Suppr超能文献

胰岛素受体底物 (IRS)-1 的组成性表达通过将 Foxo1 排除在 L6 成肌细胞的核外而抑制成肌分化。

Constitutive expression of insulin receptor substrate (IRS)-1 inhibits myogenic differentiation through nuclear exclusion of Foxo1 in L6 myoblasts.

机构信息

Department of Animal Sciences, Graduate School of Agriculture and Life Sciences, The University of Tokyo, Bunkyo-ku, Tokyo, Japan.

出版信息

PLoS One. 2011;6(10):e25655. doi: 10.1371/journal.pone.0025655. Epub 2011 Oct 3.

Abstract

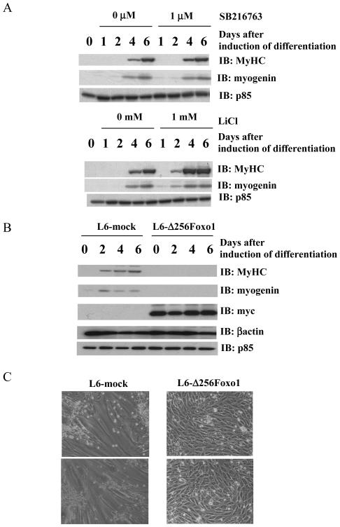
Insulin-like growth factors (IGFs) are well known to play essential roles in enhancement of myogenic differentiation. In this report we showed that initial IGF-I signal activation but long-term IGF-1 signal termination are required for myogenic differentiation. L6 myoblast stably transfected with myc-epitope tagged insulin receptor substrate-1, myc-IRS-1 (L6-mIRS1) was unable to differentiate into myotubes, indicating that IRS-1 constitutive expression inhibited myogenesis. To elucidate the molecular mechanisms underlying myogenic inhibition, IGF-I signaling was examined. IGF-I treatment of control L6 cells for 18 h resulted in a marked suppression of IGF-I stimulated IRS-1 association with the p85 PI 3-kinase and suppression of activation of Akt that correlated with a down regulation of IRS-1 protein. L6-mIRS1 cells, in contrast, had sustained high levels of IRS-1 protein following 18 h of IGF-I treatment with persistent p85 PI 3-kinase association with IRS-1, Akt phosphorylation and phosphorylation of the downstream Akt substrate, Foxo1. Consistent with Foxo1 phosphorylation, Foxo1 protein was excluded from the nuclei in L6-mIRS1 cells, whereas Foxo1 was localized in the nuclei in control L6 cells during induction of differentiation. In addition, L6 cells stably expressing a dominant-interfering form of Foxo1, Δ256Foxo1 (L6-Δ256Foxo1) were unable to differentiate into myotubes. Together, these data demonstrate that IGF-I regulation of Foxo1 nuclear localization is essential for the myogenic program in L6 cells but that persistent activation of IGF-1 signaling pathways results in a negative feedback to prevent myogenesis.

摘要

胰岛素样生长因子(IGFs)在促进成肌分化中起着重要作用。在本报告中,我们表明,初始 IGF-I 信号激活但长期 IGF-1 信号终止是肌分化所必需的。L6 成肌细胞稳定转染 myc-epitope 标记胰岛素受体底物-1(myc-IRS-1),myc-IRS-1(L6-mIRS1)不能分化为肌管,表明 IRS-1 组成性表达抑制肌生成。为了阐明肌生成抑制的分子机制,检查了 IGF-I 信号。IGF-I 处理对照 L6 细胞 18 h 导致 IGF-I 刺激的 IRS-1 与 p85 PI 3-kinase 的结合以及 Akt 的激活受到显著抑制,这与 IRS-1 蛋白的下调相关。相比之下,L6-mIRS1 细胞在 IGF-I 处理 18 h 后持续保持高水平的 IRS-1 蛋白,同时 IRS-1 与 p85 PI 3-kinase 持续结合,Akt 磷酸化和 Akt 下游底物 Foxo1 磷酸化。与 Foxo1 磷酸化一致,Foxo1 蛋白在 L6-mIRS1 细胞中被排除在核外,而 Foxo1 在对照 L6 细胞中在诱导分化期间定位在核内。此外,稳定表达显性干扰形式 Foxo1(Δ256Foxo1)的 L6 细胞不能分化为肌管。总之,这些数据表明,IGF-I 调节 Foxo1 核定位对于 L6 细胞中的肌生成程序是必需的,但持续激活 IGF-1 信号通路会导致负反馈以防止肌生成。

https://cdn.ncbi.nlm.nih.gov/pmc/blobs/b528/3185002/d5cab1c980c7/pone.0025655.g001.jpg

文献AI研究员

20分钟写一篇综述,助力文献阅读效率提升50倍。

立即体验

用中文搜PubMed

大模型驱动的PubMed中文搜索引擎

马上搜索

文档翻译

学术文献翻译模型,支持多种主流文档格式。

立即体验