Suppr超能文献

橄榄油可有效减轻去卵巢大鼠的骨质疏松症。

Olive oil effectively mitigates ovariectomy-induced osteoporosis in rats.

机构信息

Faculty of Medicine, Ain Shams University, Physiology Department, Egypt.

出版信息

BMC Complement Altern Med. 2011 Feb 4;11:10. doi: 10.1186/1472-6882-11-10.

Abstract

BACKGROUND

Osteoporosis, a reduction in bone mineral density, represents the most common metabolic bone disease. Postmenopausal women are particularly susceptible to osteoporosis when their production of estrogen declines. For these women, fracture is a leading cause of morbidity and mortality. This study was conducted to evaluate the protective effects of olive oil supplementation against osteoporosis in ovariectomized (OVX) rats.

METHODS

We studied adult female Wistar rats aged 12-14 months, divided into three groups: sham-operated control (SHAM), ovariectomized (OVX), and ovariectomized rats supplemented with extravirgin olive oil (Olive-OVX) orally for 12 weeks; 4 weeks before ovariectomy and 8 weeks after. At the end of the experiment, blood samples were collected. Plasma levels of calcium, phosphorus, alkaline phosphatase (ALP), malondialdehyde (MDA), and nitrates were assayed. Specimens from both the tibia and the liver were processed for light microscopic examination. Histomorphometric analysis of the tibia was also performed.

RESULTS

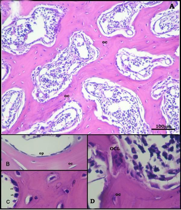
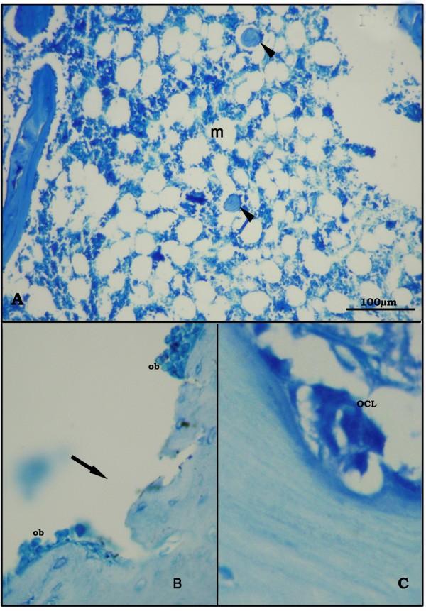
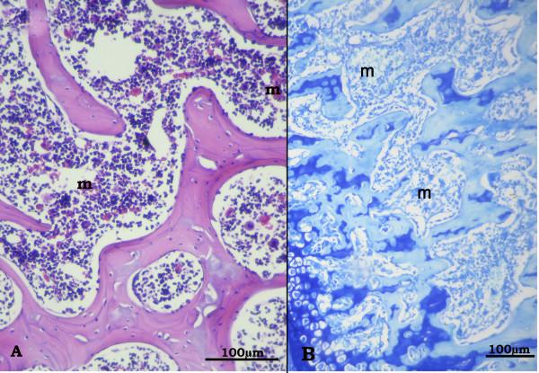
The OVX-rats showed a significant decrease in plasma calcium levels, and a significant increase in plasma ALP, MDA, and nitrates levels. These changes were attenuated by olive oil supplementation in the Olive-OVX rats. Light microscopic examination of the tibia of the OVX rats revealed a significant decrease in the cortical bone thickness (CBT) and the trabecular bone thickness (TBT). In addition, there was a significant increase in the osteoclast number denoting bone resorption. In the Olive-OVX rats these parameters were markedly improved as compared to the OVX group. Examination of the liver specimens revealed mononuclear cellular infiltration in the portal areas in the OVX-rats which was not detected in the Olive-OVX rats.

CONCLUSIONS

Olive oil effectively mitigated ovariectomy-induced osteoporosis in rats, and is a promising candidate for the treatment of postmenopausal osteoporosis.

摘要

背景

骨质疏松症是一种骨矿物质密度降低的疾病,是最常见的代谢性骨病。绝经后妇女由于雌激素分泌减少,特别容易患骨质疏松症。对于这些女性来说,骨折是发病率和死亡率的主要原因。本研究旨在评估橄榄油补充剂对去卵巢大鼠骨质疏松症的保护作用。

方法

我们研究了 12-14 个月大的成年雌性 Wistar 大鼠,分为三组:假手术对照组(SHAM)、去卵巢组(OVX)和口服特级初榨橄榄油补充剂的去卵巢组(Olive-OVX),共 12 周;在去卵巢前 4 周和去卵巢后 8 周进行补充。实验结束时,采集血样。测定血浆钙、磷、碱性磷酸酶(ALP)、丙二醛(MDA)和硝酸盐水平。对胫骨和肝脏标本进行光镜检查。还对胫骨进行了组织形态计量学分析。

结果

OVX 大鼠的血浆钙水平显著降低,血浆 ALP、MDA 和硝酸盐水平显著升高。橄榄油补充剂可减轻 Olive-OVX 大鼠的这些变化。OVX 大鼠胫骨光镜检查显示皮质骨厚度(CBT)和小梁骨厚度(TBT)显著降低。此外,破骨细胞数量显著增加,提示骨吸收增加。在 Olive-OVX 大鼠中,这些参数明显优于 OVX 组。肝脏标本检查显示,OVX 大鼠的门脉区有单核细胞浸润,而 Olive-OVX 大鼠中未检测到这种浸润。

结论

橄榄油可有效减轻去卵巢大鼠的骨质疏松症,是治疗绝经后骨质疏松症的有前途的候选药物。

https://cdn.ncbi.nlm.nih.gov/pmc/blobs/6d65/3045997/5ad58c42db53/1472-6882-11-10-1.jpg

文献AI研究员

20分钟写一篇综述,助力文献阅读效率提升50倍。

立即体验

用中文搜PubMed

大模型驱动的PubMed中文搜索引擎

马上搜索

文档翻译

学术文献翻译模型,支持多种主流文档格式。

立即体验