Suppr超能文献

Raf-1激活可防止凋亡小体形成下游的半胱天冬酶9加工。

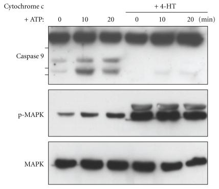
Raf-1 activation prevents caspase 9 processing downstream of apoptosome formation.

作者信息

Cagnol Sébastien, Mansour Anna, Van Obberghen-Schilling Ellen, Chambard Jean-Claude

机构信息

Institute of Developmental Biology and Cancer, CNRS UMR6543, A. Lacassagne Center, University of Nice Sophia-Antipolis, 33 Avenue Valombrose, 06189 Nice, France.

出版信息

J Signal Transduct. 2011;2011:834948. doi: 10.1155/2011/834948. Epub 2010 Oct 14.

Abstract

In many cell types, growth factor removal induces the release of cytochrome-c from mitochondria that leads to activation of caspase-9 in the apoptosome complex. Here, we show that sustained stimulation of the Raf-1/MAPK1,3 pathway prevents caspase-9 activation induced by serum depletion in CCL39/ΔRaf-1:ER fibroblasts. The protective effect mediated by Raf-1 is sensitive to MEK inhibition that is sufficient to induce caspase-9 cleavage in exponentially growing cells. Raf-1 activation does not inhibit the release of cytochrome-c from mitochondria while preventing caspase-9 activation. Gel filtration chromatography analysis of apoptosome formation in cells shows that Raf-1/MAPK1,3 activation does not interfere with APAF-1 oligomerization and recruitment of caspase 9. Raf-1-mediated caspase-9 inhibition is sensitive to emetine, indicating that the protective mechanism requires protein synthesis. However, the Raf/MAPK1,3 pathway does not regulate XIAP. Taken together, these results indicate that the Raf-1/MAPK1,3 pathway controls an apoptosis regulator that prevents caspase-9 activation in the apoptosome complex.

摘要

在许多细胞类型中,生长因子的去除会诱导线粒体释放细胞色素c,进而导致凋亡小体复合物中的半胱天冬酶-9被激活。在此,我们表明,持续刺激Raf-1/MAPK1,3通路可防止CCL39/ΔRaf-1:ER成纤维细胞中血清剥夺诱导的半胱天冬酶-9激活。Raf-1介导的保护作用对MEK抑制敏感,MEK抑制足以在指数生长的细胞中诱导半胱天冬酶-9的切割。Raf-1激活在防止半胱天冬酶-9激活的同时,并不抑制细胞色素c从线粒体的释放。对细胞中凋亡小体形成的凝胶过滤色谱分析表明,Raf-1/MAPK1,3激活并不干扰APAF-1的寡聚化和半胱天冬酶9的募集。Raf-1介导的半胱天冬酶-9抑制对放线菌酮敏感,表明保护机制需要蛋白质合成。然而,Raf/MAPK1,3通路并不调节XIAP。综上所述,这些结果表明,Raf-1/MAPK1,3通路控制着一种凋亡调节因子,该因子可防止凋亡小体复合物中的半胱天冬酶-9激活。

https://cdn.ncbi.nlm.nih.gov/pmc/blobs/5895/3100593/c81e2c1c5b7c/JST2011-834948.001.jpg

文献AI研究员

20分钟写一篇综述,助力文献阅读效率提升50倍。

立即体验

用中文搜PubMed

大模型驱动的PubMed中文搜索引擎

马上搜索

文档翻译

学术文献翻译模型,支持多种主流文档格式。

立即体验