Suppr超能文献

用人诱导多能干细胞进行疫苗接种可产生针对HIV-1 gp160的抗原特异性免疫反应。

Vaccination with Human Induced Pluripotent Stem Cells Creates an Antigen-Specific Immune Response Against HIV-1 gp160.

作者信息

Yoshizaki Shinji, Nishi Mayuko, Kondo Asami, Kojima Yoshitsugu, Yamamoto Naoki, Ryo Akihide

机构信息

Department of Microbiology, Yokohama City University Graduate School of Medicine Yokohama, Kanagawa, Japan.

出版信息

Front Microbiol. 2011 Feb 22;2:27. doi: 10.3389/fmicb.2011.00004. eCollection 2011.

Abstract

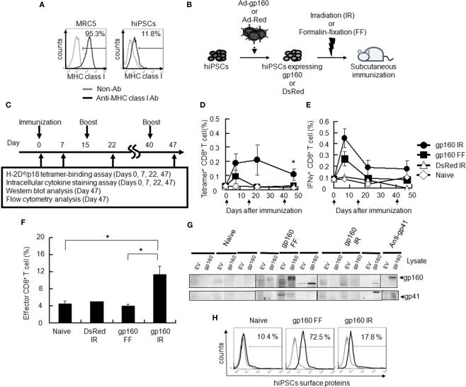
Induced pluripotent stem cells (iPSCs) are artificially derived from somatic cells that have been transduced with defined reprogramming factors. A previous report has indicated the possibility of using iPSCs as an immune stimulator to generate antigen-specific immunity. In our current study, we have investigated whether human iPSCs (hiPSCs) have the ability to enhance specific immune response against a human immunodeficiency virus type 1 (HIV-1) antigen in a xenogenic mouse model. Our results show that BALB/c mice immunized with hiPSCs transduced with an adenoviral vector encoding HIV-1 gp160 exhibited prominent antigen-specific cellular immune responses. We further found that pre-treatment of hiPSCs with ionizing radiation promotes the secretion of pro-inflammatory cytokines such as interleukin-1 alpha (IL-1α), IL-12, and IL-18. These cytokines might promote the activation of antigen-presenting cells and the effective induction of cellular immunity. Our present findings thus demonstrate that a hiPSCs-based vaccine has the potential to generate cellular immunity against viral antigens such as HIV-1 gp160 in a xenogenic condition.

摘要

诱导多能干细胞(iPSC)是通过用特定重编程因子转导的体细胞人工衍生而来的。先前的一份报告表明,有可能将iPSC用作免疫刺激剂来产生抗原特异性免疫。在我们目前的研究中,我们调查了人类iPSC(hiPSC)在异种小鼠模型中是否有能力增强针对1型人类免疫缺陷病毒(HIV-1)抗原的特异性免疫反应。我们的结果表明,用编码HIV-1 gp160的腺病毒载体转导的hiPSC免疫的BALB/c小鼠表现出显著的抗原特异性细胞免疫反应。我们进一步发现,用电离辐射预处理hiPSC可促进促炎细胞因子如白细胞介素-1α(IL-1α)、IL-12和IL-18的分泌。这些细胞因子可能促进抗原呈递细胞的活化和细胞免疫的有效诱导。因此,我们目前的研究结果表明,基于hiPSC的疫苗有可能在异种条件下产生针对病毒抗原如HIV-1 gp160的细胞免疫。

https://cdn.ncbi.nlm.nih.gov/pmc/blobs/cbbb/3109301/681eb36ef870/fmicb-02-00027-g001.jpg

文献AI研究员

20分钟写一篇综述,助力文献阅读效率提升50倍。

立即体验

用中文搜PubMed

大模型驱动的PubMed中文搜索引擎

马上搜索

文档翻译

学术文献翻译模型,支持多种主流文档格式。

立即体验