracellular-signal-regulated kinase)-independent phosphorylation (on Ser¹²⁶), and activation of PDE4D5 in response to PMA and isoproterenol, both of which trigger the recruitment of PKCα to RACK1. Together these results reveal novel signalling cross-talk, whereby RACK1 mediates PKC-dependent activation of PDE4D5 in the particulate fraction of HEK-293 cells in response to elevations in intracellular cAMP.

摘要

我们之前已经鉴定出蛋白激酶 C(protein kinase C)锚定蛋白 RACK1(激活 C 激酶 1 的受体)是 cAMP 特异性磷酸二酯酶 PDE4D5 的特定结合伴侣,这表明 PKC 和 cAMP 信号通路之间存在潜在的串扰位点。在本研究中,我们发现细胞内 cAMP 的升高,通过β₂-肾上腺素受体激动剂异丙肾上腺素(isoprenaline),导致 HEK(人胚胎肾)-293 细胞的颗粒和可溶性部分的 PDE4 酶的激活。相比之下,PDE4D5 的激活,与异丙肾上腺素和 PKC 激活剂 PMA 一起,仅限于颗粒部分,在那里它与 RACK1 相互作用;然而,RACK1 对于将 PDE4D5 锚定到颗粒部分是可有可无的。动力学研究表明,RACK1 改变了颗粒相关 PDE4D5 的构象,使其更容易与底物 cAMP 相互作用,以及 rolipram,一种特异性针对酶活性位点的 PDE4 抑制剂。与 RACK1 的相互作用对于 PKC 依赖性和 ERK(细胞外信号调节激酶)非依赖性磷酸化(Ser¹²⁶)以及对 PMA 和异丙肾上腺素的反应中 PDE4D5 的激活也是必不可少的,这两者都触发了 PKCα 向 RACK1 的募集。这些结果共同揭示了新的信号转导串扰,其中 RACK1 介导了细胞内 cAMP 升高时 HEK-293 细胞颗粒部分中 PDE4D5 的 PKC 依赖性激活。

https://cdn.ncbi.nlm.nih.gov/pmc/blobs/dcb4/2973232/2332f5fd4924/bic643i001.jpg

文献AI研究员

20分钟写一篇综述,助力文献阅读效率提升50倍。

立即体验

用中文搜PubMed

大模型驱动的PubMed中文搜索引擎

马上搜索

文档翻译

学术文献翻译模型,支持多种主流文档格式。

立即体验