Suppr超能文献

鳞翅目传粉媒介中的 RNA 病毒:花粉介导的种间病毒传播证据及其对非西方蜜蜂属膜翅目物种的潜在影响。

RNA viruses in hymenopteran pollinators: evidence of inter-Taxa virus transmission via pollen and potential impact on non-Apis hymenopteran species.

机构信息

Department of Entomology, The Pennsylvania State University, Pennsylvania, United States of America.

出版信息

PLoS One. 2010 Dec 22;5(12):e14357. doi: 10.1371/journal.pone.0014357.

Abstract

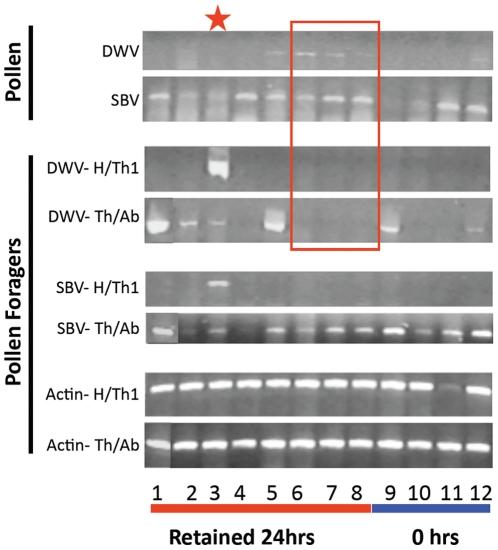
Although overall pollinator populations have declined over the last couple of decades, the honey bee (Apis mellifera) malady, colony collapse disorder (CCD), has caused major concern in the agricultural community. Among honey bee pathogens, RNA viruses are emerging as a serious threat and are suspected as major contributors to CCD. Recent detection of these viral species in bumble bees suggests a possible wider environmental spread of these viruses with potential broader impact. It is therefore vital to study the ecology and epidemiology of these viruses in the hymenopteran pollinator community as a whole. We studied the viral distribution in honey bees, in their pollen loads, and in other non-Apis hymenopteran pollinators collected from flowering plants in Pennsylvania, New York, and Illinois in the United States. Viruses in the samples were detected using reverse transcriptase-PCR and confirmed by sequencing. For the first time, we report the molecular detection of picorna-like RNA viruses (deformed wing virus, sacbrood virus and black queen cell virus) in pollen pellets collected directly from forager bees. Pollen pellets from several uninfected forager bees were detected with virus, indicating that pollen itself may harbor viruses. The viruses in the pollen and honey stored in the hive were demonstrated to be infective, with the queen becoming infected and laying infected eggs after these virus-contaminated foods were given to virus-free colonies. These viruses were detected in eleven other non-Apis hymenopteran species, ranging from many solitary bees to bumble bees and wasps. This finding further expands the viral host range and implies a possible deeper impact on the health of our ecosystem. Phylogenetic analyses support that these viruses are disseminating freely among the pollinators via the flower pollen itself. Notably, in cases where honey bee apiaries affected by CCD harbored honey bees with Israeli Acute Paralysis virus (IAPV), nearby non-Apis hymenopteran pollinators also had IAPV, while those near apiaries without IAPV did not. In containment greenhouse experiments, IAPV moved from infected honey bees to bumble bees and from infected bumble bees to honey bees within a week, demonstrating that the viruses could be transmitted from one species to another. This study adds to our present understanding of virus epidemiology and may help explain bee disease patterns and pollinator population decline in general.

摘要

尽管过去几十年间,总体上授粉媒介的数量有所减少,但蜜蜂(Apis mellifera)疾病——蜂群崩溃失调症(CCD)——仍引起了农业界的极大关注。在蜜蜂病原体中,RNA 病毒正成为一种严重威胁,被怀疑是 CCD 的主要致病因素。最近在大黄蜂中检测到这些病毒表明,这些病毒可能在更广泛的环境中传播,并可能产生更广泛的影响。因此,研究整个膜翅目授粉媒介群落中的这些病毒的生态学和流行病学至关重要。我们研究了在美国宾夕法尼亚州、纽约州和伊利诺伊州开花植物上采集的蜜蜂、其花粉负荷以及其他非 Apis 膜翅目授粉媒介中的病毒分布情况。使用逆转录酶 PCR 检测样本中的病毒,并通过测序进行确认。我们首次报道了从采集的觅食蜂的花粉粒中直接检测到类微小 RNA 病毒(变形翅膀病毒、 sacbrood 病毒和黑皇后细胞病毒)的分子检测。从几个未受感染的觅食蜂的花粉粒中检测到了病毒,这表明花粉本身可能携带病毒。在蜂巢中储存的花粉和蜂蜜中的病毒被证明具有感染力,当这些受病毒污染的食物被喂给无病毒的蜂群时,蜂王会被感染并产下受感染的卵。在另外 11 种非 Apis 膜翅目物种中也检测到了这些病毒,这些物种范围从许多独居蜜蜂到大黄蜂和胡蜂。这一发现进一步扩大了病毒的宿主范围,并暗示对我们生态系统的健康可能产生更深远的影响。系统发育分析支持这些病毒通过花本身的花粉在授粉媒介中自由传播。值得注意的是,在受 CCD 影响的蜜蜂养殖场中发现以色列急性麻痹病毒(IAPV)的情况下,附近的非 Apis 膜翅目授粉媒介也携带 IAPV,而在没有 IAPV 的养殖场附近则没有。在封闭温室实验中,IAPV 在一周内从受感染的蜜蜂传播到大黄蜂,再从受感染的大黄蜂传播到蜜蜂,这表明病毒可以从一种物种传播到另一种物种。这项研究增加了我们对病毒流行病学的现有认识,并可能有助于解释蜜蜂疾病模式和授粉媒介数量总体减少的原因。

https://cdn.ncbi.nlm.nih.gov/pmc/blobs/c63e/3008715/b3ac578614a4/pone.0014357.g001.jpg

文献AI研究员

20分钟写一篇综述,助力文献阅读效率提升50倍。

立即体验

用中文搜PubMed

大模型驱动的PubMed中文搜索引擎

马上搜索

文档翻译

学术文献翻译模型,支持多种主流文档格式。

立即体验